PCSK6 Antibody
-
中文名稱:PCSK6兔多克隆抗體
-
貨號:CSB-PA017645LA01HU
-
規格:¥440
-
圖片:
-
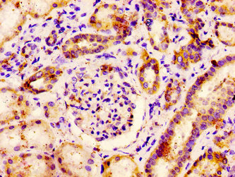
IHC image of CSB-PA017645LA01HU diluted at 1:400 and staining in paraffin-embedded human kidney tissue performed on a Leica BondTM system. After dewaxing and hydration, antigen retrieval was mediated by high pressure in a citrate buffer (pH 6.0). Section was blocked with 10% normal goat serum 30min at RT. Then primary antibody (1% BSA) was incubated at 4°C overnight. The primary is detected by a biotinylated secondary antibody and visualized using an HRP conjugated SP system.
-
IHC image of CSB-PA017645LA01HU diluted at 1:400 and staining in paraffin-embedded human testis tissue performed on a Leica BondTM system. After dewaxing and hydration, antigen retrieval was mediated by high pressure in a citrate buffer (pH 6.0). Section was blocked with 10% normal goat serum 30min at RT. Then primary antibody (1% BSA) was incubated at 4°C overnight. The primary is detected by a biotinylated secondary antibody and visualized using an HRP conjugated ABC system.
-
-
其他:
產品詳情
-
產品名稱:Rabbit anti-Homo sapiens (Human) PCSK6 Polyclonal antibody
-
Uniprot No.:
-
基因名:
-
別名:Paired basic amino acid cleaving enzyme 4 antibody; Paired basic amino acid cleaving system 4 antibody; PCSK6 antibody; PCSK6_HUMAN antibody; Proprotein convertase subtilisin/kexin type 6 antibody; SPC4 antibody; Subtilisin like protease antibody; Subtilisin-like proprotein convertase 4 antibody; subtilisin/kexin like protease PACE4 antibody; Subtilisin/kexin-like protease PACE4 antibody
-
宿主:Rabbit
-
反應種屬:Human
-
免疫原:Recombinant Human Proprotein convertase subtilisin/kexin type 6 protein (596-710AA)
-
免疫原種屬:Homo sapiens (Human)
-
標記方式:Non-conjugated
本頁面中的產品,PCSK6 Antibody (CSB-PA017645LA01HU),的標記方式是Non-conjugated。對于PCSK6 Antibody,我們還提供其他標記。見下表:
-
克隆類型:Polyclonal
-
抗體亞型:IgG
-
純化方式:>95%, Protein G purified
-
濃度:It differs from different batches. Please contact us to confirm it.
-
保存緩沖液:Preservative: 0.03% Proclin 300
Constituents: 50% Glycerol, 0.01M PBS, pH 7.4 -
產品提供形式:Liquid
-
應用范圍:ELISA, IHC
-
推薦稀釋比:
Application Recommended Dilution IHC 1:200-1:500 -
Protocols:
-
儲存條件:Upon receipt, store at -20°C or -80°C. Avoid repeated freeze.
-
貨期:Basically, we can dispatch the products out in 1-3 working days after receiving your orders. Delivery time maybe differs from different purchasing way or location, please kindly consult your local distributors for specific delivery time.
-
用途:For Research Use Only. Not for use in diagnostic or therapeutic procedures.
相關產品
靶點詳情
-
功能:Serine endoprotease that processes various proproteins by cleavage at paired basic amino acids, recognizing the RXXX[KR]R consensus motif. Likely functions in the constitutive secretory pathway, with unique restricted distribution in both neuroendocrine and non-neuroendocrine tissues.
