PF4 Antibody
-
中文名稱:PF4兔多克隆抗體
-
貨號:CSB-PA017809LA01HU
-
規格:¥440
-
圖片:
-
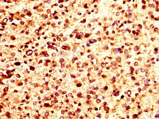
IHC image of CSB-PA017809LA01HU diluted at 1:200 and staining in paraffin-embedded human glioma performed on a Leica BondTM system. After dewaxing and hydration, antigen retrieval was mediated by high pressure in a citrate buffer (pH 6.0). Section was blocked with 10% normal goat serum 30min at RT. Then primary antibody (1% BSA) was incubated at 4°C overnight. The primary is detected by a biotinylated secondary antibody and visualized using an HRP conjugated SP system.
-
-
其他:
產品詳情
-
產品名稱:Rabbit anti-Homo sapiens (Human) PF4 Polyclonal antibody
-
Uniprot No.:
-
基因名:
-
別名:C-X-C motif chemokine 4 antibody; Chemokine (C X C motif) ligand 4 antibody; Chemokine (CXC motif) ligand 4 antibody; chemokine ligand 4 antibody; CXCL 4 antibody; CXCL4 antibody; Iroplact antibody; MGC138298 antibody; Oncostatin A antibody; Oncostatin-A antibody; OncostatinA antibody; PF 4 antibody; PF-4 antibody; PF4 antibody; Pf4a antibody; Platelet factor 4 antibody; PLF4_HUMAN antibody; SCYB 4 antibody; SCYB4 antibody; short form antibody; Small inducible cytokine subfamily B antibody; Small inducible cytokine subfamily member 4 antibody
-
宿主:Rabbit
-
反應種屬:Human
-
免疫原:Recombinant Human Platelet factor 4 protein (32-101AA)
-
免疫原種屬:Homo sapiens (Human)
-
標記方式:Non-conjugated
本頁面中的產品,PF4 Antibody (CSB-PA017809LA01HU),的標記方式是Non-conjugated。對于PF4 Antibody,我們還提供其他標記。見下表:
-
克隆類型:Polyclonal
-
抗體亞型:IgG
-
純化方式:>95%, Protein G purified
-
濃度:It differs from different batches. Please contact us to confirm it.
-
保存緩沖液:Preservative: 0.03% Proclin 300
Constituents: 50% Glycerol, 0.01M PBS, pH 7.4 -
產品提供形式:Liquid
-
應用范圍:ELISA, IHC
-
推薦稀釋比:
Application Recommended Dilution IHC 1:200-1:500 -
Protocols:
-
儲存條件:Upon receipt, store at -20°C or -80°C. Avoid repeated freeze.
-
貨期:Basically, we can dispatch the products out in 1-3 working days after receiving your orders. Delivery time maybe differs from different purchasing way or location, please kindly consult your local distributors for specific delivery time.
-
用途:For Research Use Only. Not for use in diagnostic or therapeutic procedures.
相關產品
靶點詳情
-
功能:Released during platelet aggregation. Neutralizes the anticoagulant effect of heparin because it binds more strongly to heparin than to the chondroitin-4-sulfate chains of the carrier molecule. Chemotactic for neutrophils and monocytes. Inhibits endothelial cell proliferation, the short form is a more potent inhibitor than the longer form.
