-
中文名稱:PFKM兔多克隆抗體
-
貨號:CSB-PA017822LA01HU
-
規格:¥440
-
圖片:
-
Western Blot
Positive WB detected in: A549 whole cell lysate, Mouse heart tissue
All lanes: PFKM antibody at 3.4µg/ml
Secondary
Goat polyclonal to rabbit IgG at 1/50000 dilution
Predicted band size: 86, 82, 94 kDa
Observed band size: 86 kDa -
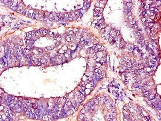
Immunohistochemistry of paraffin-embedded human endometrial cancer using CSB-PA017822LA01HU at dilution of 1:100
-
Immunofluorescent analysis of A549 cells using CSB-PA017822LA01HU at dilution of 1:100 and Alexa Fluor 488-congugated AffiniPure Goat Anti-Rabbit IgG(H+L)
-
-
其他:
產品詳情
-
產品名稱:Rabbit anti-Homo sapiens (Human) PFKM Polyclonal antibody
-
Uniprot No.:
-
基因名:
-
別名:6 Phosphofructokinase Muscle Type antibody; 6-phosphofructokinase antibody; 6-phosphofructokinase muscle type antibody; EC 2.7.1.1 antibody; EC 2.7.1.11 antibody; GSD7 antibody; K6PF_HUMAN antibody; MGC8699 antibody; muscle type antibody; PFK; muscle type antibody; PFK-A antibody; PFKA antibody; PFKL antibody; PFKM antibody; PFKP antibody; PFKX antibody; Phosphofructo 1 Kinase Isozyme A antibody; Phosphofructo-1-kinase isozyme A antibody; Phosphofructokinase 1 antibody; Phosphofructokinase M antibody; Phosphofructokinase; muscle antibody; Phosphofructokinase; muscle type antibody; Phosphofructokinase; polypeptide X antibody; Phosphofructokinase-M antibody; Phosphohexokinase antibody
-
宿主:Rabbit
-
反應種屬:Human, Mouse
-
免疫原:Recombinant Human ATP-dependent 6-phosphofructokinase, muscle type protein (166-334AA)
-
免疫原種屬:Homo sapiens (Human)
-
標記方式:Non-conjugated
本頁面中的產品,PFKM Antibody (CSB-PA017822LA01HU),的標記方式是Non-conjugated。對于PFKM Antibody,我們還提供其他標記。見下表:
-
克隆類型:Polyclonal
-
抗體亞型:IgG
-
純化方式:>95%, Protein G purified
-
濃度:It differs from different batches. Please contact us to confirm it.
-
保存緩沖液:Preservative: 0.03% Proclin 300
Constituents: 50% Glycerol, 0.01M PBS, PH 7.4 -
產品提供形式:Liquid
-
應用范圍:ELISA, WB, IHC, IF
-
推薦稀釋比:
Application Recommended Dilution WB 1:1000-1:5000 IHC 1:20-1:200 IF 1:50-1:200 -
Protocols:
-
儲存條件:Upon receipt, store at -20°C or -80°C. Avoid repeated freeze.
-
貨期:Basically, we can dispatch the products out in 1-3 working days after receiving your orders. Delivery time maybe differs from different purchasing way or location, please kindly consult your local distributors for specific delivery time.
-
用途:For Research Use Only. Not for use in diagnostic or therapeutic procedures.
引用文獻
- Knockdown of MACC1 expression attenuates colorectal cancer cell glucose metabolism by suppressing GLUT4 membrane translocation Q Li, Y Liu, Z Wang, Y Li, L He, J Li,Cancer Biomarkers,2025
相關產品
靶點詳情
-
功能:Catalyzes the phosphorylation of D-fructose 6-phosphate to fructose 1,6-bisphosphate by ATP, the first committing step of glycolysis.
-
基因功能參考文獻:
- KLK6 may be the key protease involved in the proteolytic modification of PFK-M. PMID: 29563071
- characterize three PFK1 mutations and show they have distinct effects on allosteric regulation of PFKP activity and lactate production. PMID: 25985179
- Gene-based analysis identified an association between breast cancer and the phosphofructokinase-muscle (PFKM) gene on chromosome 12q13.11 that met the genome-wide gene-based threshold of 2.5 x 10(-6). PMID: 24493630
- insulin/phosphofructokinase (PFKM), overlaps with an expression quantitative trait loci PMID: 24306210
- Asp(543)Ala, a naturally occurring Tarui disease-causing mutation in the activating binding site, causes an increased efficacy of ATP at the inhibitory allosteric binding site. PMID: 22995305
- Molecular genetic findings demonstrated the absence of specific genotype-phenotype correlations in PFKM gene mutations. PMID: 22133655
- eukaryotic Pfk did not evolve from prokaryotic ancestors, reciprocal linkage of functionally opposed allosteric binding sites must have developed independently in prokaryotic and eukaryotic Pfk (convergent evolution). PMID: 22474333
- Posttranslational modification of PFK1 enzyme might be the pivotal factor of deregulated glycolytic flux in tumors PMID: 21573193
- Data indicate that substitution of residue at the citrate-binding site (D591V) of PFK-M resulted in the complete loss of activity. PMID: 21124851
- Glycolytic efficiency, which is important for the survival of cancer cells, depends primarily on the preferential expression of PFK-L over the M and P isoforms. PMID: 20483646
- Identification of novel PFK-M transcripts in the testis and embryo. PMID: 15020257
- Two phosphofructokinase (PFK) chimeras were constructed by exchanging the N- and C-terminal halves of the mammalian M- and C-type isozymes. PMID: 17544406
顯示更多
收起更多
-
相關疾病:Glycogen storage disease 7 (GSD7)
-
亞細胞定位:Cytoplasm.
-
蛋白家族:Phosphofructokinase type A (PFKA) family, ATP-dependent PFK group I subfamily, Eukaryotic two domain clade "E" sub-subfamily
-
數據庫鏈接:
Most popular with customers
-
-
YWHAB Recombinant Monoclonal Antibody
Applications: ELISA, WB, IHC, IF, FC
Species Reactivity: Human, Mouse, Rat
-
Phospho-YAP1 (S127) Recombinant Monoclonal Antibody
Applications: ELISA, WB, IHC
Species Reactivity: Human
-
-
-
-
-















