PIAS4 Antibody
-
中文名稱:PIAS4兔多克隆抗體
-
貨號:CSB-PA822692LA01HU
-
規格:¥440
-
圖片:
-
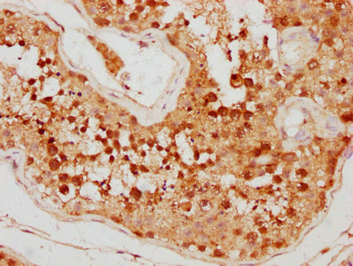
IHC image of CSB-PA822692LA01HU diluted at 1:500 and staining in paraffin-embedded human testis tissue performed on a Leica BondTM system. After dewaxing and hydration, antigen retrieval was mediated by high pressure in a citrate buffer (pH 6.0). Section was blocked with 10% normal goat serum 30min at RT. Then primary antibody (1% BSA) was incubated at 4°C overnight. The primary is detected by a biotinylated secondary antibody and visualized using an HRP conjugated SP system.
-
-
其他:
產品詳情
-
產品名稱:Rabbit anti-Homo sapiens (Human) PIAS4 Polyclonal antibody
-
Uniprot No.:
-
基因名:
-
別名:E3 SUMO protein ligase PIAS4 antibody; E3 SUMO-protein ligase PIAS4 antibody; FLJ12419 antibody; MGC35296 antibody; PAIASgamma antibody; PIAS 4 antibody; PIAS gamma antibody; PIAS-gamma antibody; Pias4 antibody; PIAS4_HUMAN antibody; PIASG antibody; PIASgamma antibody; PIASy antibody; Protein inhibitor of activated STAT 4 antibody; Protein inhibitor of activated STAT protein 4 antibody; Protein inhibitor of activated STAT protein gamma antibody; Protein inhibitor of activated STAT protein PIASy antibody; Zinc finger MIZ type containing 6 antibody; ZMIZ 6 antibody; ZMIZ6 antibody
-
宿主:Rabbit
-
反應種屬:Human
-
免疫原:Recombinant Human E3 SUMO-protein ligase PIAS4 protein (66-241AA)
-
免疫原種屬:Homo sapiens (Human)
-
標記方式:Non-conjugated
本頁面中的產品,PIAS4 Antibody (CSB-PA822692LA01HU),的標記方式是Non-conjugated。對于PIAS4 Antibody,我們還提供其他標記。見下表:
-
克隆類型:Polyclonal
-
抗體亞型:IgG
-
純化方式:>95%, Protein G purified
-
濃度:It differs from different batches. Please contact us to confirm it.
-
保存緩沖液:Preservative: 0.03% Proclin 300
Constituents: 50% Glycerol, 0.01M PBS, pH 7.4 -
產品提供形式:Liquid
-
應用范圍:ELISA, IHC
-
推薦稀釋比:
Application Recommended Dilution IHC 1:500-1:1000 -
Protocols:
-
儲存條件:Upon receipt, store at -20°C or -80°C. Avoid repeated freeze.
-
貨期:Basically, we can dispatch the products out in 1-3 working days after receiving your orders. Delivery time maybe differs from different purchasing way or location, please kindly consult your local distributors for specific delivery time.
-
用途:For Research Use Only. Not for use in diagnostic or therapeutic procedures.
相關產品
靶點詳情
-
功能:Functions as an E3-type small ubiquitin-like modifier (SUMO) ligase, stabilizing the interaction between UBE2I and the substrate, and as a SUMO-tethering factor. Plays a crucial role as a transcriptional coregulation in various cellular pathways, including the STAT pathway, the p53/TP53 pathway, the Wnt pathway and the steroid hormone signaling pathway. Involved in gene silencing. Mediates sumoylation of CEBPA, PARK7, HERC2, MYB, TCF4 and RNF168. In Wnt signaling, represses LEF1 and enhances TCF4 transcriptional activities through promoting their sumoylations. Enhances the sumoylation of MTA1 and may participate in its paralog-selective sumoylation.
