PDE8A Antibody
-
中文名稱:PDE8A兔多克隆抗體
-
貨號:CSB-PA525315LA01HU
-
規格:¥440
-
圖片:
-
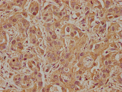
IHC image of CSB-PA525315LA01HU diluted at 1:100 and staining in paraffin-embedded human liver cancer performed on a Leica BondTM system. After dewaxing and hydration, antigen retrieval was mediated by high pressure in a citrate buffer (pH 6.0). Section was blocked with 10% normal goat serum 30min at RT. Then primary antibody (1% BSA) was incubated at 4°C overnight. The primary is detected by a biotinylated secondary antibody and visualized using an HRP conjugated SP system.
-
Immunofluorescence staining of HepG2 cells with CSB-PA525315LA01HU at 1:50, counter-stained with DAPI. The cells were fixed in 4% formaldehyde, permeabilized using 0.2% Triton X-100 and blocked in 10% normal Goat Serum. The cells were then incubated with the antibody overnight at 4°C. The secondary antibody was Alexa Fluor 488-congugated AffiniPure Goat Anti-Rabbit IgG(H+L).
-
-
其他:
產品詳情
-
產品名稱:Rabbit anti-Homo sapiens (Human) PDE8A Polyclonal antibody
-
Uniprot No.:
-
基因名:PDE8A
-
別名:5''-cyclic phosphodiesterase 8A antibody; cAMP specific cyclic nucleotide phosphodiesterase 8A antibody; FLJ16150 antibody; High affinity cAMP specific and IBMX insensitive 3'5' cyclic phosphodiesterase 8A antibody; High affinity cAMP-specific and IBMX-insensitive 3'' antibody; HsT19550 antibody; PDE 8A antibody; PDE8A antibody; PDE8A_HUMAN antibody; Phosphodiesterase 8A antibody; Phosphodiesterase8A antibody; Weakly similar to 3'5' cyclic nucleotide phosphodiesterase antibody
-
宿主:Rabbit
-
反應種屬:Human
-
免疫原:Recombinant Human High affinity cAMP-specific and IBMX-insensitive 3',5'-cyclic phosphodiesterase 8A protein (596-829AA)
-
免疫原種屬:Homo sapiens (Human)
-
標記方式:Non-conjugated
本頁面中的產品,PDE8A Antibody (CSB-PA525315LA01HU),的標記方式是Non-conjugated。對于PDE8A Antibody,我們還提供其他標記。見下表:
-
克隆類型:Polyclonal
-
抗體亞型:IgG
-
純化方式:Antigen Affinity Purified
-
濃度:It differs from different batches. Please contact us to confirm it.
-
保存緩沖液:Preservative: 0.03% Proclin 300
Constituents: 50% Glycerol, 0.01M PBS, pH 7.4 -
產品提供形式:Liquid
-
應用范圍:ELISA, IHC, IF
-
推薦稀釋比:
Application Recommended Dilution IHC 1:20-1:200 IF 1:50-1:200 -
Protocols:
-
儲存條件:Upon receipt, store at -20°C or -80°C. Avoid repeated freeze.
-
貨期:Basically, we can dispatch the products out in 1-3 working days after receiving your orders. Delivery time maybe differs from different purchasing way or location, please kindly consult your local distributors for specific delivery time.
-
用途:For Research Use Only. Not for use in diagnostic or therapeutic procedures.
相關產品
靶點詳情
-
功能:Hydrolyzes the second messenger cAMP, which is a key regulator of many important physiological processes. May be involved in maintaining basal levels of the cyclic nucleotide and/or in the cAMP regulation of germ cell development. Binding to RAF1 reduces RAF1 'Ser-259' inhibitory-phosphorylation and stimulates RAF1-dependent EGF-activated ERK-signaling. Protects against cell death induced by hydrogen peroxide and staurosporine.
-
基因功能參考文獻:
- SNPs within genes SCHIP1 and PDE8A were associated with measures of facial size in both the GWAS and replication cohorts and passed a stringent genomewide significance threshold adjusted for multiple testing of 34 correlated traits. For both SCHIP1 and PDE8A, we demonstrated clear expression in the developing mouse face by both whole-mount in situ hybridization and RNA-seq PMID: 27560698
- PDE8A supports HIV-1 replication in macrophages PMID: 25295610
- a novel and critical role for phosphodiesterases in moderating local concentrations of cAMP in microdomains and signal resetting PMID: 25229150
- PDE8A can bind tightly to Raf-1, regulate Raf-1 phosphorylation on S259, and, in so doing, regulate the cross-talk node whereby cAMP exerts an inhibitory effect on Raf-1 signaling, retarding subsequent ERK phosphorylation and activation. PMID: 23509299
- PDE8 activity can be modulated by a kinase PMID: 22673573
- Polymorphism in PDE8A affects HIV-1 replication in primary macrophages. PMID: 21920574
- Comparison of enzymatic characterization and gene organization of PDE8B and PDE8A. PMID: 12681444
- in vitro and in vivo experiments demonstrated that the association with IkappaB greatly enhanced the enzyme activity of PDE8A1 PMID: 15596729
- kinetic properties of the highly active PDE8A1 catalytic domain prepared from refolding and its crystal structures in the unliganded and 3-isobutyl-1-methylxanthine (IBMX) bound forms at 1.9 and 2.1 A resolutions PMID: 18983167
- The findings exclude a significant role for PDE8A as a PCOS candidate gene, and as a Las major determinant of androgen levels in women. PMID: 19482904
顯示更多
收起更多
-
蛋白家族:Cyclic nucleotide phosphodiesterase family, PDE8 subfamily
-
組織特異性:Expressed in most tissues except thymus and peripheral blood leukocytes. Highest levels in testis, ovary, small intestine and colon.
-
數據庫鏈接:
Most popular with customers
-
-
Phospho-YAP1 (S127) Recombinant Monoclonal Antibody
Applications: ELISA, WB, IHC
Species Reactivity: Human
-
-
-
-
-
-















