PECAM1 Antibody
-
中文名稱:PECAM1兔多克隆抗體
-
貨號:CSB-PA982317
-
規格:¥1100
-
圖片:
-
The image on the left is immunohistochemistry of paraffin-embedded Human tonsil tissue using CSB-PA982317(PECAM1 Antibody) at dilution 1/30, on the right is treated with synthetic peptide. (Original magnification: ×200)
-
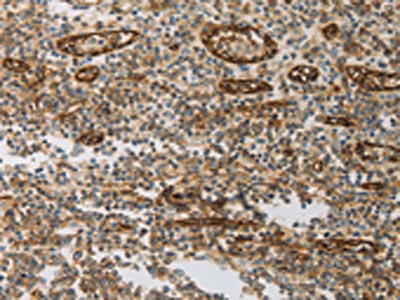
The image on the left is immunohistochemistry of paraffin-embedded Human liver cancer tissue using CSB-PA982317(PECAM1 Antibody) at dilution 1/30, on the right is treated with synthetic peptide. (Original magnification: ×200)
-
Gel: 8%SDS-PAGE, Lysate: 60 μg, Lane: Jurkat cells, Primary antibody: CSB-PA982317(PECAM1 Antibody) at dilution 1/500, Secondary antibody: Goat anti rabbit IgG at 1/8000 dilution, Exposure time: 5 minutes
-
-
其他:
產品詳情
-
Uniprot No.:
-
基因名:
-
別名:PECAM1; Platelet endothelial cell adhesion molecule; PECAM-1; EndoCAM; GPIIA'; PECA1; CD antigen CD31
-
宿主:Rabbit
-
反應種屬:Human,Mouse
-
免疫原:Synthetic peptide of Human PECAM1
-
免疫原種屬:Homo sapiens (Human)
-
標記方式:Non-conjugated
-
抗體亞型:IgG
-
純化方式:Antigen affinity purification
-
濃度:It differs from different batches. Please contact us to confirm it.
-
保存緩沖液:-20°C, pH7.4 PBS, 0.05% NaN3, 40% Glycerol
-
產品提供形式:Liquid
-
應用范圍:ELISA,WB,IHC
-
推薦稀釋比:
Application Recommended Dilution ELISA 1:1000-1:5000 WB 1:500-1:2000 IHC 1:25-1:100 -
Protocols:
-
儲存條件:Upon receipt, store at -20°C or -80°C. Avoid repeated freeze.
-
貨期:Basically, we can dispatch the products out in 1-3 working days after receiving your orders. Delivery time maybe differs from different purchasing way or location, please kindly consult your local distributors for specific delivery time.
-
用途:For Research Use Only. Not for use in diagnostic or therapeutic procedures.
相關產品
靶點詳情
-
功能:Cell adhesion molecule which is required for leukocyte transendothelial migration (TEM) under most inflammatory conditions. Tyr-690 plays a critical role in TEM and is required for efficient trafficking of PECAM1 to and from the lateral border recycling compartment (LBRC) and is also essential for the LBRC membrane to be targeted around migrating leukocytes. Trans-homophilic interaction may play a role in endothelial cell-cell adhesion via cell junctions. Heterophilic interaction with CD177 plays a role in transendothelial migration of neutrophils. Homophilic ligation of PECAM1 prevents macrophage-mediated phagocytosis of neighboring viable leukocytes by transmitting a detachment signal. Promotes macrophage-mediated phagocytosis of apoptotic leukocytes by tethering them to the phagocytic cells; PECAM1-mediated detachment signal appears to be disabled in apoptotic leukocytes. Modulates bradykinin receptor BDKRB2 activation. Regulates bradykinin- and hyperosmotic shock-induced ERK1/2 activation in endothelial cells. Induces susceptibility to atherosclerosis.; Does not protect against apoptosis.
