PDCD10 Antibody
-
中文名稱:PDCD10兔多克隆抗體
-
貨號:CSB-PA861141HA01HU
-
規格:¥440
-
圖片:
-
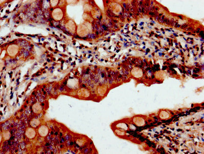
IHC image of CSB-PA861141HA01HU diluted at 1:800 and staining in paraffin-embedded human small intestine tissue performed on a Leica BondTM system. After dewaxing and hydration, antigen retrieval was mediated by high pressure in a citrate buffer (pH 6.0). Section was blocked with 10% normal goat serum 30min at RT. Then primary antibody (1% BSA) was incubated at 4°C overnight. The primary is detected by a biotinylated secondary antibody and visualized using an HRP conjugated SP system.
-
Immunofluorescence staining of HepG2 cells with CSB-PA861141HA01HU at 1:266, counter-stained with DAPI. The cells were fixed in 4% formaldehyde, permeabilized using 0.2% Triton X-100 and blocked in 10% normal Goat Serum. The cells were then incubated with the antibody overnight at 4°C. The secondary antibody was Alexa Fluor 488-congugated AffiniPure Goat Anti-Rabbit IgG(H+L).
-
-
其他:
產品詳情
-
產品名稱:Rabbit anti-Homo sapiens (Human) PDCD10 Polyclonal antibody
-
Uniprot No.:
-
基因名:PDCD10
-
別名:Apoptosis related protein 15 antibody; CCM3 antibody; Cerebral cavernous malformations 3 protein antibody; MGC1212 antibody; MGC24477 antibody; PDC10_HUMAN antibody; PDCD 10 antibody; PDCD10 antibody; Programmed cell death 10 antibody; Programmed cell death protein 10 antibody; TF 1 cell apoptosis related protein 15 antibody; TF-1 cell apoptosis-related protein 15 antibody; TFAR15 antibody
-
宿主:Rabbit
-
反應種屬:Human
-
免疫原:Recombinant Human Programmed cell death protein 10 protein (1-212AA)
-
免疫原種屬:Homo sapiens (Human)
-
標記方式:Non-conjugated
本頁面中的產品,PDCD10 Antibody (CSB-PA861141HA01HU),的標記方式是Non-conjugated。對于PDCD10 Antibody,我們還提供其他標記。見下表:
-
克隆類型:Polyclonal
-
抗體亞型:IgG
-
純化方式:>95%, Protein G purified
-
濃度:It differs from different batches. Please contact us to confirm it.
-
保存緩沖液:Preservative: 0.03% Proclin 300
Constituents: 50% Glycerol, 0.01M PBS, PH 7.4 -
產品提供形式:Liquid
-
應用范圍:ELISA, IHC, IF
-
推薦稀釋比:
Application Recommended Dilution IHC 1:500-1:1000 IF 1:200-1:500 -
Protocols:
-
儲存條件:Upon receipt, store at -20°C or -80°C. Avoid repeated freeze.
-
貨期:Basically, we can dispatch the products out in 1-3 working days after receiving your orders. Delivery time maybe differs from different purchasing way or location, please kindly consult your local distributors for specific delivery time.
-
用途:For Research Use Only. Not for use in diagnostic or therapeutic procedures.
相關產品
靶點詳情
-
功能:Promotes cell proliferation. Modulates apoptotic pathways. Increases mitogen-activated protein kinase activity and STK26 activity. Important for cell migration, and for normal structure and assembly of the Golgi complex. Important for KDR/VEGFR2 signaling. Increases the stability of KDR/VEGFR2 and prevents its breakdown. Required for normal cardiovascular development. Required for normal angiogenesis, vasculogenesis and hematopoiesis during embryonic development.
