-
中文名稱:PIK3C3兔多克隆抗體
-
貨號:CSB-PA854108LA01HU
-
規格:¥440
-
圖片:
-
Western Blot
Positive WB detected in: Hela whole cell lysate
All lanes: PIK3C3 antibody at 3.4μg/ml
Secondary
Goat polyclonal to rabbit IgG at 1/50000 dilution
Predicted band size: 102 kDa
Observed band size: 102 kDa -
Immunohistochemistry of paraffin-embedded human heart tissue using CSB-PA854108LA01HU at dilution of 1:100
-
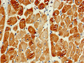
Immunohistochemistry of paraffin-embedded human skeletal muscle tissue using CSB-PA854108LA01HU at dilution of 1:100
-
-
其他:
產品詳情
-
產品名稱:Rabbit anti-Homo sapiens (Human) PIK3C3 Polyclonal antibody
-
Uniprot No.:
-
基因名:
-
別名:hVps34 antibody; MGC61518 antibody; Phosphatidylinositol 3 kinase catalytic subunit type 3 antibody; Phosphatidylinositol 3 kinase class 3 antibody; Phosphatidylinositol 3 kinase p100 subunit antibody; Phosphatidylinositol 3-kinase catalytic subunit type 3 antibody; Phosphatidylinositol 3-kinase p100 subunit antibody; Phosphoinositide 3 kinase class 3 antibody; Phosphoinositide-3-kinase class 3 antibody; PI3 kinase type 3 antibody; PI3-kinase type 3 antibody; PI3K type 3 antibody; Pik3c3 antibody; PK3C3_HUMAN antibody; PtdIns 3 kinase type 3 antibody; PtdIns-3-kinase type 3 antibody; Vps 34 antibody; Vps34 antibody
-
宿主:Rabbit
-
反應種屬:Human
-
免疫原:Recombinant Human Phosphatidylinositol 3-kinase catalytic subunit type 3 protein (700-850AA)
-
免疫原種屬:Homo sapiens (Human)
-
標記方式:Non-conjugated
本頁面中的產品,PIK3C3 Antibody (CSB-PA854108LA01HU),的標記方式是Non-conjugated。對于PIK3C3 Antibody,我們還提供其他標記。見下表:
-
克隆類型:Polyclonal
-
抗體亞型:IgG
-
純化方式:>95%, Protein G purified
-
濃度:It differs from different batches. Please contact us to confirm it.
-
保存緩沖液:Preservative: 0.03% Proclin 300
Constituents: 50% Glycerol, 0.01M PBS, pH 7.4 -
產品提供形式:Liquid
-
應用范圍:ELISA, WB, IHC
-
推薦稀釋比:
Application Recommended Dilution WB 1:500-1:5000 IHC 1:20-1:200 -
Protocols:
-
儲存條件:Upon receipt, store at -20°C or -80°C. Avoid repeated freeze.
-
貨期:Basically, we can dispatch the products out in 1-3 working days after receiving your orders. Delivery time maybe differs from different purchasing way or location, please kindly consult your local distributors for specific delivery time.
-
用途:For Research Use Only. Not for use in diagnostic or therapeutic procedures.
引用文獻
- VPS35 D620N mutation impairs neurogenesis and promotes ferroptosis in Parkinson's disease via using molecular docking, molecular dynamic simulation and cellular model M Jiang, X Deng, Z Qiu, Y Fu, Z Qiu, J Zhang,Frontiers in Aging Neuroscience,2025
相關產品
靶點詳情
-
功能:Catalytic subunit of the PI3K complex that mediates formation of phosphatidylinositol 3-phosphate; different complex forms are believed to play a role in multiple membrane trafficking pathways: PI3KC3-C1 is involved in initiation of autophagosomes and PI3KC3-C2 in maturation of autophagosomes and endocytosis. As part of PI3KC3-C1, promotes endoplasmic reticulum membrane curvature formation prior to vesicle budding. Involved in regulation of degradative endocytic trafficking and required for the abcission step in cytokinesis, probably in the context of PI3KC3-C2. Involved in the transport of lysosomal enzyme precursors to lysosomes. Required for transport from early to late endosomes.
