PDE4D Antibody
-
中文名稱:PDE4D兔多克隆抗體
-
貨號:CSB-PA048149
-
規格:¥1100
-
圖片:
-
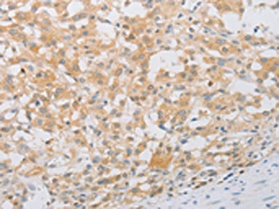
The image on the left is immunohistochemistry of paraffin-embedded Human gastic cancer tissue using CSB-PA048149(PDE4D Antibody) at dilution 1/20, on the right is treated with fusion protein. (Original magnification: ×200)
-
The image on the left is immunohistochemistry of paraffin-embedded Human thyroid cancer tissue using CSB-PA048149(PDE4D Antibody) at dilution 1/20, on the right is treated with fusion protein. (Original magnification: ×200)
-
Gel: 8%SDS-PAGE, Lysate: 40 μg, Lane 1-5: Human bladder carcinoma tissue, Human brain malignant glioma tissue, A172 cells, human fetal brain tissue, hela cells, Primary antibody: CSB-PA048149(PDE4D Antibody) at dilution 1/450, Secondary antibody: Goat anti rabbit IgG at 1/8000 dilution, Exposure time: 10 seconds
-
-
其他:
產品詳情
-
Uniprot No.:
-
基因名:
-
別名:cAMP specific 3',5' cyclic phosphodiesterase 4D antibody; DKFZp686M11213 antibody; 5''-cyclic phosphodiesterase 4D antibody; cAMP specific phosphodiesterase 4D antibody; cAMP specific phosphodiesterase PDE4D6 antibody; cAMP-specific 3'' antibody; DPDE3 antibody; Dunce like phosphodiesterase E3 antibody; FLJ97311 antibody; HSPDE4D antibody; PDE43 antibody; Pde4d antibody; PDE4D_HUMAN antibody; PDE4DN2 antibody; Phosphodiesterase 4D cAMP specific (dunce (Drosophila) homolog phosphodiesterase E3) antibody; Phosphodiesterase 4D cAMP specific (phosphodiesterase E3 dunce homolog Drosophila) antibody; Phosphodiesterase 4D cAMP specific antibody; Phosphodiesterase 4D; cAMP specific (dunce) antibody; STRK1 antibody
-
宿主:Rabbit
-
反應種屬:Human
-
免疫原:Fusion protein of Human PDE4D
-
免疫原種屬:Homo sapiens (Human)
-
標記方式:Non-conjugated
-
抗體亞型:IgG
-
純化方式:Antigen affinity purification
-
濃度:It differs from different batches. Please contact us to confirm it.
-
保存緩沖液:-20°C, pH7.4 PBS, 0.05% NaN3, 40% Glycerol
-
產品提供形式:Liquid
-
應用范圍:ELISA,WB,IHC
-
推薦稀釋比:
Application Recommended Dilution ELISA 1:2000-1:5000 WB 1:500-1:2000 IHC 1:25-1:100 -
Protocols:
-
儲存條件:Upon receipt, store at -20°C or -80°C. Avoid repeated freeze.
-
貨期:Basically, we can dispatch the products out in 1-3 working days after receiving your orders. Delivery time maybe differs from different purchasing way or location, please kindly consult your local distributors for specific delivery time.
-
用途:For Research Use Only. Not for use in diagnostic or therapeutic procedures.
相關產品
靶點詳情
-
功能:Hydrolyzes the second messenger cAMP, which is a key regulator of many important physiological processes.
