PDX1 Antibody
-
中文名稱:PDX1兔多克隆抗體
-
貨號:CSB-PA114989
-
規格:¥1100
-
圖片:
-
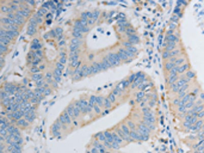
The image on the left is immunohistochemistry of paraffin-embedded Human colon cancer tissue using CSB-PA114989(PDX1 Antibody) at dilution 1/30, on the right is treated with synthetic peptide. (Original magnification: ×200)
-
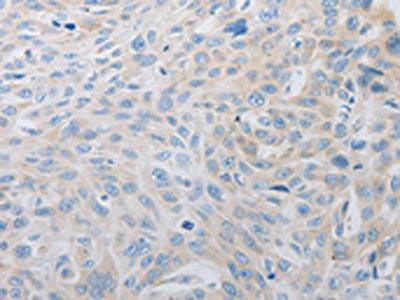
The image on the left is immunohistochemistry of paraffin-embedded Human esophagus cancer tissue using CSB-PA114989(PDX1 Antibody) at dilution 1/30, on the right is treated with synthetic peptide. (Original magnification: ×200)
-
Gel: 10%SDS-PAGE, Lysate: 40 μg, Lane 1-2: Hela cells, Jurkat cells, Primary antibody: CSB-PA114989(PDX1 Antibody) at dilution 1/450, Secondary antibody: Goat anti rabbit IgG at 1/8000 dilution, Exposure time: 1 minute
-
-
其他:
產品詳情
-
Uniprot No.:
-
基因名:
-
別名:Glucose sensitive factor antibody; Glucose-sensitive factor antibody; GSF antibody; IDX 1 antibody; IDX-1 antibody; IDX1 antibody; Insulin promoter factor 1 antibody; Insulin promoter factor 1 homeodomain transcription factor antibody; Insulin upstream factor 1 antibody; IPF 1 antibody; IPF-1 antibody; IPF1 antibody; Islet/duodenum homeobox 1 antibody; Islet/duodenum homeobox-1 antibody; IUF 1 antibody; IUF-1 antibody; IUF1 antibody; MODY4 antibody; Pancreas/duodenum homeobox 1 antibody; Pancreas/duodenum homeobox protein 1 antibody; pancreatic and duodenal homeobox P antibody; PDX 1 antibody; PDX-1 antibody; PDX1 antibody; PDX1_HUMAN antibody; Somatostatin transactivating factor 1 antibody; Somatostatin-transactivating factor 1 antibody; STF 1 antibody; STF-1 antibody; STF1 antibody
-
宿主:Rabbit
-
反應種屬:Human,Mouse,Rat
-
免疫原:Synthetic peptide of Human PDX1
-
免疫原種屬:Homo sapiens (Human)
-
標記方式:Non-conjugated
-
抗體亞型:IgG
-
純化方式:Antigen affinity purification
-
濃度:It differs from different batches. Please contact us to confirm it.
-
保存緩沖液:-20°C, pH7.4 PBS, 0.05% NaN3, 40% Glycerol
-
產品提供形式:Liquid
-
應用范圍:ELISA,WB,IHC
-
推薦稀釋比:
Application Recommended Dilution ELISA 1:2000-1:5000 WB 1:500-1:2000 IHC 1:15-1:50 -
Protocols:
-
儲存條件:Upon receipt, store at -20°C or -80°C. Avoid repeated freeze.
-
貨期:Basically, we can dispatch the products out in 1-3 working days after receiving your orders. Delivery time maybe differs from different purchasing way or location, please kindly consult your local distributors for specific delivery time.
-
用途:For Research Use Only. Not for use in diagnostic or therapeutic procedures.
相關產品
靶點詳情
-
功能:Activates insulin, somatostatin, glucokinase, islet amyloid polypeptide and glucose transporter type 2 gene transcription. Particularly involved in glucose-dependent regulation of insulin gene transcription. As part of a PDX1:PBX1b:MEIS2b complex in pancreatic acinar cells is involved in the transcriptional activation of the ELA1 enhancer; the complex binds to the enhancer B element and cooperates with the transcription factor 1 complex (PTF1) bound to the enhancer A element. Binds preferentially the DNA motif 5'-[CT]TAAT[TG]-3'. During development, specifies the early pancreatic epithelium, permitting its proliferation, branching and subsequent differentiation. At adult stage, required for maintaining the hormone-producing phenotype of the beta-cell.