-
基因功能參考文獻:
- study demonstrates that Piasy may prevent exaggerated transcription of IFNI by Rbp2-mediated demethylation of H3K4me3 of IFNI, avoiding excessive immune responses PMID: 28970247
- In the present study, the protein inhibitor of activated STAT Y (PIASy) was identified as a novel Isl1-interacting protein. Furthermore, PIASy and Isl1 upregulate insulin gene expression and insulin secretion in a dose-dependent manner by activating the insulin promoter. PMID: 28000708
- post-translational modification of Nkx3.2 employing HDAC9-PIASy-RNF4 axis plays a crucial role in controlling chondrocyte viability and hypertrophic maturation during skeletal development in vertebrates. PMID: 27312341
- new protein isoform encoded by KIAA0317, termed fibrosis-inducing E3 ligase 1 (FIEL1), which potently stimulates the TGFbeta signaling pathway through the site-specific ubiquitination of PIAS4. PMID: 27162139
- these findings provide evidence for the effects of PIAsxalpha and its mechanism on osteosarcoma progression, which offers novel insight into sumoylation and the cell cycle in osteosarcoma. PMID: 26708148
- PIAS4 was identified as a candidate gene for abnormal head size in 13 patients with proximal 19p13.3 submicroscopic rearrangements . PMID: 25853300
- Our data reveal a novel and dynamic role for PIAS4 in the cellular-mediated restriction of herpesviruses and establish a new functional role for the PIAS family of SUMO ligases in the intrinsic antiviral immune response to DNA virus infection. PMID: 26937035
- PIAS4 activity are required for the AMPKalpha1 SUMOylation and the inhibition of AMPKalpha1 activity towards mTORC1 signalling. PMID: 26616021
- PIAS4 (rs735842) and VEGFA (rs699947) were the most statistically significant variants associated in hypoxia pathway analysis. PMID: 25234649
- PIASgamma-dependent modification of tomosyn-1 with SUMO-2/3 presents a novel mechanism to adapt secretory strength to the dynamic synaptic environment. PMID: 24614299
- SUMOylation of RXRalpha is significantly enhanced through PIAS4-mediated activity. PMID: 26116533
- High reactive oxygen speciesinduces oxidation and ubiquitin-mediated degradation of PIASgamma, thereby disrupting PIASgamma-IKKgamma cross talk. PMID: 24457965
- PIAS4 was overexpressed in pancreatic cancer cells compared with normal pancreas; it interacts with the tumour suppressor von Hippel-Lindau (VHL) and leads to VHL sumoylation, oligomerization and impaired function; study elucidates role of PIAS4 in regulation of pancreatic cancer cell growth PMID: 24002598
- PIASgamma fully represses Nurr1 transactivation through a direct interaction, independently of its E3-ligase activity PMID: 23358114
- Evidence that PIASy is the only SUMO E3 ligase that regulates lung cancer epithelial-to-mesenchymal transition (EMT) by repressing SIRT1 transcription. PMID: 23704280
- Our study suggested that systemic sclerosis is associated with STAT gene rs7574865 polymorphism. PMID: 22173230
- PIASy binding to p53 and PIASy-activated Tip60 lead to K386 sumoylation and K120 acetylation of p53. PMID: 22751435
- Protein inhibitor of activated STAT, PIASy regulates alpha-smooth muscle actin expression by interacting with E12 in mesangial cells. PMID: 22829926
- PIAS4 and the process of SUMOylation are important modulators of Vitamin D receptor-mediated signaling PMID: 22564762
- The increase of NCOA3 is essential for SYT-SSX1-mediated synovial sarcoma formation. SYT-SSX1 does so by increasing the sumoylation of NCOA3 through interaction with a SUMO E3 ligase, PIASy, as well as the sumoylation of NEMO. PMID: 21454665
