PDSS2 Antibody
-
中文名稱:PDSS2兔多克隆抗體
-
貨號:CSB-PA773060LA01HU
-
規格:¥440
-
圖片:
-
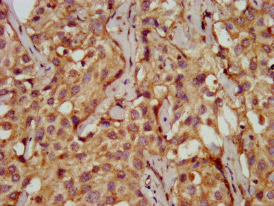
IHC image of CSB-PA773060LA01HU diluted at 1:200 and staining in paraffin-embedded human liver cancer performed on a Leica BondTM system. After dewaxing and hydration, antigen retrieval was mediated by high pressure in a citrate buffer (pH 6.0). Section was blocked with 10% normal goat serum 30min at RT. Then primary antibody (1% BSA) was incubated at 4°C overnight. The primary is detected by a biotinylated secondary antibody and visualized using an HRP conjugated SP system.
-
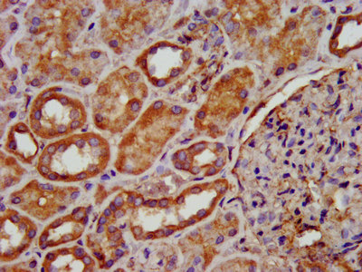
IHC image of CSB-PA773060LA01HU diluted at 1:200 and staining in paraffin-embedded human kidney tissue performed on a Leica BondTM system. After dewaxing and hydration, antigen retrieval was mediated by high pressure in a citrate buffer (pH 6.0). Section was blocked with 10% normal goat serum 30min at RT. Then primary antibody (1% BSA) was incubated at 4°C overnight. The primary is detected by a biotinylated secondary antibody and visualized using an HRP conjugated SP system.
-
-
其他:
產品詳情
-
產品名稱:Rabbit anti-Homo sapiens (Human) PDSS2 Polyclonal antibody
-
Uniprot No.:
-
基因名:PDSS2
-
別名:All-trans-decaprenyl-diphosphate synthase subunit 2 antibody; bA59I9.3 antibody; C6orf210 antibody; Candidate tumor suppressor protein antibody; chromosome 6 open reading frame 210 antibody; Decaprenyl pyrophosphate synthase subunit 2 antibody; decaprenyl pyrophosphate synthetase subunit 2 antibody; Decaprenyl-diphosphate synthase subunit 2 antibody; DLP1 antibody; DLP1_HUMAN antibody; hDLP1 antibody; Pdss2 antibody; prenyl (decaprenyl) diphosphate synthase; subunit 2 antibody; subunit 2 of decaprenyl diphosphate synthase antibody
-
宿主:Rabbit
-
反應種屬:Human
-
免疫原:Recombinant Human Decaprenyl-diphosphate synthase subunit 2 protein (292-387AA)
-
免疫原種屬:Homo sapiens (Human)
-
標記方式:Non-conjugated
本頁面中的產品,PDSS2 Antibody (CSB-PA773060LA01HU),的標記方式是Non-conjugated。對于PDSS2 Antibody,我們還提供其他標記。見下表:
-
克隆類型:Polyclonal
-
抗體亞型:IgG
-
純化方式:>95%, Protein G purified
-
濃度:It differs from different batches. Please contact us to confirm it.
-
保存緩沖液:Preservative: 0.03% Proclin 300
Constituents: 50% Glycerol, 0.01M PBS, pH 7.4 -
產品提供形式:Liquid
-
應用范圍:ELISA, IHC
-
推薦稀釋比:
Application Recommended Dilution IHC 1:200-1:500 -
Protocols:
-
儲存條件:Upon receipt, store at -20°C or -80°C. Avoid repeated freeze.
-
貨期:Basically, we can dispatch the products out in 1-3 working days after receiving your orders. Delivery time maybe differs from different purchasing way or location, please kindly consult your local distributors for specific delivery time.
-
用途:For Research Use Only. Not for use in diagnostic or therapeutic procedures.
相關產品
靶點詳情
-
功能:Heterotetrameric enzyme that catalyzes the condensation of farnesyl diphosphate (FPP), which acts as a primer, and isopentenyl diphosphate (IPP) to produce prenyl diphosphates of varying chain lengths and participates in the determination of the side chain of ubiquinone. Supplies nona and decaprenyl diphosphate, the precursors for the side chain of the isoprenoid quinones ubiquinone-9 (Q9) and ubiquinone-10 (Q10) respectively. The enzyme adds isopentenyl diphosphate molecules sequentially to farnesyl diphosphate with trans stereochemistry. May play a role during cerebellar development. May regulate mitochondrial respiratory chain function.
-
基因功能參考文獻:
- Results indicate PDSS2 gene which regulates coffee consumption by regulating the expression of the genes linked to caffeine metabolism. PMID: 27561104
- PDSS2 encodes a putative tumor suppressor, and its expression is regulated by hypermethylation of its promoter in gastric cancer cells. PMID: 25330808
- Decreased PDSS2 expression is an unfavorable prognostic factor for hepatocellular carcinoma, and PDSS2 has potent anticancer activity in HCC tissues and HepG2 cells. PMID: 25780306
- Decreased PDSS2 mRNA levels were detected in HCC tissues of 56 patients, correlated with shorter disease-specific survival, and was identified as an independent prognostic factor PMID: 25189544
- PDSS2 has tumor-suppressing activity in human lung cancer cells by enhancing apoptosis and inhibiting tumorigenic capacity. PMID: 24608273
- Human PDSS2 polymorphisms are associated with podocyte diseases. A deficiency of coenzyme Q10 is manifested in lymphoblastoid cell lines derived from focal segmental glomerulosclerosis patients. PMID: 23926186
- Loss of PDSS2 expression is associated with non-small cell lung cancer. PMID: 23312889
- Data show that expression of either dlp1 or dps1 recovered the thermo-sensitive growth of an E. coli ispB(R321A) mutant and restored IspB activity and production of Coenzyme Q-8. PMID: 20051244
- murine and human solanesyl and decaprenyl diphosphate synthases are heterotetramers composed of newly characterized hDPS1 (mSPS1) and hDLP1 (mDLP1). PMID: 16262699
- Expression of PDSS2 is downregulated in human gastric cancer. PDSS2 may be a potent gastric cancer growth suppressor in vitro acting through apoptosis pathways. PMID: 19209031
顯示更多
收起更多
-
相關疾病:Coenzyme Q10 deficiency, primary, 3 (COQ10D3)
-
亞細胞定位:Mitochondrion.
-
蛋白家族:FPP/GGPP synthase family
-
數據庫鏈接:
Most popular with customers
-
-
YWHAB Recombinant Monoclonal Antibody
Applications: ELISA, WB, IHC, IF, FC
Species Reactivity: Human, Mouse, Rat
-
Phospho-YAP1 (S127) Recombinant Monoclonal Antibody
Applications: ELISA, WB, IHC
Species Reactivity: Human
-
-
-
-
-