-
基因功能參考文獻:
- We showed that overexpression of PDCD10 significantly inhibited miR-103-induced inhibition of cell proliferation, increased apoptosis, and decreased invasion and migration in A549 cells. PMID: 28734041
- Data show that PDCD10 expression levels are high in bladder cancer (BC) tissues and seems to correlate with worse prognosis. PDCD10 is directly modulated by miR26a/miR26b as a target in BC cells. PDCD10 promotes BC cell proliferation in vitro and growth and progression of BC in vivo. PMID: 30272373
- Over-expression of PDCD10 in HeLa cells increased the resistance to doxorubicin. PMID: 29482058
- The identified endothelial signalling pathway of CCM3-DLL4/Notch-EphB4-Erk1/2 may provide an insight into mechanism of CCM3-ablation-mediated angiogenesis. PMID: 28371279
- Case-control study to investigate the possible association of others polymorphisms (c.485+65 C/G, c.989+63 C/G, c.1980 A/G in CCM1 gene, c.472+127 C/T in CCM2 and c.150 G/A in CCM3) with cerebral cavernous malformations. The five polymorphisms were characterized in 64 sporadic patients and in 90 healthy controls by ASO-PCR. Results suggest that some polymorphisms in CCM genes could play an important role in the disease. PMID: 28870584
- CCM3 restrains ANGPT2 release from endothelial cells and maintains endothelial junctions. CCM3 depletion leads to increased ANGPT2 release. PMID: 27548575
- Data indicated that rs9853967 and rs11714980 polymorphisms in CCM3 and SERPINI1respectively could be associated with a protective role in cerebral cavernous malformations disease. PMID: 27737651
- Inhibition of Notch and activation of VEGF/p38 signaling were involved in miR-425-5p/CCM3 mediated inhibition of angiogenesis by sodium arsenite. PMID: 27132035
- Loss of endothelial programmed cell death 10 activates glioblastoma cells and promotes tumor growth. PMID: 26254477
- Studies suggest that the 3 proteins of the Cerebral Cavernous Malformations (CCM) complex KRIT1/CCM1, CCM2/malcavernin and CCM3/PDCD10 not only require one another for reciprocal stabilization, but also act as a platform for signal transduction. PMID: 26356566
- Study highlights the potential role of CCM3 in regulating tight junction complex organization and brain endothelial barrier permeability through CCM3-ERK1/2-cortactin cross-talk PMID: 26385474
- A novel CCM3 missense mutation (c.422T>G) detected in 2 Greek brothers with cerebral cavernous malformations causes a loss of function in Pdcd10 protein due to its localization in the 8th helix. It affects Leu141. It may play a role in angiogenesis. PMID: 26115622
- The proto-oncogene PDCD10 is direct target of miR-103 that can suppress Prostate cancer proliferation and migration by down-regulating the PDCD10. PMID: 26771762
- We report for the first time that PDCD10 expression is downregulated in GBM, which is associated with the activation of Akt signaling protein PMID: 26490252
- miR-181b was upregulated by hypoxia in retinoblastoma in an HIF-1a-independent manner. Additionally, miR-181b exerts its angiogenic function, at least in part, by inhibiting PDCD10 and GATA6. PMID: 25872572
- Results broaden our knowledge on the mechanisms by which CCM3 deficiency results in disease and open new avenues of research into both CCM3 and senescence biology. PMID: 25655101
- Study shows that PDCD10 mutations result in vascular permeability mediated by ROCK activity and a particularly severe clinical phenotype of patients and mouse model for cerebral cavernous malformation disease. PMID: 25122144
- A causative mutation in the PDCD10 gene (p.Gln112PhefsX13) was identified in an Italian family with cerebral cavernous malformations associated with meningioma. PMID: 26246098
- DNA mutational analysis in 87 Italian affected individuals with Cerebral cavernous malformations identified mutations in over 97.7% of cases, and PDCD10/CCM3 mutations account for 13.1% four of which already known and four novel ones. PMID: 25354366
- both CCM2 and CCM3 are required for normal endothelial cell network formation. PMID: 25825518
- Identification of genetic variants in the CCM3/PDCD10 gene which are critical indicators of cerebral cavernous malformations in humans. PMID: 25451273
- Prevalence, frequency and characterization of CCM1, CCM2 and CCM3 variants in cerebral cavernous malformation Spanish patients. PMID: 24466005
- DNA sequencing and deletion/duplication testing of the CCM1, CCM2, and CCM3 genes in the proband revealed a CCM1 c.601CNG mutation. PMID: 24007869
- The identification of other four new mutations in 40 sporadic patients with either single or multiple cerebral cavernous malformations, is reported. PMID: 24058906
- CCM3 mutations are associated with cerebral cavernous malformation in some Japanese patients. PMID: 23485406