-
基因功能參考文獻:
- Vps34 stimulates tumor development mainly through PKC-delta- activation of p62. PMID: 28846113
- Here we show that a putative fifth subunit, nuclear receptor binding factor 2 (NRBF2), is a tightly bound component of the class III phosphatidylinositol 3-kinase complex I that profoundly affects its activity and architecture. NRBF2 is a homodimer and drives the dimerization of the larger PI3KC3-C1 complex, with implications for the higher-order organization of the preautophagosomal structure. PMID: 27385829
- This study reveals NRBF2 as a critical molecular switch of PtdIns3K and autophagy activation, and its on/off state is precisely controlled by MTORC1 through phosphorylation. PMID: 28059666
- Atg38 and its human ortholog NRBF2, accessory components of complex I consisting of Vps15-Vps34-Vps30/Atg6-Atg14 (yeast) and PIK3R4/VPS15-PIK3C3/VPS34-BECN1/Beclin 1-ATG14 (human), were characterized. PMID: 27630019
- p300-dependent VPS34 acetylation/deacetylation is the physiological key to VPS34 activation, which controls the initiation of canonical autophagy and of non-canonical autophagy in which the upstream kinases of VPS34 can be bypassed. PMID: 28844862
- Low VPS34 expression is associated with cancer. PMID: 28157699
- Arf tumor suppressor as a new transcriptional target of nuclear EGFR and highlight Vps34 as an important regulator of the nuclear EGFR/Arf survival pathway. PMID: 26686095
- Vps34 has a previously unknown role in regulating Rab7 activity and late endosomal trafficking. PMID: 27793976
- High expression of VPS34 promoted GRP78 transcription by modulating ATF6. VPS34 could enhance GRP78 protein stability. PMID: 28038917
- These results establish Vps34 as an essential determinant of both short-term and long-term canonical GPCR signaling. PMID: 27821547
- Study identifies a key role of Cul3-KLHL20 in autophagy termination by controlling autophagy-dependent turnover of ULK1 and VPS34 complex subunits and reveals the pathophysiological functions of this autophagy termination mechanism. PMID: 26687681
- cis-unsaturated fatty acids require neither BECN1 nor PIK3C3 to stimulate the autophagic flux PMID: 25714112
- tubulation requires mTOR activity, and we identified two direct mTOR phosphorylation sites on UVRAG (S550 and S571) that activate VPS34. PMID: 26139536
- High expression of PI3K core complex genes is associated with poor prognosis in chronic lymphocytic leukemia. PMID: 25840748
- reveal a novel function of GABP in the regulation of autophagy via transcriptional activation of the BECN1-PIK3C3 complex PMID: 25046113
- Data indicte that Compound 31 constitutes an optimized class III phosphoinositide 3-kinase Vps34 inhibitor that could be used to investigate cancer biology. PMID: 25402320
- VPS34-IN1 will provide a useful tool to decipher the kinase-dependent functions of Vps34, with acute changes in SGK3 phosphorylation and subcellular localization being new biomarkers of Vps34 activity. PMID: 25395352
- DNA damage regulates Vps34 complexes and its downstream mechanisms, including autophagy and receptor endocytosis, through SCF (Skp1-Cul1-F-box)-mediated ubiquitination and degradation PMID: 25593308
- Insulin can spatially regulate VPS34 activity through Src-mediated tyrosine phosphorylation. PMID: 24582588
- Ric-8A co-localized with Vps34 at the midbody. PMID: 24466196
- A mechanistic link between amino acid starvation and autophagy induction via the direct activation of the autophagy-specific PIK3C3 kinase. PMID: 24013218
- NRBF2 regulates macroautophagy as a component of Vps34 Complex I. PMID: 24785657
- Via direct interaction with the class III PI-3-kinase (PI3KC3)/Beclin1, DEDD activated autophagy and induced the degradation of Snail and Twist, two master regulators of EMT PMID: 22719072
- Results describe PKD as a novel Vps34 kinase that functions as an effecter of autophagy under oxidative stress. PMID: 22095288
- conclude that Slamf1 recruits a subset of Vps34-associated proteins, which is involved in membrane fusion and NOX2 regulation PMID: 22493499
- Though dispensable for autophagy induction, transgenic Vps34 is a critical regulator of naive T cell homeostasis, modulating interleukin (IL)-7 receptor alpha trafficking, signaling, and recycling. PMID: 22021616