-
基因功能參考文獻:
- CXCL4 boosts pro-inflammatory cytokine production especially IL-17 by CD4(+) T cells, either by acting directly or indirectly via myeloid antigen presenting cells, implicating a role for CXCL4 in psoriatic arthritis pathology. PMID: 29193036
- The data show that antibodies magnify immune responses induced in PBMCs by PF4 alone or in complex with heparin or LMWH. Authors propose that following induction of HIT antibodies by heparin-PF4 complexes, binding of the antibodies to PF4 is sufficient to induce a local pro-inflammatory response which may play a role in the progression of HIT. PMID: 28968537
- Report anti-PF4/H monoclonal antibody with a human Fc fragment, which induces similar cellular activation as heparin-induced thrombocytopenia antibodies. PMID: 28771917
- PF4 was produced by Ly6G+CD11b+ immature myeloid cells in the early stage premetastatic lungs, and decreased during metastatic progression. PMID: 27223426
- The CXCL4 monomer acts as the minimal active unit for interacting with CXCR3 N-Terminal Sulfated Peptide, and sulfation of N-terminal tyrosine residues on the receptor is important for binding. PMID: 28945356
- These findings support PF4 as a cancer-enhancing endocrine signal that controls discrete aspects of bone marrow hematopoiesis and tumor microenvironment. PMID: 27829148
- data support that increased levels of circulating CXCL4 may contribute to immune dysregulation through the modulation of dendritic cell differentiation PMID: 28515281
- Endometrial CXCL4 mRNA concentrations were significantly increased during menstruation. In women with heavy menstrual bleeding, CXCL4 was reduced in endothelial cells during the menstrual phase compared with women with normal menstrual bleeding. These data implicate CXCL4 in endometrial repair after menses. PMID: 28323919
- Two haplotype blocks, one upstream to the coding region of UGT2A1 (rs146712414, P = 9.1 x 10(-5); odds ratio [OR], 1.34; 95% confidence interval [CI], 1.16-1.56) and one downstream of the genes PF4/PPBP/CXCL5 (rs1595009, P = 1.3 x 10(-4); OR, 1.32; 95% CI, 1.15-1.52), were associated with AgP. PMID: 28467728
- These data demonstrate that the CXCR2 network and CXCL4 play a role in the maintenance of normal HSC/HPC cell fates, including survival and self-renewal. PMID: 27222476
- The major aim of this review article was to evaluate the role of CXCL4 in hematological malignancies, promotion of HSC quiescence as well as BM niche cells. PMID: 26803701
- binding of PF4 to perlecan was found to inhibit both FGF2 signaling and platelet activation PMID: 28115521
- CXCL4 plays an important role in pancreatic inflammation PMID: 27183218
- The hitherto unknown association of increased serum CXCL4 with features of microvascular impairment in primary Sjogren's syndrome, along with the negative association with features of lymphocytic response suggest clarifying the possible implication of this chemokine in primary Sjogren's syndrome pathogenesis in larger studies. PMID: 27562035
- serum concentration of CXCL4 was significantly increased in patients with Chronic Liver Allograft Dysfunction (CLAD); CXCL4 mRNA was significantly increased in subjects with CLAD versus individuals without CLAD PMID: 28053995
- Plasma levels of CXCL4 are associated with tumour vascularity. PMID: 27098116
- Data suggest that, in patients with hypothyroid autoimmune thyroiditis, PF4/CXCL4 serum levels are significantly lower in those with subclinical hypothyroidism than in euthyroid control subjects. PMID: 26142741
- Expression of CXCL4 and aquaporin 3 and 10 mRNAs in middle ear effusion is associated with the pathophysiology of otitis media with effusion. PMID: 26810286
- PF4 changed its structure upon binding to polyP in a similar way as seen in PF4/heparin complexes. PF4/polyP complexes exposed neoepitopes to which human anti-PF4/heparin antibodies bound. PMID: 26225544
- PF4 has a complex intramedullary life cycle with important implications in megakaryopoiesis and hematopoietic stem cell replication not seen with other tested alpha granule proteins. PMID: 26256688
- A subset of heparin-treated patients produce subthreshold levels of platelet-activating anti-PF4/heparin antibodies that do not cause heparin-induced thrombocytopenia. PMID: 26291604
- Synovial Cxcl4 mRNA and protein were increased in early rheumatoid arthritis compared to uninflamed controls and resolving arthritis. PMID: 25858640
- Results found that CXCL4 plasma levels did not differ between patients with and without coronary artery disease. Also, no association between CXCL4 levels and plaque characteristics including plaque volume, calcium score, or vascular remodeling. PMID: 26524462
- Heparin enhances antigen uptake and activation of the initial steps in the cellular immune response to PF4-containing complexes. PMID: 25960020
- PF4-heparin complexes can elicit a TLR4-mediated response, suggesting that these complexes can mimic a pathogen-associated molecular pattern, and supporting the suggestion that the HIT immune response represents a misdirected host defense mechanism. PMID: 25604035