-
基因功能參考文獻:
- PDE4D polymorphism is associated with Gastric and esophageal cancer. PMID: 30202044
- In Pseudohypoparathyroidism, mutations were found in PRKAR1A, PDE4D, TRPS1, and PTHLH. PMID: 29499646
- TT genotype of SNP87 in PDE4D was associated with an increased risk for 3-month unfavorable outcome after total ischemic stroke, as well as stroke due to large-artery atherosclerosis and small-artery occlusion, in a Chinese population. PMID: 28225001
- SNP 83 of PDE4D gene may increase the risk for developing ischemic stroke whereas SNP 87 and SNP45 of PDE4D may not be associated with the risk of ischemic stroke in the North Indian population PMID: 28562233
- Results provide new information concerning the mechanism whereby the mutations identified in the ACRDYS2 dysregulate PDE4D activity, and give insights into rare diseases involving the cAMP signaling pathway. PMID: 29016851
- This supports PDE4D5 and RACK1 as potential regulators of cell adhesion, spreading and migration through the non-classical exchange protein activated by cyclic AMP (EPAC1)/Rap1 signalling route PMID: 28069443
- PDE4D isoform composition is altered in localized prostate cancer and it can be used both as a diagnostic as well as a prognostic biomarker. PMID: 27683107
- Genetic analysis identified the identical, novel heterozygous missense mutation of the PDE4D gene c.569C>T (p.Ser190Phe) in two patients in same family. This case illustrates the significant phenotypic variability of acrodysostosis even within one family with identical mutations. PMID: 28515031
- The key residues involved in the interaction with a number of in-house catechol iminoether derivatives, acting as PDE4DIs. PMID: 27546041
- Screening of PRKAR1A and PDE4D in a Large Italian Series of Patients Clinically Diagnosed With Albright Hereditary Osteodystrophy and/or Pseudohypoparathyroidism PMID: 26763073
- p53 induced the transcription of miR-139-5p, which in turn suppressed the protein levels of phosphodiesterase 4D (PDE4D), an oncogenic protein involved in multiple tumor promoting processes. PMID: 27383270
- High PDE4D expression is associated with melanoma. PMID: 28092671
- cells on fibronectin suppressed cAMP via enhanced phosphodiesterase (PDE) activity, through direct binding of integrin alpha5 to phosphodiesterase-4D5 PMID: 27595237
- we performed a meta-analysis of 15 studies, involving 8731 IS patients and 10,756 controls. The results showed nonsignificant association between PDE4D SNP56 and IS risk (T vs. A: OR=1.01, 95%CI=0.88-1.15, P=0.90). Similarly, in the subgroup analysis by ethnicity, no significant association was observed in Asian (T vs. A: OR=1.08, 95%CI=0.80-1.44, P=0.62) or European (T vs. A: OR=0.96, 95%CI=0.86-1.08, P=0.54) population. PMID: 27759001
- Results support an important association of rs966221 and rs12188950 minor allele and its interaction with increased risk of ischemic stroke risk, and additional interaction between rs966221 and smoking PMID: 28191858
- RACK1 and beta-arrestin2 inhibit the dimerization of PDE4D5. PMID: 26257302
- PDE4D acts to allow cAMP-elevating agents to regulate VECADs' role as a sensor of flow-associated fluid shear stress (FSS)-encoded information in arterial endothelial cells. PMID: 26658094
- PDE4D gene polymorphisms influence the susceptibility for the development of Sudden Sensorineural Hearing Loss in the southern Taiwanese female population. PMID: 26521189
- focus on recent progress made in PDE4D gene research involving genetic and molecular aspects (review) PMID: 26004910
- No association was found between single-nucleotide polymorphisms of ALOX5AP or PDE4D and the risk of overall ischemic stroke in a southeastern Chinese population. PMID: 24485247
- While prior studies have found an association between PDE4D and IL6R polymorphisms and ischemic stroke, the results of this study suggest that this association may be different in a hypertensive population. PMID: 26782593
- This review show PDE4D mutation is a risk factor for atrial fibrillation and stroke. PMID: 26671126
- In this article, we review the role of the cAMP signal transduction pathway in memory formation with a particular focus on the recent progress in PDE4D research PMID: 26211680
- Aberrant DNA methylation of PDE4D promoter alters airway smooth muscle cell phenotypes. PMID: 26181301
- PDE4D interacts directly with Neuropilins, positive regulators of Hedgehog signal transduction pathway. PMID: 26371509
- results suggest that the rs918592 and rs2910829 polymorphisms and haplotypes of PDE4D gene are significantly associated with ischemic stroke in Chinese young population. PMID: 23466835
- The increase in the C allele frequency at 87 single nucleotide polymorphism sites in PDE4D may increase ischemic stroke risk. PMID: 26345966
- Data highlight an increase in PDE4D7 expression during initial tumorigenesis and further support the findings that PDE4D7 levels fall profoundly in castration resistant prostate cancer, suggesting it as a potential biomarker and therapeutic target. PMID: 26575822
