PHKB Antibody
-
中文名稱:PHKB兔多克隆抗體
-
貨號:CSB-PA138167
-
規格:¥1100
-
圖片:
-
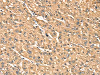
The image on the left is immunohistochemistry of paraffin-embedded Human liver cancer tissue using CSB-PA138167(PHKB Antibody) at dilution 1/25, on the right is treated with fusion protein. (Original magnification: ×200)
-
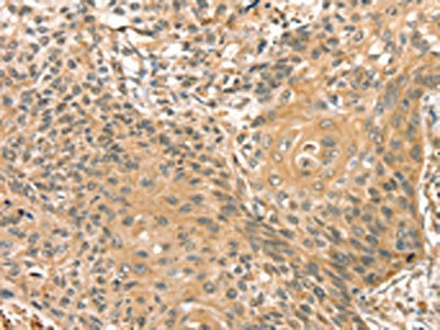
The image on the left is immunohistochemistry of paraffin-embedded Human esophagus cancer tissue using CSB-PA138167(PHKB Antibody) at dilution 1/25, on the right is treated with fusion protein. (Original magnification: ×200)
-
-
其他:
產品詳情
-
Uniprot No.:
-
基因名:
-
別名:DKFZp781E15103 antibody; FLJ41698 antibody; KPBB_HUMAN antibody; PHKB antibody; Phosphorylase b kinase regulatory subunit beta antibody; Phosphorylase kinase B antibody; Phosphorylase kinase beta polypeptide antibody; Phosphorylase kinase beta subunit antibody; Phosphorylase kinase subunit beta antibody
-
宿主:Rabbit
-
反應種屬:Human,Mouse
-
免疫原:Fusion protein of Human PHKB
-
免疫原種屬:Homo sapiens (Human)
-
標記方式:Non-conjugated
-
抗體亞型:IgG
-
純化方式:Antigen affinity purification
-
濃度:It differs from different batches. Please contact us to confirm it.
-
保存緩沖液:-20°C, pH7.4 PBS, 0.05% NaN3, 40% Glycerol
-
產品提供形式:Liquid
-
應用范圍:ELISA,IHC
-
推薦稀釋比:
Application Recommended Dilution ELISA 1:1000-1:2000 IHC 1:25-1:100 -
Protocols:
-
儲存條件:Upon receipt, store at -20°C or -80°C. Avoid repeated freeze.
-
貨期:Basically, we can dispatch the products out in 1-3 working days after receiving your orders. Delivery time maybe differs from different purchasing way or location, please kindly consult your local distributors for specific delivery time.
-
用途:For Research Use Only. Not for use in diagnostic or therapeutic procedures.
相關產品
靶點詳情
-
功能:Phosphorylase b kinase catalyzes the phosphorylation of serine in certain substrates, including troponin I. The beta chain acts as a regulatory unit and modulates the activity of the holoenzyme in response to phosphorylation.
-
基因功能參考文獻:
- PHKb affects colorectal cancer cell growth and represents a novel prognostic biomarker. PMID: 28275865
- Analysis showed that the glycogen phosphorylase kinase beta-subunit (PHKB) interacted with the C-terminal region of KIAA1199 protein. PMID: 25051373
-
相關疾?。?/div>Glycogen storage disease 9B (GSD9B)亞細胞定位:Cell membrane; Lipid-anchor; Cytoplasmic side.蛋白家族:Phosphorylase b kinase regulatory chain family數據庫鏈接:















