PHF13 Antibody
-
中文名稱:PHF13兔多克隆抗體
-
貨號:CSB-PA017902LA01HU
-
規格:¥440
-
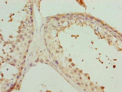
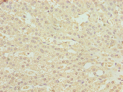
圖片:
-
其他:
產品詳情
-
產品名稱:Rabbit anti-Homo sapiens (Human) PHF13 Polyclonal antibody
-
Uniprot No.:
-
基因名:PHF13
-
別名:PHF13PHD finger protein 13 antibody; Survival time-associated PHD finger protein in ovarian cancer 1 antibody; SPOC1 antibody
-
宿主:Rabbit
-
反應種屬:Human
-
免疫原:Recombinant Human PHD finger protein 13 protein (1-300AA)
-
免疫原種屬:Homo sapiens (Human)
-
標記方式:Non-conjugated
本頁面中的產品,PHF13 Antibody (CSB-PA017902LA01HU),的標記方式是Non-conjugated。對于PHF13 Antibody,我們還提供其他標記。見下表:
-
克隆類型:Polyclonal
-
抗體亞型:IgG
-
純化方式:>95%, Protein G purified
-
濃度:It differs from different batches. Please contact us to confirm it.
-
保存緩沖液:Preservative: 0.03% Proclin 300
Constituents: 50% Glycerol, 0.01M PBS, PH 7.4 -
產品提供形式:Liquid
-
應用范圍:ELISA, IHC
-
推薦稀釋比:
Application Recommended Dilution IHC 1:20-1:200 -
Protocols:
-
儲存條件:Upon receipt, store at -20°C or -80°C. Avoid repeated freeze.
-
貨期:Basically, we can dispatch the products out in 1-3 working days after receiving your orders. Delivery time maybe differs from different purchasing way or location, please kindly consult your local distributors for specific delivery time.
-
用途:For Research Use Only. Not for use in diagnostic or therapeutic procedures.
相關產品
靶點詳情
-
功能:Modulates chromatin structure. Required for normal chromosome condensation during the early stages of mitosis. Required for normal chromosome separation during mitosis.
-
基因功能參考文獻:
- High SPOC1 expression is associated with Cytomegalovirus infections. PMID: 29743358
- PHF13 has opposing effects throughout the HIV-1 replication cycle (figure 8). After viral entry and nuclear import of the PIC, PHF13 can increase the number of integrated HIV-1 proviral genomes. After integration, PHF13 acts as antiviral restriction factor and inhibits viral gene expression. PMID: 29021215
- These experiments showed that PHF13 binds specifically to DNA and to two types of histone H3 methyl tags (lysine 4-tri-methyl or lysine 4-di-methyl) where it functions as a transcriptional co-regulator. PMID: 27223324
- SPOC1-mediated restriction imposed upon Ad growth is relieved by its functional association with the Ad major core protein pVII that enters with the viral genome, followed by E1B-55K/E4orf6-dependent proteasomal degradation of SPOC1. PMID: 24278021
- SPOC1 modulates chromatin structure and that tight regulation of its expression levels and subcellular localization during mitosis are crucial for proper chromosome condensation and cell division. PMID: 19638409
顯示更多
收起更多
-
亞細胞定位:Nucleus. Nucleus, nucleoplasm. Note=Predominantly bound to chromatin, but a minor proportion is also detected in the nucleoplasm.
-
數據庫鏈接:
Most popular with customers
-
-
YWHAB Recombinant Monoclonal Antibody
Applications: ELISA, WB, IHC, IF, FC
Species Reactivity: Human, Mouse, Rat
-
Phospho-YAP1 (S127) Recombinant Monoclonal Antibody
Applications: ELISA, WB, IHC
Species Reactivity: Human
-
-
-
-
-















