PCMT1 Antibody
-
中文名稱:PCMT1兔多克隆抗體
-
貨號:CSB-PA017618LA01HU
-
規格:¥440
-
圖片:
-
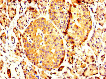
IHC image of CSB-PA017618LA01HU diluted at 1:200 and staining in paraffin-embedded human pancreatic tissue performed on a Leica BondTM system. After dewaxing and hydration, antigen retrieval was mediated by high pressure in a citrate buffer (pH 6.0). Section was blocked with 10% normal goat serum 30min at RT. Then primary antibody (1% BSA) was incubated at 4°C overnight. The primary is detected by a biotinylated secondary antibody and visualized using an HRP conjugated SP system.
-
IHC image of CSB-PA017618LA01HU diluted at 1:200 and staining in paraffin-embedded human brain tissue performed on a Leica BondTM system. After dewaxing and hydration, antigen retrieval was mediated by high pressure in a citrate buffer (pH 6.0). Section was blocked with 10% normal goat serum 30min at RT. Then primary antibody (1% BSA) was incubated at 4°C overnight. The primary is detected by a biotinylated secondary antibody and visualized using an HRP conjugated SP system.
-
Immunofluorescence staining of Hela cells with CSB-PA017618LA01HU at 1:66, counter-stained with DAPI. The cells were fixed in 4% formaldehyde, permeabilized using 0.2% Triton X-100 and blocked in 10% normal Goat Serum. The cells were then incubated with the antibody overnight at 4°C. The secondary antibody was Alexa Fluor 488-congugated AffiniPure Goat Anti-Rabbit IgG(H+L).
-
-
其他:
產品詳情
-
產品名稱:Rabbit anti-Homo sapiens (Human) PCMT1 Polyclonal antibody
-
Uniprot No.:
-
基因名:PCMT1
-
別名:PCMT1 antibody; Protein-L-isoaspartate(D-aspartate) O-methyltransferase antibody; PIMT antibody; EC 2.1.1.77 antibody; L-isoaspartyl protein carboxyl methyltransferase antibody; Protein L-isoaspartyl/D-aspartyl methyltransferase antibody; Protein-beta-aspartate methyltransferase antibody
-
宿主:Rabbit
-
反應種屬:Human
-
免疫原:Recombinant Human Protein-L-isoaspartate(D-aspartate) O-methyltransferase protein (117-228AA)
-
免疫原種屬:Homo sapiens (Human)
-
標記方式:Non-conjugated
本頁面中的產品,PCMT1 Antibody (CSB-PA017618LA01HU),的標記方式是Non-conjugated。對于PCMT1 Antibody,我們還提供其他標記。見下表:
-
克隆類型:Polyclonal
-
抗體亞型:IgG
-
純化方式:>95%, Protein G purified
-
濃度:It differs from different batches. Please contact us to confirm it.
-
保存緩沖液:Preservative: 0.03% Proclin 300
Constituents: 50% Glycerol, 0.01M PBS, pH 7.4 -
產品提供形式:Liquid
-
應用范圍:ELISA, IHC, IF
-
推薦稀釋比:
Application Recommended Dilution IHC 1:200-1:500 IF 1:50-1:200 -
Protocols:
-
儲存條件:Upon receipt, store at -20°C or -80°C. Avoid repeated freeze.
-
貨期:Basically, we can dispatch the products out in 1-3 working days after receiving your orders. Delivery time maybe differs from different purchasing way or location, please kindly consult your local distributors for specific delivery time.
-
用途:For Research Use Only. Not for use in diagnostic or therapeutic procedures.
相關產品
靶點詳情
-
功能:Initiates the repair of damaged proteins by catalyzing methyl esterification of L-isoaspartyl and D-aspartyl residues produced by spontaneous isomerization and racemization of L-aspartyl and L-asparaginyl residues in aging peptides and proteins. Acts on EIF4EBP2, microtubule-associated protein 2, calreticulin, clathrin light chains a and b, Ubiquitin C-terminal hydrolase isozyme L1, phosphatidylethanolamine-binding protein 1, stathmin, beta-synuclein and alpha-synuclein.
