PDLIM2 Antibody
-
中文名稱:PDLIM2兔多克隆抗體
-
貨號:CSB-PA137424
-
規格:¥1100
-
圖片:
-
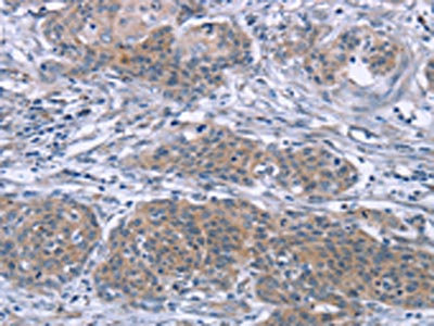
The image on the left is immunohistochemistry of paraffin-embedded Human cervical cancer tissue using CSB-PA137424(PDLIM2 Antibody) at dilution 1/20, on the right is treated with fusion protein. (Original magnification: ×200)
-
Gel: 8%SDS-PAGE, Lysate: 40 μg, Lane: Mouse liver tissue, Primary antibody: CSB-PA137424(PDLIM2 Antibody) at dilution 1/250, Secondary antibody: Goat anti rabbit IgG at 1/8000 dilution, Exposure time: 3 minutes
-
-
其他:
產品詳情
-
Uniprot No.:
-
基因名:PDLIM2
-
別名:FLJ34715 antibody; MYSTIQUE antibody; OTTHUMP00000162522 antibody; OTTHUMP00000205197 antibody; OTTHUMP00000205198 antibody; OTTHUMP00000205199 antibody; OTTHUMP00000205200 antibody; OTTHUMP00000205202 antibody; OTTHUMP00000205203 antibody; PDLI2_HUMAN antibody; Pdlim2 antibody; PDZ and LIM domain 2 (mystique) antibody; PDZ and LIM domain protein 2 antibody; PDZ-LIM protein mystique antibody; SLIM antibody; Stat-interacting LIM protein antibody
-
宿主:Rabbit
-
反應種屬:Human,Mouse
-
免疫原:Fusion protein of Human PDLIM2
-
免疫原種屬:Homo sapiens (Human)
-
標記方式:Non-conjugated
-
抗體亞型:IgG
-
純化方式:Antigen affinity purification
-
濃度:It differs from different batches. Please contact us to confirm it.
-
保存緩沖液:Liquid in PBS containing 50% glycerol, 0.5% BSA and 0.02% sodium azide.
-
產品提供形式:Liquid
-
應用范圍:ELISA,WB
-
推薦稀釋比:
Application Recommended Dilution ELISA 1:1000-1:2000 WB 1:200-1:1000 -
Protocols:
-
儲存條件:Upon receipt, store at -20°C or -80°C. Avoid repeated freeze.
-
貨期:Basically, we can dispatch the products out in 1-3 working days after receiving your orders. Delivery time maybe differs from different purchasing way or location, please kindly consult your local distributors for specific delivery time.
-
用途:For Research Use Only. Not for use in diagnostic or therapeutic procedures.
相關產品
靶點詳情
-
功能:Probable adapter protein located at the actin cytoskeleton that promotes cell attachment. Necessary for the migratory capacity of epithelial cells. Overexpression enhances cell adhesion to collagen and fibronectin and suppresses anchorage independent growth. May contribute to tumor cell migratory capacity.
-
基因功能參考文獻:
- The results showed that (i) the use of SPR chip led to comparable data compared to on-column streptavidin beads, (ii) gravity flow and microflow in wash and elution steps provided better results than centrifugation, and (iii) type and concentration of detergent did not significantly affect the interactome data of cancer-associated PDLIM2. PMID: 30194080
- We conclude that inactivation of PDLIM2 is a recurrent finding in cHL and ALCL, promotes activation of inflammatory signaling pathways and thereby contributes to their pathogenesis PMID: 27538486
- Data show that shRNA mediated knockdown of PDZ and LIM domain protein 2 (PDLIM2) in both primary meningioma and schwannoma leads to significant reductions in cellular proliferation. PMID: 28126595
- PDLIM2 is epigenetically repressed in ovarian cancer development and inhibition of PDLIM2 promoted ovarian cancer growth both in vivo and in vitro via NOS2-derived nitric oxide signaling, leading to recruitment of M2 type macrophages. PMID: 26593252
- The suppression of PDLIM2 expression significantly reduced cell proliferation, cell growth and neoplasm invasiveness in prostate cancer cells. PMID: 26499308
- epigenetic repression of PDLIM2 can be reversed by 5-aza-2-deoxycytidine and vitamin D to suppress KSHV-associated cancer cell growth PMID: 25681443
- PDLIM2 expression is essential for feedback regulation of the beta1-integrin-RhoA signalling axis and integration of cellular microenvironment signals with gene expression to control the polarity of breast epithelial acini structures. PMID: 24863845
- PDLIM2 integrates cytoskeleton signaling with gene expression in epithelial differentiation by controlling the stability of key transcription factors and COP9 signalosome activity. PMID: 24196835
- PDLIM2 was a direct target gene of 1,25(OH)2D3 PMID: 23584482
- Pdlim2 is a novel actin-regulating protein of podocyte foot processes that may have a role in the pathogenesis of glomerular diseases. PMID: 21814175
- PDLIM2 binds to Tax directly, which was mediated by a putative alpa-helix motif of PDLIM2 at amino acids 236-254. PMID: 20838382
- PDLIM2, an essential terminator of NF-kappaB activation, is repressed in both estrogen receptor-positive and estrogen receptor-negative breast cancer cells, suggesting one important mechanism for the constitutive activation of NF-kappaB. PMID: 20185823
- Data show that the PDLIM2 repression was independent of the viral regulatory protein Tax because neither short-term induction nor long-term stable expression of Tax could downregulate PDLIM2 expression. PMID: 19794962
- Knockdown of Mystique 2 with small interfering RNA abrogated both adhesion and migration in MCF10A and MCF-7 cells PMID: 15659642
- PDLIM2 deficiency resulted in larger amounts of nuclear p65, defective p65 ubiquitination and augmented production of proinflammatory cytokines in response to innate stimuli PMID: 17468759
- Suppression of PDLIM2 expression resulted in decreased cell adhesion, increased NF-kappaB transcription reporter activity, and increased LPS-induced TNF-alpha production. PMID: 19052146
顯示更多
收起更多
-
亞細胞定位:Cytoplasm. Nucleus. Note=May be partially nuclear.; [Isoform 1]: Cytoplasm, cytoskeleton. Note=Colocalizes with beta-1 integrin (ITGB1) and alpha-actinin but not with paxillin (PXN).; [Isoform 2]: Cytoplasm, cytoskeleton.; [Isoform 3]: Nucleus.
-
數據庫鏈接:
Most popular with customers
-
-
Phospho-YAP1 (S127) Recombinant Monoclonal Antibody
Applications: ELISA, WB, IHC
Species Reactivity: Human
-
-
-
-
-
-