- Critical residues stabilising PDE4D5 dimerization were defined within the regulatory UCR1 region found in long, but not short, PDE4 isoforms, namely the Arg(173), Asn(174) and Asn(175) (DD1) cluster. PMID: 25546709
- These studies suggest the pharmacologic inhibition of PDE4D using small-molecule inhibitors is an effective option for prostate cancer therapy. PMID: 25149359
- This result supports that PDE4D polymorphisms might be involved in the susceptibility to COPD especially in non-emphysematous individuals and that they could also affect the responsiveness of the PDE4 inhibitor treatment. PMID: 24926854
- structural analysis of the autoinhibited conformation of PDE4 PMID: 25775568
- The knockdown of PDE4D gene expression inhibited proliferation of STK11-mutated lung cancer lines. Furthermore, challenge with a panel of PDE4-specific inhibitors was shown to selectively reduce the growth of STK11-mutated lung cancer lines. PMID: 25122068
- specific inhibitory PDE4D mutations can lead to the molecular pathology of acrodysostosis without hormone resistance but that the pathological phenotype may well be dependent on an over-compensatory induction of other PDE4 isoforms PMID: 25064455
- PDE3A1 and PDE4D3 are integrated into complexes that contain the 5-HT4(b) receptor and may thereby regulate 5-HT4(b) receptor-mediated signaling. PMID: 25101859
- PKA phosphorylation of the PDE4D7 N-terminus appears to occur constitutively and inhibits PDE4 activity to allow cAMP signalling under basal conditions. PMID: 25680530
- This study found an association between SNP83 and ischemic stroke in the overall population and in the Asian and Chinese populations, but not among Caucasians. PMID: 24365247
- haploinsufficiency of PDE4D results in a novel intellectual disability syndrome, the 5q12.1-haploinsufficiency syndrome, with several opposing features compared with acrodysostosis that is caused by dominant negative mutations. PMID: 24203977
- Patients with the C/C genotype of SNP 83 exhibited significantly more cognitive dysfunction at 1 day (29.7%) than the C/T (15.8%, P = .008) and T/T (12.7%, P = .01) genotypes. PMID: 23863764
- Multiple factors contribute to the pathogenesis of nasal polyps including genetic predisposition. The PDE4D family has gained interest in the complex pathogenesis of nasal polyposis. This is likely linked to the mucosal inflammatory response. PMID: 24142618
- results suggest that SNP 83 in PDE4D gene is significantly associated with susceptibility to ischemic stroke in Chinese population PMID: 23799094
- PDE4D gene variants 83 and 87 did not show any significant association with coronaary heart disease, but may indirectly associate with risk agents of CHD> PMID: 23852788
- research analyzed association of rs702553 with baseline mean arterial blood pressure in a subset of the African American Study of Kidney Disease and Hypertension Cohort; compared with participants with AA/AT genotypes, those with a TT genotype at rs702553 had significantly lower baseline MAP among study participants on a diuretic PMID: 23778321
- Comparative analysis of the binding responses of mutations to mAKAP could provide important information about how these mutations modulate PKA and PDE4D3 signaling. PMID: 23806656
- PDE4D5-beta-arrestin2 complex allowed the recruitment of Epac1 to beta2AR and induced a switch from beta2AR non-hypertrophic signaling to a beta1AR-like pro-hypertrophic signaling cascade. PMID: 23266473
- although targeted by genomic homozygous microdeletions, PDE4D functions as a tumor-promoting factor and represents a unique targetable enzyme of cancer cells PMID: 23536305
- An increased frequency of phosphodiesterase 4D TT genotype is associated with risk of myocardial infarction in men over 60 years old. PMID: 23786009
- Data indicate that missense mutations were identified in all acrodysostosis patients. PMID: 23033274
- Single nucleotide polymorphisms in PDE4D is associated with response to antipsychotic agents in schizophrenia. PMID: 23241943
- Data indicate that single-nucleotide polymorphisms (SNPs) in 5-lipoxygenase activating protein (ALOX5AP), phosphodiesterase 4D (PDE4D), and interleukin-1alpha (IL-1alpha) were associated with an increased risk of atherothrombotic stroke (ATS) in Chinese. PMID: 23076369
顯示更多
收起更多
-
相關疾?。?/div>Acrodysostosis 2, with or without hormone resistance (ACRDYS2)亞細胞定位:Apical cell membrane. Cytoplasm. Membrane. Cytoplasm, cytoskeleton. Cytoplasm, cytoskeleton, microtubule organizing center, centrosome.蛋白家族:Cyclic nucleotide phosphodiesterase family, PDE4 subfamily組織特異性:Expressed in colonic epithelial cells (at protein level). Widespread; most abundant in skeletal muscle. Isoform 6 is detected in brain. Isoform 8 is detected in brain, placenta, lung and kidney. Isoform 7 is detected in heart and skeletal muscle.數據庫鏈接:
Most popular with customers
-
-
YWHAB Recombinant Monoclonal Antibody
Applications: ELISA, WB, IHC, IF, FC
Species Reactivity: Human, Mouse, Rat
-
Phospho-YAP1 (S127) Recombinant Monoclonal Antibody
Applications: ELISA, WB, IHC
Species Reactivity: Human
-
-
-
-
-















