PEF1 Antibody
-
中文名稱:PEF1兔多克隆抗體
-
貨號:CSB-PA289634
-
規格:¥1100
-
圖片:
-
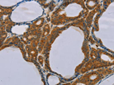
The image on the left is immunohistochemistry of paraffin-embedded Human thyroid cancer tissue using CSB-PA289634(PEF1 Antibody) at dilution 1/20, on the right is treated with fusion protein. (Original magnification: ×200)
-
The image on the left is immunohistochemistry of paraffin-embedded Human liver cancer tissue using CSB-PA289634(PEF1 Antibody) at dilution 1/20, on the right is treated with fusion protein. (Original magnification: ×200)
-
Gel: 8%SDS-PAGE, Lysate: 40 μg, Lane 1-4: Jurkat cells, hela cells, 293T cells, human thyroid cancer tissue, Primary antibody: CSB-PA289634(PEF1 Antibody) at dilution 1/200, Secondary antibody: Goat anti rabbit IgG at 1/8000 dilution, Exposure time: 20 seconds
-
-
其他:
產品詳情
-
Uniprot No.:
-
基因名:PEF1
-
別名:ABP32 antibody; PEF antibody; PEF protein with a long N terminal hydrophobic domain antibody; PEF protein with a long N-terminal hydrophobic domain antibody; pef1 antibody; PEF1_HUMAN antibody; PEF1A antibody; Peflin antibody; Penta EF hand domain containing protein 1 antibody; Penta-EF hand domain-containing protein 1 antibody
-
宿主:Rabbit
-
反應種屬:Human,Mouse,Rat
-
免疫原:Fusion protein of Human PEF1
-
免疫原種屬:Homo sapiens (Human)
-
標記方式:Non-conjugated
-
抗體亞型:IgG
-
純化方式:Antigen affinity purification
-
濃度:It differs from different batches. Please contact us to confirm it.
-
保存緩沖液:-20°C, pH7.4 PBS, 0.05% NaN3, 40% Glycerol
-
產品提供形式:Liquid
-
應用范圍:ELISA,WB,IHC
-
推薦稀釋比:
Application Recommended Dilution ELISA 1:2000-1:5000 WB 1:500-1:2000 IHC 1:25-1:100 -
Protocols:
-
儲存條件:Upon receipt, store at -20°C or -80°C. Avoid repeated freeze.
-
貨期:Basically, we can dispatch the products out in 1-3 working days after receiving your orders. Delivery time maybe differs from different purchasing way or location, please kindly consult your local distributors for specific delivery time.
-
用途:For Research Use Only. Not for use in diagnostic or therapeutic procedures.
相關產品
靶點詳情
-
功能:Calcium-binding protein that acts as an adapter that bridges unrelated proteins or stabilizes weak protein-protein complexes in response to calcium. Together with PDCD6, acts as calcium-dependent adapter for the BCR(KLHL12) complex, a complex involved in endoplasmic reticulum (ER)-Golgi transport by regulating the size of COPII coats. In response to cytosolic calcium increase, the heterodimer formed with PDCD6 interacts with, and bridges together the BCR(KLHL12) complex and SEC31 (SEC31A or SEC31B), promoting monoubiquitination of SEC31 and subsequent collagen export, which is required for neural crest specification. Its role in the heterodimer formed with PDCD6 is however unclear: some evidence shows that PEF1 and PDCD6 work together and promote association between PDCD6 and SEC31 in presence of calcium. Other reports show that PEF1 dissociates from PDCD6 in presence of calcium, and may act as a negative regulator of PDCD6. Also acts as a negative regulator of ER-Golgi transport; possibly by inhibiting interaction between PDCD6 and SEC31.
-
基因功能參考文獻:
- This work identifies for the first time a clear steady state role for a PEF protein in ER-to-Golgi transport-peflin is a negative regulator of transport. PMID: 27276012
- peflin is stabilized by dimerization through its fifth EF-hand region PMID: 11883899
-
亞細胞定位:Cytoplasm. Endoplasmic reticulum. Membrane; Peripheral membrane protein. Cytoplasmic vesicle, COPII-coated vesicle membrane; Peripheral membrane protein.
-
數據庫鏈接:
Most popular with customers
-
YWHAB Recombinant Monoclonal Antibody
Applications: ELISA, WB, IHC, IF, FC
Species Reactivity: Human, Mouse, Rat
-
Phospho-YAP1 (S127) Recombinant Monoclonal Antibody
Applications: ELISA, WB, IHC
Species Reactivity: Human
-
-
-
-
-
-















