PCNA Antibody
-
中文名稱:PCNA兔多克隆抗體
-
貨號:CSB-PA208009
-
規格:¥2024
-
圖片:
-
Gel: 10%SDS-PAGE Lysate: 40 ug Hela cell lysate Primary antibody: 1/500 dilution Secondary antibody: Donkey anti Rabbit IgG - H&L (HRP) at 1/3000 dilution Exposure time: 1 minute
-
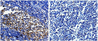
The image on the left is immunohistochemistry of paraffin-embedded Human tonsil tissue using 31002 (PCNA Antibody) at dilution 1/25, on the right is treated with the fusion protein.
-
-
其他:
產品詳情
-
Uniprot No.:
-
宿主:Rabbit
-
反應種屬:Human,Mouse,Rat
-
免疫原:Fusion protein corresponding to a region derived from 9-252 amino acids of Human Proliferating cell nuclear antigen
-
免疫原種屬:Homo sapiens (Human)
-
克隆類型:Polyclonal
-
濃度:It differs from different batches. Please contact us to confirm it.
-
產品提供形式:Liquid
-
應用范圍:ELISA,WB,IHC
-
推薦稀釋比:
Application Recommended Dilution WB 1:500-1:2000 IHC 1:50-1:200 -
Protocols:
-
儲存條件:Upon receipt, store at -20°C or -80°C. Avoid repeated freeze.
-
貨期:Basically, we can dispatch the products out in 1-3 working days after receiving your orders. Delivery time maybe differs from different purchasing way or location, please kindly consult your local distributors for specific delivery time.
-
用途:For Research Use Only. Not for use in diagnostic or therapeutic procedures.
Most popular with customers
-
YWHAB Recombinant Monoclonal Antibody
Applications: ELISA, WB, IHC, IF, FC
Species Reactivity: Human, Mouse, Rat
-
Phospho-YAP1 (S127) Recombinant Monoclonal Antibody
Applications: ELISA, WB, IHC
Species Reactivity: Human
-
-
-
-
-
-