-
基因功能參考文獻:
- heat shock proteins are involved in PDX1-mediated effects on the genesis of gastric cancer PMID: 30310259
- Investigated the effect of gestational diabetes mellitus (GDM) on the expression and methylation of PGC-1alpha and PDX1 in placenta and their effects on fetal glucose metabolism. Blood glucose was negatively correlated with the expression of PGC-1alpha and PDX1 mRNA in the placenta. PMID: 29730292
- PDX1, Neurogenin-3, and MAFA are critical transcription regulators for beta cell development and regeneration. (Review) PMID: 29096722
- study provides a novel culture protocol for generating pancreas-committed cells from hAECs and reveals an interplay between Pdx1 and activin A/nicotinamide signaling in early pancreatic fate determination. PMID: 28632450
- Data indicate the secretory granule membrane glycoprotein 2 as a marker for PDX1+/NKX6-1+ pancreatic progenitors (PPs). PMID: 28835709
- expression of regulatory master genes of embryonic development in pancreatic cancer cells on the intracellular concentration of the master regulator PDX1 PMID: 28864896
- Efficiency of differentiation of Induced pluripotent stem cells to insulin producing cells can be increased by concurrent expression of PDX1 and NKX6.1 during progenitor cells maturation. PMID: 27998294
- Mutation in PDX1 gene is associated with Maturity Onset Diabetes of the Young. PMID: 28095440
- Results found that Pdx-1 overexpression exerts its effects on islet cell replication via a noncell-autonomous mechanism involving induction of a secreted soluble factor or factors. Also, Inhbb is identified as one factor mediating the proliferative effect of Pdx-1. PMID: 27620967
- Our findings indicate that MET induces the differentiation of Pdx1-expressing cells within the definitive endoderm in a time-dependent manner, and suggest useful application for regenerative medicine. PMID: 28202025
- Pdx1 and MafA play crucial roles in the pancreas and maintain mature beta-cell function. Our results showed that the expression of Pdx1 and MafA were significantly upregulated after a sleeve gastrectomy for morbid obesity. PMID: 26781599
- Data show that the expression patterns of sex determining region Y-box 2 (SOX2) and pancreatic and duodenal homeobox 1 (Pdx1)) highly correlated with prognosis of pancreatic neuroendocrine tumors (p-NETs). PMID: 26491904
- The ERK-PDX-1 interaction in PANC-1 cells. PMID: 26695692
- Foxo1 and PDX1 are colocalized in fetal pancreatic islets, suggesting they function in parallel in beta cells. PMID: 26727107
- This study investigated the role of Pdx1 and its mechanism in differentiating induced pluripotent stem cells (iPSCs) into islet beta cells. PMID: 26345820
- the human Pdx1 is highly effective in triggering human biliary tree stem cells differentiation toward functional beta-pancreatic cells. PMID: 26252949
- Introduction of the PDX1 gene makes cells acquire a functional insulin secretory capacity PMID: 25817342
- These results suggest that IFN-gamma induced beta-cell dysfunction is mediated through decreased nuclear localization of Pdx-1. PMID: 25839229
- The rs12255372 SNP of TCF7L2 and D76N of PDX-1 genes may confer susceptibility to T2DM in the population living in Mashhad, Iran. PMID: 26058934
- Pdx1 has a role in pancreatic differentiation in human amniotic fluid-derived stem cells PMID: 23147868
- physiological and pathophysiological conditions dynamically regulated Pdx1 binding to these Swi/Snf complexes in vivo PMID: 25801033
- we found that PDX1 binds and suppresses expression of endogenous liver genes. These findings rebrand PDX1 as a context-dependent transcriptional repressor and activator within the same cell type. PMID: 25843046
- PDX-1mRNA is detectable in samples of pancreatic cancer. Its quantification may be helpful to improve the diagnosis of pancreatic cancer. PMID: 25454709
- These results indicate that PDX-1 mRNA may offer a promising approach to produce safe IPCs for clinical diabetes mellitus treatment. PMID: 25201603
- CONCLUSIONS: Our results demonstrate the use of in vitro-synthesized PDX1 messenger RNA to differentiate hUC-MSCs into islet-like cells and pave the way toward the development of reprogramming and directed-differentiation methods PMID: 25287601
- MAFA, MAFB, NKX6.1, and PDX1 activity provides a gauge of islet beta cell function, with loss of MAFA (and/or MAFB) representing an early indicator of beta cell inactivity PMID: 23863625
- A rare (0.20%) frameshift variant in PDX1, encoding p.Gly218Alafs*12, associates with high risk of type 2 diabetes (OR = 2.27, P = 7.3 x 10(-7)). PMID: 24464100