- Class III PI-3-kinase activates phospholipase D in an amino acid-sensing mTORC1 pathway PMID: 22024166
- Pik3c3 is essential for central nervous system neuronal homeostasis and Pik3c3 deletion; CaMKII-Cre transgenic mouse is a useful model for studying pathological changes in progressive forebrain neurodegeneration. PMID: 20955765
- Coimmunoprecipitation assay indicated that hepatitis C virus NS4B formed a complex with human Rab5 and Vps34, supporting the notion that Rab5 and Vps34 are involved in NS4B-induced autophagy. PMID: 21835792
- Activation of mTOR by leucine or insulin upregulated hVps34. PMID: 21702994
- 14-3-3zeta proteins are shown as a negative regulator of autophagy through regulation of a key component of early stages of the autophagy pathway, such as hVps34. PMID: 20885446
- a critical role of the Rubicon RUN domain in PI3KC3 and autophagy regulation PMID: 21062745
- A specific sub-complex containing VPS15, VPS34, Beclin 1, UVRAG and BIF-1 regulates both receptor degradation and cytokinesis, whereas ATG14L, a PI3K-III subunit involved in autophagy, is not required. PMID: 20643123
- A PIK3C3 promoter variant (rs3813065/-442 C/T) in an independent multiancestral cohort of 478 systemic lupus erythematosus cases and 522 controls, was examined. PMID: 20671926
- Data show that knockdown of Vps34 reduces gossypol-induced autophagy in both MCF-7 human breast adenocarcinoma and HeLa cell lines. PMID: 20529838
- A phylogenetic study revealing co-evolution of myotubularins phosphoinositides phosphatases with PI 3-kinase class III complex PMID: 18774718
- was expressed in cancer tissues at 11 times the level of that found in normal tissue; findings suggest that activation of the PI3K-AKT signal pathway is associated with oral carcinogenesis PMID: 19887755
- Results describe how Mycobacterium tuberculosis toxin lipoarabinomannan causes phagosome maturation arrest, interfering with a calcium/calmodulin phosphatidylinositol (PI)3 kinase hVPS34 cascade. PMID: 12925680
- Data identify rab7 as an important regulator of late endosomal VPS34 function and link rab7 to the regulation of phosphatidylinositol 3'-kinase cycling between early and late endosomes. PMID: 14617358
- A promoter mutation in a PI regulator affecting the binding of a POU-type transcription factor may be involved in BD and SZ in a subset of patients. PMID: 15121481
- hVps34 is a nutrient-regulated lipid kinase that integrates amino acid and glucose inputs to mTOR and S6K1 PMID: 16049009
- Amino acids mediate mTOR activation by signaling through class 3 PI3K, hVps34. PMID: 16176982
- Results argue against a role for Beclin 1 as an essential chaperone or adaptor for hVps34 in normal vesicular trafficking, and they support the hypothesis that Beclin 1 functions mainly to engage hVps34 in the autophagic pathway. PMID: 16390869
- There is a connection between Beclin 1-associated Class III PI3K/Vps34-dependent autophagy, but not VPS, function and the mechanism of Beclin 1 tumor suppressor action in human breast cancer cells. PMID: 16874027
- study indicates that hVps34 and its product PI(3)P are involved in endosome to Golgi transport of ricin, and that SNX2 and SNX4 are likely to be effectors in this pathway PMID: 17319803
- the lipid kinase activity of Vps34 has a role in resveratrol-induced apoptosis and in the formation of autophagolysosomes PMID: 18048384
- our results do support PIK3C3 play a significant role in the etiology of schizophrenia PMID: 18420347
- SopB mediates PI(3)P production on the SCV indirectly through recruitment of Rab5 and its effector Vps34. PMID: 18725540
- hVps34 activity is regulated through its interactions with hVps15, but is independent of Ca2+/CaM. PMID: 18957027
顯示更多
收起更多
-
亞細胞定位:Midbody. Late endosome. Cytoplasmic vesicle, autophagosome.
-
蛋白家族:PI3/PI4-kinase family
-
組織特異性:Ubiquitously expressed, with a highest expression in skeletal muscle.
-
數據庫鏈接:
Most popular with customers
-
-
YWHAB Recombinant Monoclonal Antibody
Applications: ELISA, WB, IHC, IF, FC
Species Reactivity: Human, Mouse, Rat
-
Phospho-YAP1 (S127) Recombinant Monoclonal Antibody
Applications: ELISA, WB, IHC
Species Reactivity: Human
-
-
-
-
-