- CXCL4 insufficiency may be involved in specific inflammatory microenvironment of ovarian cancers arising in endometriosis. PMID: 22555803
- effective for prediction of the risk of thrombosis in hemodialysis patients PMID: 24665827
- although all HIT antibodies recognize PF4 in a complex with heparin, only a subset of these antibodies recognize more subtle epitopes induced in PF4 when it binds to CS, the major platelet glycosaminoglycan PMID: 25342714
- The interaction of PF4 with unfractionated heparin (UFH), its 16-, 8-, and 6-mer subfractions, low-molecular-weight heparin (LMWH), and the pentasaccharide fondaparinux, was characterized. PMID: 25150299
- CXCL4 and CXCL4L1 activated p38 MAPK, as well as Src kinase within 30 and 5 min, respectively. Extracellular signal-regulated kinase (ERK) phosphorylation occurred in activated lymphocytes. PMID: 24469069
- eutopic endometrial stromal cells from deep infiltrating endometriosis patients are attracted into the peritoneal cavity through the interaction between CXCR4 expressed on their membrane and CXCL12 produced in the peritoneal cavity. PMID: 24534089
- Data suggest that healthy adult stem cells exposed to vitreous/aqueous humors of subjects with proliferative diabetic retinopathy results in increased expression of CXCL4, serpin F1, and endothelin-1 (aqueous only). PMID: 25159325
- Platelet factor 4 exhibits antimicrobial activity against Plasmodium falciparum. PMID: 23245326
- Plasma VEGF was significantly reduced in low birth weight (LBW) neonates while that of sVEGFR-1 and PF4 were significantly higher. VEGF/sVEGF/PF4 pathway seems to be involved in the endothelial progenitor cell dysfunction in LBW neonates. PMID: 23701307
- Platelet factor 4 has significant crosstalk with vascular endothelial growth factor by modulating cell migration and signal transduction pathways. PMID: 24023389
- Baseline PF4 and beta-TG plasma levels were found remarkably higher and no significant reduction was observed at the endpoint in patients with residual major depression PMID: 23611535
- RUNX1, but not its mutants, strongly and synergistically activates PF4 expression along with ETS family proteins PMID: 23848403
- certain genotypes of ACP1 associated with high phosphatase activity may increase the T-cell response to PF4-heparin complexes, with higher levels of circulating antibodies PMID: 23621699
- Histones regulate activated protein C formation in a manner similar to PF4 and suggest heparinoids may be benificial in sepsis. PMID: 24177324
- physical relationship between the PF4-positive thrombi and the heparin-coated surface suggests that onset of HIT II could be influenced by the immobilized heparin coating PMID: 23769097
- Distinct specificity and single-molecule kinetics characterize the interaction of pathogenic and non-pathogenic antibodies against platelet factor 4-heparin complexes with platelet factor 4. PMID: 24097975
- Release of CXCL4 by activated platelets inhibits HIV-1 infection of adjacent T cells at the stage of virus entry. PMID: 23634812
- Anti-PF4/heparin IgG antibodies generated after coronary artery bypass grafting are associated with early venous graft occlusion. PMID: 23216710
- Report ability of enoxaparin-derived oligosaccharides to induce platelet activation and exposure of platelet-factor 4 epitopes recognized by antibodies developed in heparin induced thrombocytopenia. PMID: 22235911
- This study aimed at examining the presence and role of chemokines (angiogenic CCL2/MCP-1 and angiostatic CXCL4/PF-4, CXCL9/Mig, CXCL10/IP-10) in proliferative diabetic retinopathy. PMID: 23352833
- This study highlights the importance of PF4 variants in the regulation of platelet activation (PF4) and systemic inflammation (tumor necrosis factor-alpha) serum biomarkers. PMID: 22763266
- platelet molecule platelet factor 4 (PF4 or CXCL4) and the erythrocyte Duffy-antigen receptor (Fy) are necessary for platelet-mediated killing of Plasmodium falciparum parasites. PMID: 23224555
- The present review describes the role of CXCL4-PF4 in cancer, the immunobiology, clinical presentation and diagnosis of HIT, and the specific problems faced in cancer patients. PMID: 22682144
- Differences in the properties of anti-PF4 antibodies that cause thrombocytopenia not revealed by ELISA that correlate with oligomerization of PF4 and sustained high-avidity interactions that may simulate transient antibody-antigen interactions in vivo. PMID: 22577175
- Examined the prognostic values of SARS-associated proteome, and deciphered the identities of those with prognostic values.The associations of decreased serum PF4 and increased serum beta-TG levels with poor prognosis were confirmed by Western blot. PMID: 22740477
顯示更多
收起更多
-
亞細胞定位:Secreted.
-
蛋白家族:Intercrine alpha (chemokine CxC) family
-
數據庫鏈接:
Most popular with customers
-
YWHAB Recombinant Monoclonal Antibody
Applications: ELISA, WB, IHC, IF, FC
Species Reactivity: Human, Mouse, Rat
-
Phospho-YAP1 (S127) Recombinant Monoclonal Antibody
Applications: ELISA, WB, IHC
Species Reactivity: Human
-
-
-
-
-
-