-
基因功能參考文獻:
- decrease of PCMT1 significantly increased the proportion of D-Asp residues in PHB1 and had significant and fatal impacts on morphology and functions of the mitochondria, such as ATP production and the mitochondrial fusion-fission system PMID: 27327778
- PIMT heterozygosity for R36C, G175R, R17H, or R17S would be detrimental to successful aging, whereas homozygosity (should it ever occur) would produce devastating neuropathology PMID: 28100787
- Strong PIMT expression was a predictive marker of poor prognosis for surgically resected lung adenocarcinoma. PMID: 26997432
- The data of this study indicated that DA-associated PIMT downregulation is an important event contributing to neuronal cell death PMID: 25800307
- ERK2-mediated phosphorylation of transcriptional coactivator binding protein PIMT/NCoA6IP at Ser298 augments hepatic gluconeogenesis. PMID: 24358311
- Overexpression of PCMT1 attentuates Mst1 kinase activation and its apoptotic effects in response to hypoxia-induced injury in cardiomyocytes. PMID: 23647599
- Data indicate that human PROTEIN ISOASPARTYL METHYLTRANSFERASE (PIMT) can initiate isoAsp conversion to Asp, and is able to restore Arabidopsis PRH75's complex biochemical activity provided isoAsp formation has not led to conformational alterations. PMID: 23903319
- Data show six differentially expressed proteins were identified as HSP70, PPIA and alpha-Enolase (up-regulated) S100-A9, PIMT and beta-5 tubulin (down-regulated), most of which had been shown to play a potential role in the pathogenesis of atherosclerosis. PMID: 21839816
- The results implied that maternal polymorphisms in PCMT1 might be a potential genetic risk factor for isolated anencephaly in the Chinese population of Lvliang. PMID: 22647835
- Study provides new insight into the molecular mechanisms by which PIMT suppresses the p53 activity through carboxyl methylation, and suggests a therapeutic target for cancers. PMID: 22735455
- PIMT may act as a co-activator in ERalpha-mediated transcription of TFF1 through its recruitment to the promoter via interacting with ERalpha. PMID: 22382029
- Control of PCMT1 expression by microRNA 15a/16-1 may thus represent a late checkpoint in apoptosis regulation PMID: 22033921
- A tight cross-regulation exists between ERK and PIMT in regards to their activation and expression during the epithelial mesenchymal transition. PMID: 21841813
- study demonstrates a novel role for PIMT as a negative regulator of Abeta peptide formation and a potential protective factor in the pathogenesis of Alzheimer disease PMID: 21372823
- Protein L-Isoaspartyl Methyltransferase PMID: 11792715
- crystal structure complexed with adenosyl homocysteine (AdoHcy) to 1.6-A resolution PMID: 11847284
- Our results showed that the Ile120Val polymorphism of PCMT1 gene is a genetic modifier for the risk of spina bifida. Val/Val genotype was associated with a reduction in risk for spina bifida. PMID: 16256389
- A potential role for PIMT in biological processes such as wound healing, cell migration, and tumor metastasis dissemination. PMID: 17167531
- These results suggest that PIMT repair of abnormal proteins is necessary to maintain normal MAPK signaling. PMID: 18381200
- Four polymorphisms in the protein L-isoaspartyl-O-methyltransferase (PCMT1) gene, encoding a protein repair enzyme, are associated with premature ovarian failure (POF). PMID: 18582870
顯示更多
收起更多
-
亞細胞定位:Cytoplasm, cytosol.
-
蛋白家族:Methyltransferase superfamily, L-isoaspartyl/D-aspartyl protein methyltransferase family
-
數據庫鏈接:
Most popular with customers
-
YWHAB Recombinant Monoclonal Antibody
Applications: ELISA, WB, IHC, IF, FC
Species Reactivity: Human, Mouse, Rat
-
Phospho-YAP1 (S127) Recombinant Monoclonal Antibody
Applications: ELISA, WB, IHC
Species Reactivity: Human
-
-
-
-
-
-















