PDLIM4 Antibody
-
中文名稱:PDLIM4兔多克隆抗體
-
貨號:CSB-PA287378
-
規格:¥1100
-
圖片:
-
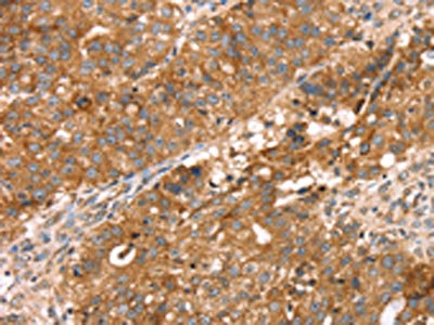
The image on the left is immunohistochemistry of paraffin-embedded Human breast cancer tissue using CSB-PA287378(PDLIM4 Antibody) at dilution 1/30, on the right is treated with fusion protein. (Original magnification: ×200)
-
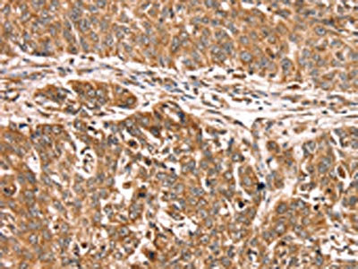
The image on the left is immunohistochemistry of paraffin-embedded Human lung cancer tissue using CSB-PA287378(PDLIM4 Antibody) at dilution 1/30, on the right is treated with fusion protein. (Original magnification: ×200)
-
Gel: 8%SDS-PAGE, Lysate: 40 μg, Lane: A431 cells, Primary antibody: CSB-PA287378(PDLIM4 Antibody) at dilution 1/400, Secondary antibody: Goat anti rabbit IgG at 1/8000 dilution, Exposure time: 3 seconds
-
-
其他:
產品詳情
-
Uniprot No.:
-
基因名:PDLIM4
-
別名:Enigma homolog antibody; LIM domain protein antibody; LIM domain protein RIL antibody; LIM protein RIL antibody; PDLI4_HUMAN antibody; PDLIM 4 antibody; PDLIM4 antibody; PDZ and LIM domain 4 antibody; PDZ and LIM domain protein 4 antibody; Reversion induced LIM protein antibody; Reversion-induced LIM protein antibody
-
宿主:Rabbit
-
反應種屬:Human,Mouse,Rat
-
免疫原:Fusion protein of Human PDLIM4
-
免疫原種屬:Homo sapiens (Human)
-
標記方式:Non-conjugated
-
抗體亞型:IgG
-
純化方式:Antigen affinity purification
-
濃度:It differs from different batches. Please contact us to confirm it.
-
保存緩沖液:-20°C, pH7.4 PBS, 0.05% NaN3, 40% Glycerol
-
產品提供形式:Liquid
-
應用范圍:ELISA,WB,IHC
-
推薦稀釋比:
Application Recommended Dilution ELISA 1:1000-1:2000 WB 1:200-1:1000 IHC 1:25-1:100 -
Protocols:
-
儲存條件:Upon receipt, store at -20°C or -80°C. Avoid repeated freeze.
-
貨期:Basically, we can dispatch the products out in 1-3 working days after receiving your orders. Delivery time maybe differs from different purchasing way or location, please kindly consult your local distributors for specific delivery time.
-
用途:For Research Use Only. Not for use in diagnostic or therapeutic procedures.
相關產品
靶點詳情
-
功能:Suppresses SRC activation by recognizing and binding to active SRC and facilitating PTPN13-mediated dephosphorylation of SRC 'Tyr-419' leading to its inactivation. Inactivated SRC dissociates from this protein allowing the initiation of a new SRC inactivation cycle. Involved in reorganization of the actin cytoskeleton. In nonmuscle cells, binds to ACTN1 (alpha-actinin-1), increases the affinity of ACTN1 to F-actin (filamentous actin), and promotes formation of actin stress fibers. Involved in regulation of the synaptic AMPA receptor transport in dendritic spines of hippocampal pyramidal neurons directing the receptors toward an insertion at the postsynaptic membrane. Links endosomal surface-internalized GRIA1-containing AMPA receptors to the alpha-actinin/actin cytoskeleton. Increases AMPA receptor-mediated excitatory postsynaptic currents in neurons.; Involved in reorganization of the actin cytoskeleton and in regulation of cell migration. In response to oxidative stress, binds to NQO1, which stabilizes it and protects it from ubiquitin-independent degradation by the core 20S proteasome. Stabilized protein is able to heterodimerize with isoform 1 changing the subcellular location of it from cytoskeleton and nuclei to cytosol, leading to loss of isoforms 1 ability to induce formation of actin stress fibers. Counteracts the effects produced by isoform 1 on organization of actin cytoskeleton and cell motility to fine-tune actin cytoskeleton rearrangement and to attenuate cell migration.
-
基因功能參考文獻:
- Methylation of HIN-1, RASSF1A, RIL and CDH13 in breast cancers was associated with clinical characteristics, but only RASSF1A methylation was associated with time to first recurrence and overall survival. PMID: 22695491
- Actin cytoskeleton remodeling by the alternatively spliced isoform of PDLIM4/RIL protein. PMID: 21636573
- RIL and its variant sequences may be an important determinant of osteoporosis PMID: 12908099
- Ril modulates actin stress fiber turnover and enhances the association with actinin and actins. PMID: 14729062
- Results showed that the hypermethylation of PDLIM4 gene could be used as a sensitive molecular tool in detection of prostate. PMID: 16489065
- RIL methylation is a marker of adverse prognosis independent of chromosome 5 and 7 deletions. PMID: 17332327
- several genes that are known to be regulated by DNA methylation were up-regulated dramatically by integrin alpha6beta4 expression, including S100A4, FST, PDLIM4, CAPG, and Nkx2.2. PMID: 19011242
- PDLIM4 may function as a tumor suppressor, involved in the control of cell proliferation by associating with actin in prostate cancer cells. PMID: 19212833
- Reversion-induced LIM interaction with Src reveals a novel Src inactivation cycle. PMID: 19307596
顯示更多
收起更多
-
亞細胞定位:[Isoform 1]: Cytoplasm, cytoskeleton. Nucleus. Cytoplasm. Cytoplasm, perinuclear region. Cell projection, lamellipodium. Cell projection, dendritic spine. Early endosome membrane; Peripheral membrane protein; Cytoplasmic side. Recycling endosome membrane; Peripheral membrane protein; Cytoplasmic side. Cell junction, synapse, synaptosome.; [Isoform 2]: Cytoplasm.
-
組織特異性:[Isoform 2]: Found in brain.
-
數據庫鏈接:
Most popular with customers
-
-
YWHAB Recombinant Monoclonal Antibody
Applications: ELISA, WB, IHC, IF, FC
Species Reactivity: Human, Mouse, Rat
-
Phospho-YAP1 (S127) Recombinant Monoclonal Antibody
Applications: ELISA, WB, IHC
Species Reactivity: Human
-
-
-
-
-