-
基因功能參考文獻:
- High CD31 expression is associated with Central Giant Cell Granuloma. PMID: 30139237
- TNF-alpha and IL-10 treatment can affect the expression of ICAM-1 and CD31 in human coronary artery endothelial cells. PMID: 29949812
- High CD31 expression is associated with early-stage, but not in late-stage, laryngeal squamous cell carcinoma. PMID: 29523110
- Adenocarcinomas showed significantly higher staining scores of both VEGF and alphaSMA than squamous cell carcinomas did. In 42 cases of high CD31 score, five-year survival rate (87%) of patients with lung cancer showing mature tumor vessels was significantly better than that (69%) of patients with immature tumor vessels PMID: 29970531
- Differences in trafficking of CD31(+) cytotoxic T lymphocytes during acute influenza infection could modulate tolerance and contribute to a dampened adaptive immune response in neonates PMID: 28355204
- Cell adhesion assays on wildtype and mutant PECAM-1 further characterized the structural determinants in cell junction and communication. PMID: 27958302
- In primary hip OA, angiogenesis may be induced by a combined mechanism: hypoxia-related VEGF-dependent vasculogenesis and endothelial differentiation of the activated pluripotent cells, which are released from the hyperplastic synovial cells layer. An endothelial mesenchymal transition is assumed to be involved in the fibrotic process. PMID: 27704157
- upregulation of sVEGFR-1 with concomitant decline of PECAM-1 and sVEGFR-2 levels in preeclampsia compared to normotensive pregnancies, Irrespective of the HIV status PMID: 28609170
- Increased expression of PECAM-1, ICAM-3, and VCAM-1 in colonic biopsies from patients with inflammatory bowel disease (IBD) in clinical remission is associated with subsequent flares; this suggests that increases in the expression of these proteins may be early events that lead to flares in patients with IBD. PMID: 27552332
- PECAM-1 gene polymorphisms are associated with Kawasaki disease with and without coronary artery lesions in Chinese children. PMID: 28512385
- Sirt1 expression is associated with CD31 expression in endothelial progenitor cells from patients with chronic obstructive pulmonary disease. PMID: 27784320
- we found a significant cumulative contribution of the genetic heterogeneity of glycoproteins Ia and IIIa and platelet-endothelial cell adhesion molecule-1 and P-Selectin genes in the risk of recurrent IVF-ET failures. The coexistence of these SNPs was associated with increased IVF-ET failure risk and the more polymorphic alleles or genotypes were present the higher the risk of IVF-ET failure, especially for younger women PMID: 28388872
- Dimer conformation of soluble PECAM-1 PMID: 27270333
- RrgA, binds both polymeric immunoglobulin receptor (pIgR) and PECAM-1, whereas the choline binding protein PspC binds, but to a lower extent, only pIgR PMID: 28515075
- this study shows a significant role for CD31 during T cell development PMID: 28159903
- Cells in high glucose for 7 days showed a significant decrease in mRNA expression of CD31 and VE-cadherin, and a significant increase in that of alpha-SMA and collagen I. PMID: 28347704
- Patients who had optic neuritis that progressed to multiple sclerosis had a decrease in serum PECAM-1 levels. PMID: 27806869
- Platelet endothelial cell adhesion molecule (PECAM-1) is expressed in endothelial cells (ECs), platelets, and leukocytes, regulating the interaction between those cells. PMID: 27079772
- Data indicate no association of maternal or fetal ITGA2 C807T SNP, ITGB3 T1565C SNP, PECAM1 CTG - GTG and SELP A/C polymorphisms with fetal growth restriction (FGR). PMID: 28358707
- these data suggest that a sialic acid-containing glycan emanating from Asn-25 reinforces dynamic endothelial cell-cell interactions by stabilizing the PECAM-1 homophilic binding interface. PMID: 27793989
- Decreased FoxP3 expression in CD31(+) Tr cells. PMID: 27997991
- These results suggested that PECAM-1 could mediate platelet adhesion to endothelial cells under shear stress. Platelets binding to endothelial cells interfered with endothelial cell mechanotransduction through PECAM-1, affecting endothelial cell inflammatory responses towards pathological shear flow. PMID: 28013181
- Immunohistochemical expression of CD31 and vascular endothelial growth factor (VEGF) were assessed in parallel. PMID: 27270504
- CD31 is expressed in mycosis fungoides (MF) skin biopsies, which provides new evidence for the role of angiogenesis in the progression of MF PMID: 27630298
- The Leu125Val polymorphism of PECAM-1 and the level of soluble PECAM-1 are not associated with diabetic nephropathy in Caucasians with type 2 diabetes mellitus. PMID: 28116228
- We provide the first report that pro-angiogenic genes PECAM1, PTGS1, FGD5, and MCAM may play a vital role in pathological dermal angiogenesis disorders of psoriasis. PMID: 26748901
