PCNT Antibody
-
中文名稱:PCNT兔多克隆抗體
-
貨號:CSB-PA017627LA01HU
-
規格:¥440
-
圖片:
-
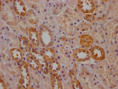
IHC image of CSB-PA017627LA01HU diluted at 1:200 and staining in paraffin-embedded human kidney tissue performed on a Leica BondTM system. After dewaxing and hydration, antigen retrieval was mediated by high pressure in a citrate buffer (pH 6.0). Section was blocked with 10% normal goat serum 30min at RT. Then primary antibody (1% BSA) was incubated at 4°C overnight. The primary is detected by a Goat anti-rabbit polymer IgG labeled by HRP and visualized using 0.05% DAB.
-
Immunofluorescence staining of Hela cells with CSB-PA017627LA01HU at 1:100, counter-stained with DAPI. The cells were fixed in 4% formaldehyde and blocked in 10% normal Goat Serum. The cells were then incubated with the antibody overnight at 4°C. The secondary antibody was Alexa Fluor 488-congugated AffiniPure Goat Anti-Rabbit IgG(H+L).
-
-
其他:
產品詳情
-
產品名稱:Rabbit anti-Homo sapiens (Human) PCNT Polyclonal antibody
-
Uniprot No.:
-
基因名:
-
別名:Centrosome Marker antibody; Ken antibody; Kendrin antibody; KIAA0402 antibody; MOPD2 antibody; PCN antibody; PCNT 2 antibody; PCNT antibody; PCNT B antibody; PCNT_HUMAN antibody; PCNT1 antibody; PCNT2 antibody; PCNTB antibody; PCTN2 antibody; Pericentrin 1 antibody; Pericentrin 2 antibody; Pericentrin 380 antibody; Pericentrin antibody; Pericentrin B antibody; Pericentrin-B antibody; SCKL4 antibody
-
宿主:Rabbit
-
反應種屬:Human
-
免疫原:Recombinant Human Pericentrin protein (250-600AA)
-
免疫原種屬:Homo sapiens (Human)
-
標記方式:Non-conjugated
本頁面中的產品,PCNT Antibody (CSB-PA017627LA01HU),的標記方式是Non-conjugated。對于PCNT Antibody,我們還提供其他標記。見下表:
-
克隆類型:Polyclonal
-
抗體亞型:IgG
-
純化方式:>95%, Protein G purified
-
濃度:It differs from different batches. Please contact us to confirm it.
-
保存緩沖液:Preservative: 0.03% Proclin 300
Constituents: 50% Glycerol, 0.01M PBS, PH 7.4 -
產品提供形式:Liquid
-
應用范圍:ELISA, IHC, IF
-
推薦稀釋比:
Application Recommended Dilution IHC 1:200-1:500 IF 1:100-1:500 -
Protocols:
-
儲存條件:Upon receipt, store at -20°C or -80°C. Avoid repeated freeze.
-
貨期:Basically, we can dispatch the products out in 1-3 working days after receiving your orders. Delivery time maybe differs from different purchasing way or location, please kindly consult your local distributors for specific delivery time.
-
用途:For Research Use Only. Not for use in diagnostic or therapeutic procedures.
相關產品
靶點詳情
-
功能:Integral component of the filamentous matrix of the centrosome involved in the initial establishment of organized microtubule arrays in both mitosis and meiosis. Plays a role, together with DISC1, in the microtubule network formation. Is an integral component of the pericentriolar material (PCM). May play an important role in preventing premature centrosome splitting during interphase by inhibiting NEK2 kinase activity at the centrosome.
