PDLIM7 Antibody
-
中文名稱:PDLIM7兔多克隆抗體
-
貨號:CSB-PA697080
-
規格:¥1100
-
圖片:
-
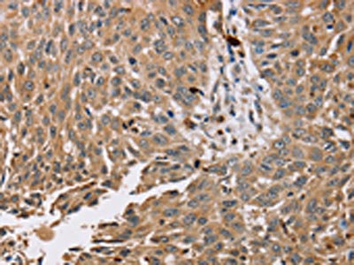
The image on the left is immunohistochemistry of paraffin-embedded Human lung cancer tissue using CSB-PA697080(PDLIM7 Antibody) at dilution 1/35, on the right is treated with fusion protein. (Original magnification: ×200)
-
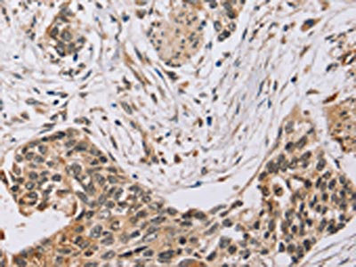
The image on the left is immunohistochemistry of paraffin-embedded Human esophagus cancer tissue using CSB-PA697080(PDLIM7 Antibody) at dilution 1/35, on the right is treated with fusion protein. (Original magnification: ×200)
-
-
其他:
產品詳情
-
Uniprot No.:
-
基因名:PDLIM7
-
宿主:Rabbit
-
反應種屬:Human,Mouse,Rat
-
免疫原:Fusion protein of Human PDLIM7
-
免疫原種屬:Homo sapiens (Human)
-
標記方式:Non-conjugated
-
抗體亞型:IgG
-
純化方式:Antigen affinity purification
-
濃度:It differs from different batches. Please contact us to confirm it.
-
保存緩沖液:-20°C, pH7.4 PBS, 0.05% NaN3, 40% Glycerol
-
產品提供形式:Liquid
-
應用范圍:ELISA,IHC
-
推薦稀釋比:
Application Recommended Dilution ELISA 1:2000-1:5000 IHC 1:50-1:200 -
Protocols:
-
儲存條件:Upon receipt, store at -20°C or -80°C. Avoid repeated freeze.
-
貨期:Basically, we can dispatch the products out in 1-3 working days after receiving your orders. Delivery time maybe differs from different purchasing way or location, please kindly consult your local distributors for specific delivery time.
-
用途:For Research Use Only. Not for use in diagnostic or therapeutic procedures.
相關產品
靶點詳情
-
功能:May function as a scaffold on which the coordinated assembly of proteins can occur. May play a role as an adapter that, via its PDZ domain, localizes LIM-binding proteins to actin filaments of both skeletal muscle and nonmuscle tissues. Involved in both of the two fundamental mechanisms of bone formation, direct bone formation (e.g. embryonic flat bones mandible and cranium), and endochondral bone formation (e.g. embryonic long bone development). Plays a role during fracture repair. Involved in BMP6 signaling pathway.
-
亞細胞定位:Cytoplasm. Cytoplasm, cytoskeleton.
-
組織特異性:Isoform 1 and isoform 2 are expressed ubiquitously, however, isoform 2 predominates in skeletal muscle, isoform 1 is more abundant in lung, spleen, leukocytes and fetal liver.
-
數據庫鏈接:
Most popular with customers
-
-
YWHAB Recombinant Monoclonal Antibody
Applications: ELISA, WB, IHC, IF, FC
Species Reactivity: Human, Mouse, Rat
-
Phospho-YAP1 (S127) Recombinant Monoclonal Antibody
Applications: ELISA, WB, IHC
Species Reactivity: Human
-
-
-
-
-















