PHYH Antibody
-
中文名稱:PHYH兔多克隆抗體
-
貨號:CSB-PA017946DSR2HU
-
規格:¥440
-
圖片:
-
Western blot
All lanes: Phytanoyl-CoA dioxygenase, peroxisomal antibody at 4μg/ml + Mouse liver tissue
Secondary
Goat polyclonal to rabbit IgG at 1/10000 dilution
Predicted band size: 39, 28 kDa
Observed band size: 39 kDa -
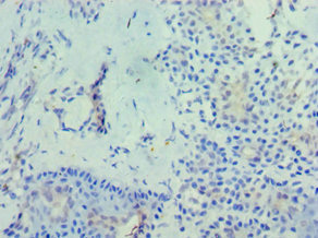
Immunohistochemistry of paraffin-embedded human breast cancer using CSB-PA017946DSR2HU at dilution of 1:100
-
-
其他:
產品詳情
-
產品名稱:Rabbit anti-Homo sapiens (Human) PHYH Polyclonal antibody
-
Uniprot No.:
-
基因名:PHYH
-
別名:LN1 antibody; LNAP1 antibody; LNAP1, mouse, homolog of antibody; OTTHUMP00000019131 antibody; OTTHUMP00000019132 antibody; OTTHUMP00000179083 antibody; OTTHUMP00000216226 antibody; PAHX antibody; PAHX_HUMAN antibody; peroxisomal antibody; PhyH antibody; PHYH1 antibody; Phytanic acid oxidase antibody; phytanoil-CoA alpha hydroxylase antibody; phytanoyl CoA 2 hydroxylase antibody; Phytanoyl CoA 2 oxoglutarate dioxygenase antibody; Phytanoyl CoA alpha hydroxylase antibody; Phytanoyl CoA dioxygenase antibody; Phytanoyl CoA dioxygenase peroxisomal antibody; Phytanoyl-CoA alpha-hydroxylase antibody; Phytanoyl-CoA dioxygenase antibody; RD antibody
-
宿主:Rabbit
-
反應種屬:Human, Mouse
-
免疫原:Recombinant Human Phytanoyl-CoA dioxygenase, peroxisomal protein (1-338AA)
-
免疫原種屬:Homo sapiens (Human)
-
標記方式:Non-conjugated
-
克隆類型:Polyclonal
-
抗體亞型:IgG
-
純化方式:Antigen Affinity Purified
-
濃度:It differs from different batches. Please contact us to confirm it.
-
保存緩沖液:PBS with 0.02% sodium azide, 50% glycerol, pH7.3.
-
產品提供形式:Liquid
-
應用范圍:ELISA, WB, IHC
-
推薦稀釋比:
Application Recommended Dilution WB 1:200-1:1000 IHC 1:20-1:200 -
Protocols:
-
儲存條件:Upon receipt, store at -20°C or -80°C. Avoid repeated freeze.
-
貨期:Basically, we can dispatch the products out in 1-3 working days after receiving your orders. Delivery time maybe differs from different purchasing way or location, please kindly consult your local distributors for specific delivery time.
-
用途:For Research Use Only. Not for use in diagnostic or therapeutic procedures.
相關產品
靶點詳情
-
功能:Catalyzes the 2-hydroxylation of not only racemic phytanoyl-CoA and the isomers of 3-methylhexadecanoyl-CoA, but also a variety of other mono-branched 3-methylacyl-CoA esters (with a chain length of at least seven carbon atoms) and straight-chain acyl-CoA esters (with a chain length longer than four carbon atoms). Does not hydroxylate long and very long straight chain acyl-CoAs or 2-methyl- and 4-methyl-branched acyl-CoAs.
-
基因功能參考文獻:
- 3 heterozygous variants: c.85C>T (p.Pro29Ser), c.135-2A>G, and c.768del63bp (p.Phe257Glnfs*16) were found in a family with Refsum's disease. PMID: 28681609
- substrate specificity of PAHX is broader than expected, so Refsum disease might be characterized by an accumulation of not only phytanic acid but also other 3-alkyl-branched fatty acids PMID: 12923223
- Ten novel PHYH mutations found in Refsum disease patients. PMID: 14974078
- demonstrate that both unprocessed and processed forms are able to hydroxylate a range of CoA derivatives; site-directed mutagenesis was used to support proposals for the identity of the iron binding istes of PAHX PMID: 15930519
- manner in which phytanoyl-CoA 2-hydroxylase (PAHX) binds to iron(II) and 2-oxoglutarate at its active site distinguishes it from that of the other human 2-oxoglutarate (2OG)-dependent oxygenase PMID: 16186124
- In the absence of elevated phytanic acid concentrations, clinical neurologic abnormalities in heterozygous relatives of Refsum patients are not attributable to heterozygosity for PAHX mutations. PMID: 18612766
顯示更多
收起更多
-
相關疾病:Refsum disease (RD)
-
亞細胞定位:Peroxisome.
-
蛋白家族:PhyH family
-
組織特異性:Expressed in liver, kidney, and T-cells, but not in spleen, brain, heart, lung and skeletal muscle.
-
數據庫鏈接:
Most popular with customers
-
YWHAB Recombinant Monoclonal Antibody
Applications: ELISA, WB, IHC, IF, FC
Species Reactivity: Human, Mouse, Rat
-
Phospho-YAP1 (S127) Recombinant Monoclonal Antibody
Applications: ELISA, WB, IHC
Species Reactivity: Human
-
-
-
-
-
-