-
基因功能參考文獻:
- Data suggest that soluble corin lacking transmembrane domain is activated by PCSK6 in conditioned medium or in cell-free system but not intracellularly; cell membrane association is unnecessary for PCSK6 to activate corin; soluble corin and PCSK6 are secreted by cardiomyocytes (or HEK293 cells) via different intracellular pathways. (PCSK6 = proprotein convertase subtilisin/kexin type-6) PMID: 29180304
- Our results suggest that PACE4 is a promising target for estrogen-receptor-positive breast cancer. PMID: 28347547
- PACE4 pre-mRNA undergoes DNA methylation-sensitive alternative splicing of its terminal exon 3' untranslated region, generating an oncogenic, C-terminally modified isoform (PACE4-altCT). PMID: 28993410
- Results provide evidence for the role of PCSK6 as candidate for involvement in the biological mechanisms that underlie the establishment of normal brain lateralization and thus handedness and support the assumption that the degree of handedness, instead the direction, may be the more appropriate indicator of cerebral organization. PMID: 23826248
- Variants in non-coding sequences of PCSK6 gene is associated with handedness. PMID: 26908617
- These results implicate PCSK6 in mediation of brain developmental pathways that jointly impact upon handedness, autism and aspects of schizotypy PMID: 26921480
- In summary, our study implicated a gene network involving Tbx5, Osr1 and Pcsk6 interaction in second heart field for atrial septation, providing a molecular framework for understanding the role of Tbx5 in congenital heart disease ontogeny. PMID: 26744331
- PACE4 regulates apoptosis in human prostate cancer cells via endoplasmic reticulum stress and mitochondrial signaling pathways PMID: 26604689
- PACE4-knockdown associated growth deficiencies were established on the knockdown HepG2, Huh7, and HT1080 cells as well as the antiproliferative effects of the multi-Leu peptide supporting the growth capabilities of PACE4 in cancer cells. PMID: 26114115
- identified a PCSK6 mutation that impaired corin activation activity in a hypertensive patient PMID: 26259032
- PCSK6 is upregulated in the synovial tissues of patients with rheumatoid arthritis and has a genetic effect on the risk of rheumatoid arthritis. Inhibition of PCSK6 may play a protective role in the development of rheumatoid arthritis. PMID: 25433529
- PCSK6 regulated by LH inhibits the apoptosis of human granulosa cells via activin A and TGFbeta2. PMID: 24860148
- miR-124 exhibits antiproliferative and antiaggressive effects on prostate cancer cells through PACE4 pathway. PMID: 24913567
- PCSK6 was detected at increased levels in the fibrous cap of symptomatic carotid plaques, possibly associated with key processes in plaque rupture such as inflammation and extracellular matrix remodeling. PMID: 23908247
- PACE4 has a distinct role in maintaining proliferation and tumor progression in prostate cancer. PMID: 23226097
- A variant in PCSK6 is strongly associated with protection against pain in knee osteoarthritis. PMID: 22440827
- PCSK6 as a novel glioma invasion-associated candidate gene that likely contribute to the invasive phenotype of malignant gliomas. PMID: 21722156
- In a genome-wide association study of handedness in patients with dyslexia, PCSK6 was the most highly associated marker. PMID: 21051773
- a unique SPC family protease that anchors heparan sulfate proteoglycans at the extracellular matrix; distribution in human placenta PMID: 12535616
- reduction of PACE4 expression in ovarian cancer cells is caused, in part, by DNA hypermethylation and histone deacetylation PMID: 12805404
- These results suggest that PACE4 expression is down-regulated by Hash-2/Mash-2 in both human and rat placenta and that many bioactive proteins might be regulated by PACE4 activity. PMID: 14561729
- RB1CC1 and PACE4 genes might be the DNA targets of sodium arsenite treatment in human lymphoblastoid cells. PMID: 17707572
- upregulation of the expression of PACE4 by E2F PMID: 17825503
- Overexpression in a stable manner of the prosegment ppPACE4 in MDA-MB-231 breast cancer cells resulted in increased matrix metalloproteinase (MMP)-9 (but not MMP-2) activity and a reduced secretion of tissue inhibitor of metalloproteinase 1 (TIMP-1). PMID: 17909005
- PACE4 is a proprotein convertase responsible for activation of aggrecanases in osteoarthritic and cytokine-stimulated cartilage; posttranslational activation of ADAMTS-4 and ADAMTS-5 in the extracellular milieu of cartilage results in aggrecan degradation PMID: 18671934
- Data show that Cripto binds the proprotein convertases Furin and PACE4 and localizes Nodal processing at the cell surface. PMID: 18772886
- PC1 and PC2 were primarily expressed in neurons, whereas PACE4 appeared to be largely restricted to glia. Thus, elevated PACE4 may modulate the bioactivity of proteins secreted in the ONH and retina. PMID: 19339735
顯示更多
收起更多
-
亞細胞定位:[Isoform PACE4A-I]: Secreted.; [Isoform PACE4A-II]: Secreted.; [Isoform PACE4C]: Endoplasmic reticulum. Note=Not secreted, remains probably in zymogen form in endoplasmic reticulum.; [Isoform PACE4CS]: Endoplasmic reticulum. Note=Not secreted, remains probably in zymogen form in endoplasmic reticulum.; [Isoform PACE4E-I]: Endomembrane system; Peripheral membrane protein. Note=Retained intracellularly probably through a hydrophobic cluster in their C-terminus.; [Isoform PACE4E-II]: Endomembrane system; Peripheral membrane protein. Note=Retained intracellularly probably through a hydrophobic cluster in their C-terminus.; [Isoform PACE4B]: Secreted.
-
蛋白家族:Peptidase S8 family
-
組織特異性:Each PACE4 isoform exhibits a unique restricted distribution. Isoform PACE4A-I is expressed in heart, brain, placenta, lung, skeletal muscle, kidney, pancreas, but at comparatively higher levels in the liver. Isoform PACE4A-II is at least expressed in pla
-
數據庫鏈接:
Most popular with customers
-
YWHAB Recombinant Monoclonal Antibody
Applications: ELISA, WB, IHC, IF, FC
Species Reactivity: Human, Mouse, Rat
-
Phospho-YAP1 (S127) Recombinant Monoclonal Antibody
Applications: ELISA, WB, IHC
Species Reactivity: Human
-
-
-
-
-
-