-
基因功能參考文獻:
- High pericentrin expression is associated with Disruptive Cilia Formation in down syndrome. PMID: 30100262
- we identified two novel mutations in the PCNT gene associated with Microcephalic osteodysplastic primordial dwarfism type II and intracranial aneurysms PMID: 26231886
- PCNT has to be phosphorylated by PLK1 to be a suitable substrate of separase. PMID: 26647647
- Cep68 degradation allows Cep215 removal from peripheral pericentriolar material (PCM) preventing centriole separation following disengagement, PCNT cleavage mediates Cep215 removal from core of the PCM to inhibit centriole disengagement and duplication PMID: 25503564
- The CEP215-pericentrin interaction is required for centrosome maturation and subsequent bipolar spindle formation during mitosis. PMID: 24466316
- Data suggest that changes in the expression levels of PCNT in DS subjects may be involved into the molecular mechanism of Down's syndrome. PMID: 23979692
- PCNT gene mutation is associated with hematological abnormalities in patients with microcephalic osteodysplastic primordial dwarfism type II. PMID: 24106199
- Che-1 depletion abolishes the ability of Chk1 to bind pericentrin and to localize at centrosomes, which, in its turn, deregulates the activation of centrosomal cyclin B-Cdk1 and advances entry into mitosis. PMID: 23798705
- The pericentrin B cleavage is essential for timely centriole disengagement and duplication. PMID: 22722493
- Kendrin is a novel and crucial substrate for separase at the centrosome, protecting the engaged centrioles from premature disengagement and thereby blocking reduplication until the cell passes through mitosis. PMID: 22542101
- Expression of RRP1B, PCNT, KIF21A and ADRB2 in leucocytes of Down's syndrome subjects, was analyzed. PMID: 22552340
- The pericentrin (PCNT), a PCM protein, was specifically phosphorylated by PLK1 during mitosis. PMID: 22184200
- PCNT has a crucial role in tooth development; teeth of a patient with a novel homozygous mutation p.Glu1154X are probably the smallest ever reported. PMID: 21567919
- Severe insulin resistance and premature diabetes are common features of PCNT deficiency but are not congenital. PMID: 21270239
- Microcephalic osteodysplastic primordial dwarfism type II is a genetically homogeneous condition due to loss-of-function of pericentrin. PMID: 19643772
- Results found no significant association between the pericentrin gene and schizophrenia in the Japanese population. This gene may not play a major role independently in the etiology of SZ. PMID: 19937158
- The NESs and NLS of pericentrin are essential for its subcellular localization and nucleocytoplasmic trafficking during the cell cycle.(Pericentrin) PMID: 20567258
- Data suggest that pericentrin may regulate the intracellular distribution and secretion of insulin. PMID: 20676397
- CG-NAP and kendrin provide sites for microtubule nucleation in the mammalian centrosome by anchoring gamma-TuRC PMID: 12221128
- results confirm that MT1-MMP cleaves pericentrin-2 in humans but not in mice and that mouse models of cancer probably cannot be used to critically examine MT1-MMP functionality PMID: 16251193
- Elevated levels of PCNT2 might be implicated in the pathophysiology of bipolar disorder. PMID: 17884020
- Mutations in PCNT cause Seckel syndrome with defective ATR-dependent DNA damage signaling. PMID: 18157127
- study found that biallelic loss-of-function mutations in the centrosomal pericentrin (PCNT) gene on chromosome 21q22.3 cause microcephalic osteodysplastic primordial dwarfism type II (MOPD II) in 25 patients PMID: 18174396
- Upregulation of pericentrin is associated with increased angiogenesis and prostate tumor cell proliferation PMID: 18701509
- These findings suggest that the DISC1-kendrin interaction plays a key role in the microtubule dynamics. PMID: 18955030
- The association of PCNT2 and DBZ with schizophrenia and bipolar disorder in a case-control study of Japanese cohorts, was examined. PMID: 19191256
- results suggest that genetic variations in the PCNT gene may play a significant role in the etiology of major depressive disorder in the Japanese population PMID: 19448849
- Results show that a lack of microcephalin or pericentrin results in a loss of Chk1 from centrosomes with subsequently deregulated activation of centrosomal cyclin B-Cdk1. PMID: 19546241
顯示更多
收起更多
-
相關疾病:Microcephalic osteodysplastic primordial dwarfism 2 (MOPD2)
-
亞細胞定位:Cytoplasm, cytoskeleton, microtubule organizing center, centrosome. Note=Centrosomal at all stages of the cell cycle. Remains associated with centrosomes following microtubule depolymerization. Colocalized with DISC1 at the centrosome.
-
組織特異性:Expressed in all tissues tested, including placenta, liver, kidney and thymus.
-
數據庫鏈接:
Most popular with customers
-
-
Phospho-YAP1 (S127) Recombinant Monoclonal Antibody
Applications: ELISA, WB, IHC
Species Reactivity: Human
-
-
-
-
-
-