- Cav-3 is SUMOylated in a manner that is enhanced by the SUMO E3 ligase PIASy; Cav-3 SUMOylation in the mechanisms for beta(2)AR but not beta(1)AR desensitization PMID: 21362625
- Knockdown of PIASy by small interfering RNA leads to reduction of VHL oligomerization and increases HIF1alpha degradation PMID: 20300531
- Studies define an important role of PIASy in hypoxia signaling through promoting HIF1alpha SUMOylation. PMID: 20661221
- PIASy plays an important role in regulation of p73alpha transcriptional activity and is also a regulator of the cell cycle machinery PMID: 20471636
- PIASgamma directs Topoisomerase II to specific chromosome regions that require efficient removal of DNA catenations prior to anaphase. The lack of this activity activates the spindle checkpoint, protecting cells from non-disjunction. PMID: 17183683
- PIASy has a role in modification of C-EBPalpha by SUMO-1 or SUMO-3 PMID: 12511558
- PIASy suppresses GATA-2 transcriptional activity in endothelial cells. PMID: 12750312
- PIASy has a role in regulating TGF-beta expression along with SMAD3 PMID: 12815042
- PIASy may repress the androgen factor by recruiting histone deacetylases, independent of its SUMO ligase activity PMID: 14981544
- IFNgamma and protein inhibitor of activated STAT-y synergistically inhibited progesterone receptor-dependent transcription PMID: 15155784
- the inhibitory action of PIASy on BMP-regulated Smad activity was due to direct physical interactions between Smads and PIASy through its RING domain PMID: 15158472
- PIASy is an inhibitor of TRIF-induced ISRE and NF-kappaB activation but not apoptosis PMID: 15251447
- Sumoylation of Lys(35) in PIASy determines the nuclear localization of PIASy and it is necessary for PIASy-dependent sumoylation and transcriptional activation of Tcf-4. PMID: 15831457
- Direct interactions between the promyelocytic leukemia (PML) body protein PIASy and the Cajal body (CB) protein coilin have a role in mediating association of CBs to PML bodies. PMID: 16219678
- a direct role in cellular senescence and apoptosis PMID: 16793547
- PIASy is the first SUMO ligase for NEMO whose substrate specificity seems to be controlled by IKK interaction, subcellular targeting and oxidative stress conditions. PMID: 16906147
- Results report that Yin Yang 1 protein can be sumoylated both in vivo and in vitro by PIASy, a SUMO E3 ligase. PMID: 17353273
- PIASy controls Ets-1 function, at least in part, by inhibiting Ets-1 protein turnover via the ubiquitin-proteasome system. PMID: 17456046
- Our results indicate that PIASy negatively regulates E1AF-mediated transcription by both E1AF sumoylation in a dependent and independent fashion. PMID: 17585876
- PIASy has a role in down-regulation of MUC1 expression PMID: 17717071
- provide the first evidence for the existence of a close-spatially controlled-mode of regulation of FIP200 and PIASy nucleocytoplasmic functions PMID: 18285457
- PIASy regulates TGF-beta/Smad3-mediated signaling by stimulating sumoylation and nuclear export of Smad3. PMID: 18384750
顯示更多
收起更多
-
亞細胞定位:Nucleus, PML body. Note=Colocalizes with SUMO1 and TCF7L2/TCF4 and LEF1 in a subset of PML (promyelocytic leukemia) nuclear bodies.
-
蛋白家族:PIAS family
-
組織特異性:Highly expressed in testis and, at lower levels, in spleen, prostate, ovary, colon and peripheral blood leukocytes.
-
數據庫鏈接:
Most popular with customers
-
-
YWHAB Recombinant Monoclonal Antibody
Applications: ELISA, WB, IHC, IF, FC
Species Reactivity: Human, Mouse, Rat
-
Phospho-YAP1 (S127) Recombinant Monoclonal Antibody
Applications: ELISA, WB, IHC
Species Reactivity: Human
-
-
-
-
-