- Performed fully atomistic Molecular Dynamics simulations both in crystal and aqueous environments in order to elucidate the nature of the difference in binding contacts between Pdx1 and DNA (PDB 2H1K) . PMID: 23950697
- Developed a liquid-phase, non-radioactive, sensitive and specific luciferase immunoprecipitation systems assay to detect pdx1 autoantibodies in human sera. PMID: 23696946
- Pdx1 is a transcription factor required for the formation of endocrine pancreas that is inhibited during Coxsackievirus B4 infection of human pancreas ductal cells PMID: 23775130
- recessive PDX1 mutations are a rare but important cause of isolated permanent neonatal diabetes in patients without pancreatic hypoplasia/agenesis PMID: 23320570
- PASK phosphorylates and inactivates GSK3beta, thereby preventing PDX-1 serine phosphorylation and alleviating GSK3beta-mediated PDX-1 protein degradation in pancreatic beta-cells. PMID: 23853095
- studies indicated p38 MAP kinase is a positive regulator of PDX-1 stability and p38 exerts its stabilizing effect on PDX-1 through a phosphorylation-dependent inhibition of PDX-1 ubiquitination. PMID: 23331010
- PDX-1 is a therapeutic target for both hormonal symptoms and tumor volume in models of pancreatic cancer, insulinoma and islet neoplasia PMID: 22905092
- Up-regulation of Pdx1 is a feature of cholangiocarcinogenesis associated with chronic cholangitis. PMID: 22594685
- data demonstrate epigenetic modifications of PDX-1 may reduce its expression in diabetic islets which may lead to impaired insulin expression and secretion; data further suggest hyperglycemia may be a factor behind increased DNA methylation and decreased expression of PDX-1 PMID: 22570331
- Combined transfection of the three transcriptional factors, PDX-1, NeuroD1, and MafA, causes differentiation of bone marrow mesenchymal stem cells into insulin-producing cells PMID: 22761608
- PDX1 repression of FABP1, LCT, and SI suggests a role for PDX1 in patterning anterior intestinal development. PMID: 22640736
- Analysis of cell death genes led to the identification of Noxa and Puma as direct targets of Pdx1 PMID: 22322596
- Through multiple mechanisms, SREBP-1c, when induced in a lipotoxic state, repressed PDX-1 expression contributing to the inhibition of insulin expression and beta cell dysfunction. PMID: 21652712
- a significant relation of PDX1 and CDX2 expressions among phenotypic classification of gastric carcinomas reveals an idea about similar functions for PDX1 and CDX2 in the evolution of gastric carcinoma. PMID: 21909647
- PDX-1 plays an important role in the induction of CD44+/CD105+ human amniotic fluid cells (HuAFCs) into functional pancreatic beta-cell-like cells in vitro. PMID: 21612404
- Gastrin-positive neuroendocrine tumors, whether of duodenal or pancreatic origin, frequently expressed PDX1 (17/18), ISL1 (14/18), and NGN3 (14/18). PMID: 21739268
- PDX1, important for the regulation of insulin metabolism regulation, was able to repress the TBX15 promoter in a methylation-dependent manner, which might, at least partially, explain the specific mRNA decrease of TBX15 observed in vIUGR placentas. PMID: 20962579
- ATF2 interacts with beta-cell-enriched transcription factors, MafA, Pdx1, and beta2, and activates insulin gene transcription. PMID: 21278380
- pdx-1 functions as a "pancreas-permitting gene". PMID: 20668890
- Data suggest that NKX6.1 activates immature pancreatic markers but not pancreatic hormone gene expression in human liver cells, and suggest a potential role for NKX6.1 in promoting PDX-1 reprogrammed maturation along a beta-cell-like lineage. PMID: 21108535
- TFF1, TFF2, and PDX1 were expressed only in lobular endocervical glandular hyperplasia. PMID: 21228366
- Results indicate that beta-cell dysfunction during progression of CP correlates with the decrease in PDX-1 gene expression. PMID: 20467340
- in adult mouse beta cells, Pcif1 limits Pdx1 protein accumulation and thus the expression of insulin and other gene targets important in the maintenance of beta cell mass and function. PMID: 20811152
顯示更多
收起更多
-
相關疾?。?/div>Pancreatic agenesis 1 (PAGEN1); Diabetes mellitus, non-insulin-dependent (NIDDM); Maturity-onset diabetes of the young 4 (MODY4)亞細胞定位:Nucleus. Cytoplasm, cytosol.蛋白家族:Antp homeobox family, IPF1/XlHbox-8 subfamily組織特異性:Duodenum and pancreas (Langerhans islet beta cells and small subsets of endocrine non-beta-cells, at low levels in acinar cells).數據庫鏈接:
Most popular with customers
-
-
YWHAB Recombinant Monoclonal Antibody
Applications: ELISA, WB, IHC, IF, FC
Species Reactivity: Human, Mouse, Rat
-
-
-
-
-
-