- Loss of CCM3 impairs DLL4-Notch signalling and is associated with impaired endothelial angiogenesis and inherited cerebral cavernous malformations. PMID: 23388056
- CCM3 forms a stable complex with MST4 in vivo to promote cell proliferation and migration synergistically in a manner dependent on MST4 kinase activity. PMID: 23541896
- crystal of the CCM3-MST4 C-terminal domain complex belonged to space group P4(1)2(1)2 or P4(3)2(1)2, with unit-cell parameters a = 69.10, b = 69.10, c = 117.57 A PMID: 22750858
- role of CCM3 and ezrin/radixin/moesin family of proteins in cell's response to oxidative stress PMID: 22291017
- A novel large CCM3 deletion is identified with typical magnetic resonance imaging in a patient and her daughter. PMID: 20623299
- the crystal structures of CCM3 in complex with three different leucine-aspartate repeat (LD) motifs (LD1, LD2, and LD4) from the scaffolding protein paxillin PMID: 21632544
- adenoviral CCM3 expression inhibits endothelial cell migration, proliferation, and tube formation while downregulation of endogenous CCM3 results in increased formation of tube-like structures PMID: 20862502
- Among familial cases of Cerebral cavernous malformations 67% had a mutation in CCM1, 5.5% in CCM2, and 5.5% in CCM3 PMID: 21029238
- Genetic variations could interfere with the proper CCM1/CCM2/CCM3 protein complex, thus explaining the observed clinical variability in cerebral cavernous malformations in a large family. PMID: 20419355
- PDCD10/CCM3 acts as a critical regulator of neuronal survival during development PMID: 21041308
- Study propose that the Cerebral cavernous malformations protein complex functions in the PI3K signaling pathway through the interaction between PDCD10 and PtdIns(3,4,5)P3. PMID: 20668527
- The crystal structure of human PDCD10 complexed with inositol-(1,3,4,5)-tetrakisphosphate has been determined at 2.3A resolution. PMID: 20682288
- PDCD10 can form complexes with other members of the CCM family, including CCM2, a key mediator of receptor tyrosine kinase-dependent cell death in neuroblastic tumors. PMID: 20854465
- CCM3 is a cerebral cavernous malformation protein critical for vascular integrity PMID: 20489202
- CCM3 is located on the Golgi apparatus, forming a complex with proteins of the germinal center kinase III (GCKIII) family and GM130, a Golgi-resident protein. PMID: 20332113
- We report herein the identification of PDCD10 (programmed cell death 10) as the CCM3 gene. PMID: 15543491
- KRIT1, Malcavernin, and PDCD10 are differentially expressed in cerebral venous malformations and cerebral cavernous malformations PMID: 16239636
- Mutations in apoptosis-related gene, PDCD10, cause cerebral cavernous malformation 3. PMID: 16284570
- Sequence analysis of PDCD10 in a panel of 29 probands lacking Krit1 and MGC4607 mutations revealed only three mutations. PMID: 16329096
- The authors screened the PCDC10 gene in 15 families that did not have a CCM1 or CCM2 mutation. Only two novel mutations were found, suggesting that mutations in this gene may only account for a small percentage of CCM familial cases. PMID: 16380626
- Five percent of patients with familial cerebral cavernomas have retinal cavernomas. These lesions are clinically asymptomatic. They can be associated with any of the 3 cerebral cavernous malformation genes. PMID: 16769843
- intergenic region of the head-to-head PDCD10-SERPINI1 gene pair provides an interesting and informative example of a complex regulatory system PMID: 17212813
- Results show that PDCD10 modulation of ERK signaling is mediated by MST4, and that PDCD10 may be a regulatory adaptor necessary for MST4 function, suggesting a link between cerebral cavernous malformation and the ERK-MAPK cascade via PDCD10/MST4. PMID: 17360971
- CCM3 (PDCD10) coprecipitates and colocalizes with CCM2. CCM3 directly binds to serine/threonine kinase 25 (STK25, YSK1, SOK1) and the phosphatase domain of Fas-associated phosphatase-1 (FAP-1, PTPN13, PTP-Bas, PTP-BL). PMID: 17657516
- To the best of our knowledge, this is the first report of an association between a mutation in the PDCD10 gene and spinal cavernous malformations. PMID: 18035376
顯示更多
收起更多
-
相關疾病:Cerebral cavernous malformations 3 (CCM3)
-
亞細胞定位:Cytoplasm. Golgi apparatus membrane; Peripheral membrane protein; Cytoplasmic side. Cell membrane; Peripheral membrane protein; Cytoplasmic side. Note=Partially co-localizes with endogenous PXN at the leading edges of migrating cells.
-
蛋白家族:PDCD10 family
-
組織特異性:Ubiquitous.
-
數據庫鏈接:
Most popular with customers
-
-
YWHAB Recombinant Monoclonal Antibody
Applications: ELISA, WB, IHC, IF, FC
Species Reactivity: Human, Mouse, Rat
-
Phospho-YAP1 (S127) Recombinant Monoclonal Antibody
Applications: ELISA, WB, IHC
Species Reactivity: Human
-
-
-
-
-