- The PECAM-1 functions as an adhesive stress-response protein to both maintain endothelial cell junctional integrity and speed restoration of the vascular permeability barrier following inflammatory or thrombotic challenge. PMID: 27055047
- These studies indicate a role for PECAM-1 in enhancing the inhibitory functions of TGF-beta in T cells PMID: 26956486
- PECAM1 plays an important role in the formation of tight junction complex. PMID: 26607202
- The most significant associations were detected for PECAM1*V/V + DDAH1*C (OR = 4.17 CI 1.56-11.15 Pperm = 0.005) PMID: 26662939
- soluble CD38 (sCD38) in seminal plasma increases the capacitation of sperm via specific interactions between sCD38 and the CD31 on the sperm. PMID: 26407101
- expression levels of CD31/ PECAM1 are deregulated in human glioblastoma multiforme tissue specimens; correlation among CD31/PECAM1 and HIF-1alpha and N-cadherin and ADAM-10, two other markers of aggressiveness in the same tumors PMID: 26376118
- Radiation-induced stress conditions induce a transient accumulation of granulocytes within the liver by down-regulation/absence of PECAM-1. PMID: 26177067
- Suggest that CD31 expression correlates with prognosis in gastrointestinal stromal tumors. PMID: 26078569
- PECAM-1 125C/G polymorphism is associated with deep vein thrombosis. PMID: 25846278
- Heterogeneity was found in the endothelial cells: their shape, the expression of adhesion molecules(ICAM-1, VCAM-1, and PECAM ), and the adhesion of lymphocytes and monocytes to them changed during the progression of the atherosclerotic process. PMID: 26841644
- PECAM1+ melanoma cells form vascular channels PMID: 25335460
- Low shear stress can induce inflammatory response via PECAM-1/PARP-1/HMGB1 pathway. PMID: 25793984
- Nck promoted oxidative stress-induced activation of NF-kappaB by coupling the tyrosine phosphorylation of PECAM-1 (platelet endothelial cell adhesion molecule-1) to the activation of p21-activated kinase PMID: 25714462
- PECAM-1 has a role in mediating the profibrotic and prometastasic environment caused by ethanol in endothelial cells PMID: 24734240
- Report correlation between mast cell tryptase and CD31 expression in odontogenic tumors. PMID: 26247531
- there are associations between various PECAM-1 polymorphisms in rheumatoid arthritis and systemic lupus erythematosus patients, and PECAM-1 polymorphisms in SLE are protective against atherosclerotic complications PMID: 25201689
- preeclampsia does not significantly affect vascular growth or the expression of endothelial junction proteins in human placentas PMID: 25362142
- C-CD31 have impaired angiogenic potential and the number of circulating CD31(+) cells were correlated with cardiovascular disease risk PMID: 25267411
- demonstrate a functional link between HO-1 gene expression and PECAM-1 in endothelial cells, which might play a critical role in the regulation of inflammation PMID: 24500083
- The positive correlation is established between content of polymorphic nuclear monocytes and level of expression of molecules of LFA-1, ICAM-1, LFA-3, and PECAM-1. PMID: 25884075
- High CD31 expression associated significantly with better survival and VEGFR3 had no association with survival. Both higher tumor grade and stage were associated with a decreased survival time PMID: 25667475
- Suggest that cell confluence and the type of flow are critical independent factors in the induction of TF and PECAM-1 phosphorylation in endothelial cells exposed to disturbed pulsatile flow and chemical stimuli. PMID: 24342062
- The finding that the adhesive properties of PECAM-1 are regulatable suggests novel approaches for controlling endothelial cell migration and barrier function in a variety of vascular permeability disorders. PMID: 24936065
- for the cytological diagnosis of angiosarcomas, ERG and CD31 are more sensitive vascular markers than CD34 PMID: 25352641
顯示更多
收起更多
-
亞細胞定位:Cell membrane; Single-pass type I membrane protein.; [Isoform Long]: Cell membrane; Single-pass type I membrane protein. Membrane raft. Cell junction.; [Isoform Delta15]: Cell junction. Note=Localizes to the lateral border recycling compartment (LBRC) and recycles from the LBRC to the junction in resting endothelial cells.
-
組織特異性:Expressed on platelets and leukocytes and is primarily concentrated at the borders between endothelial cells. Expressed in human umbilical vein endothelial cells (HUVECs) (at protein level). Expressed on neutrophils (at protein level). Isoform Long predom
-
數據庫鏈接:
Most popular with customers
-
-
YWHAB Recombinant Monoclonal Antibody
Applications: ELISA, WB, IHC, IF, FC
Species Reactivity: Human, Mouse, Rat
-
Phospho-YAP1 (S127) Recombinant Monoclonal Antibody
Applications: ELISA, WB, IHC
Species Reactivity: Human
-
-
-
-
-















