PFN2 Antibody
-
中文名稱:PFN2兔多克隆抗體
-
貨號:CSB-PA023267
-
規格:¥1100
-
圖片:
-
The image on the left is immunohistochemistry of paraffin-embedded Human brain tissue using CSB-PA023267(PFN2 Antibody) at dilution 1/30, on the right is treated with synthetic peptide. (Original magnification: ×200)
-
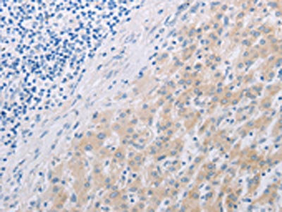
The image on the left is immunohistochemistry of paraffin-embedded Human liver cancer tissue using CSB-PA023267(PFN2 Antibody) at dilution 1/30, on the right is treated with synthetic peptide. (Original magnification: ×200)
-
Gel: 10%SDS-PAGE, Lysate: 40 μg, Lane: Human fetal brain tissue, Primary antibody: CSB-PA023267(PFN2 Antibody) at dilution 1/450, Secondary antibody: Goat anti rabbit IgG at 1/8000 dilution, Exposure time: 3 minutes
-
-
其他:
產品詳情
-
Uniprot No.:
-
基因名:
-
別名:D3S1319E antibody; PFL antibody; PFN 2 antibody; Pfn2 antibody; PROF2_HUMAN antibody; Profilin II antibody; Profilin-2 antibody; Profilin2 antibody; ProfilinII antibody
-
宿主:Rabbit
-
反應種屬:Human,Mouse,Rat
-
免疫原:Synthetic peptide of Human PFN2
-
免疫原種屬:Homo sapiens (Human)
-
標記方式:Non-conjugated
-
抗體亞型:IgG
-
純化方式:Antigen affinity purification
-
濃度:It differs from different batches. Please contact us to confirm it.
-
保存緩沖液:-20°C, pH7.4 PBS, 0.05% NaN3, 40% Glycerol
-
產品提供形式:Liquid
-
應用范圍:ELISA,WB,IHC
-
推薦稀釋比:
Application Recommended Dilution ELISA 1:1000-1:5000 WB 1:500-1:2000 IHC 1:25-1:100 -
Protocols:
-
儲存條件:Upon receipt, store at -20°C or -80°C. Avoid repeated freeze.
-
貨期:Basically, we can dispatch the products out in 1-3 working days after receiving your orders. Delivery time maybe differs from different purchasing way or location, please kindly consult your local distributors for specific delivery time.
-
用途:For Research Use Only. Not for use in diagnostic or therapeutic procedures.
相關產品
靶點詳情
-
功能:Binds to actin and affects the structure of the cytoskeleton. At high concentrations, profilin prevents the polymerization of actin, whereas it enhances it at low concentrations. By binding to PIP2, it inhibits the formation of IP3 and DG.
-
基因功能參考文獻:
- Study indicated that PFN2 may function as a negative regulator of colorectal cancer (CRC) metastasis and, thus, may represent a potential target for CRC therapy. PMID: 30015842
- High PFN2 expression might serve as a valuable predictor for poor overall survival of HNSC. DNA amplification and hypomethylation might be two mechanisms of PFN2 dysregulation. PMID: 29322815
- PFN2 gene, related to regulation of actin cytoskeleton in protein complex F, might play momentous roles in the initiation and development of consecutive Trauma-Induced Sepsis. PMID: 29642183
- PFN2 has a novel role in promoting Esophageal squamous cell carcinoma progression and metastasis. PMID: 27188458
- Study demonstrated that miR30a inhibits epithelial-mesenchymal transition (EMT) and invasion in highly invasive non-small cell lung cancer (NSCLC) cell lines via targeting PFN2 suggesting that miR30a with PFN2 may play an essential role in the development of NSCLC by modulating EMT and cell invasion. PMID: 28405690
- Disease causing mutations in inverted formin 2 regulate its binding to G-actin, F-actin capping protein (CapZ alpha-1) and profilin 2. PMID: 26764407
- Therefore, this study indicates that profilin 2 affects the metastatic potential and stemness of colorectal CSCs by regulating EMT- and stemness-related proteins. PMID: 25964982
- Pfn2 suppresses the recruitment of HDAC1 to Smad2 and Smad3 promoters, increasing their expression, and, in turn, enhancing TGFB1 induced epithelial-mesenchymal transformation and VEGF and CTGF production. PMID: 26354229
- Oral squamous cell carcinomas with weak PFN2 expression were associated with a significantly worse prognosis than strongly expressed tumours. PMID: 21725608
- These findings raise the possibility that Rgl3 mediates interaction between Ras/Rap-family proteins and profilin II, an important activator of actin polymerization. PMID: 17382517
顯示更多
收起更多
-
亞細胞定位:Cytoplasm, cytoskeleton.
-
蛋白家族:Profilin family
-
組織特異性:Highly expressed in brain, skeletal muscle and kidney and less strongly in heart, placenta, lung and liver.
-
數據庫鏈接:
Most popular with customers
-
-
YWHAB Recombinant Monoclonal Antibody
Applications: ELISA, WB, IHC, IF, FC
Species Reactivity: Human, Mouse, Rat
-
Phospho-YAP1 (S127) Recombinant Monoclonal Antibody
Applications: ELISA, WB, IHC
Species Reactivity: Human
-
-
-
-
-















