PCDH11X Antibody
-
中文名稱:PCDH11X兔多克隆抗體
-
貨號:CSB-PA866326LA01HU
-
規格:¥440
-
圖片:
-
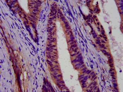
IHC image of CSB-PA866326LA01HU diluted at 1:500 and staining in paraffin-embedded human colon cancer performed on a Leica BondTM system. After dewaxing and hydration, antigen retrieval was mediated by high pressure in a citrate buffer (pH 6.0). Section was blocked with 10% normal goat serum 30min at RT. Then primary antibody (1% BSA) was incubated at 4°C overnight. The primary is detected by a biotinylated secondary antibody and visualized using an HRP conjugated SP system.
-
Immunofluorescence staining of HepG2 cells with CSB-PA866326LA01HU at 1:166, counter-stained with DAPI. The cells were fixed in 4% formaldehyde, permeabilized using 0.2% Triton X-100 and blocked in 10% normal Goat Serum. The cells were then incubated with the antibody overnight at 4°C. The secondary antibody was Alexa Fluor 488-congugated AffiniPure Goat Anti-Rabbit IgG(H+L).
-
-
其他:
產品詳情
-
產品名稱:Rabbit anti-Homo sapiens (Human) PCDH11X Polyclonal antibody
-
Uniprot No.:
-
基因名:PCDH11X
-
別名:PC11X_HUMAN antibody; PCDH-X antibody; PCDH11 antibody; PCDH11X antibody; PCDHX antibody; PPP1R119 antibody; Protein phosphatase 1 regulatory subunit 119 antibody; Protocadherin 11X antibody; Protocadherin on the X chromosome antibody; Protocadherin-11 antibody; Protocadherin-11 X-linked antibody; Protocadherin-S antibody
-
宿主:Rabbit
-
反應種屬:Human
-
免疫原:Recombinant Human Protocadherin-11 X-linked protein (987-1117AA)
-
免疫原種屬:Homo sapiens (Human)
-
標記方式:Non-conjugated
本頁面中的產品,PCDH11X Antibody (CSB-PA866326LA01HU),的標記方式是Non-conjugated。對于PCDH11X Antibody,我們還提供其他標記。見下表:
-
克隆類型:Polyclonal
-
抗體亞型:IgG
-
純化方式:>95%, Protein G purified
-
濃度:It differs from different batches. Please contact us to confirm it.
-
保存緩沖液:Preservative: 0.03% Proclin 300
Constituents: 50% Glycerol, 0.01M PBS, pH 7.4 -
產品提供形式:Liquid
-
應用范圍:ELISA, IHC, IF
-
推薦稀釋比:
Application Recommended Dilution IHC 1:500-1:1000 IF 1:50-1:200 -
Protocols:
-
儲存條件:Upon receipt, store at -20°C or -80°C. Avoid repeated freeze.
-
貨期:Basically, we can dispatch the products out in 1-3 working days after receiving your orders. Delivery time maybe differs from different purchasing way or location, please kindly consult your local distributors for specific delivery time.
-
用途:For Research Use Only. Not for use in diagnostic or therapeutic procedures.
相關產品
靶點詳情
-
功能:Potential calcium-dependent cell-adhesion protein.
-
基因功能參考文獻:
- PCDH11X, expressed in brain is implicated in cell-cell communication, verbal ability, cerebral asymmetry, and dendritic synaptic plasticity, may be regarded as a new candidate gene for dyslexia. PMID: 24591081
- PCDH11X expression was detected in the fetal neocortex, ganglionic eminences, cerebellum, and inferior olive. In the adult brain, the cerebral cortex, hippocampal formation, and cerebellum and brain stem were immunoreactive. PMID: 22744706
- the PCDH11X/Y gene pair determines cerebral asymmetry by initiating the right shift in Homo sapiens PMID: 23600975
- our data...failed to confirm the association between PCDH11X polymorphisms and late-onset Alzheimer's disease PMID: 21276771
- An association between late-onset Alzheimer disease and the PCDH11X polymorphisms, was not detected. PMID: 20523261
- PCDH11X gene polymorphism does not play a major role in the genetic predisposition to late-onset Alzheimer disease in this Han Chinese population. PMID: 20707987
- association not found for rs5984894 polymorphism in PCDH11X in Alzheimer's disease in Italy PMID: 20555150
- The present article investigated the patterns of alternative splicing and expression of the PCDH11X/Y genes. PMID: 19859901
- By confirming the suspected lack of X-Y homologous status for PCDH11 in non-human primates, our results reinforce the hypothesis of a hominid-specific role for this gene in brain development PMID: 16825765
- We consider that a stronger case can be mounted for the Protocadherin11X/Y gene pair located in the hominid specific Xq21.3/Yp11.2 region of homology that was generated by a duplication from the X PMID: 19125366
- Genetic variation in PCDH11X is associated with susceptibility to late-onset Alzheimer's disease. PMID: 19136949
- This paper proposes that the PCDH11X/Y gene pair generates epigenetic diversity relating to the species capacity for language including predisposition to psychosis. PMID: 18502103
- a candidate for the evolution of hominid-specific characteristics including the sexual dimorphism of cerebral asymmetry, a putative correlate of language PMID: 16874762
顯示更多
收起更多
-
亞細胞定位:Cell membrane; Single-pass type I membrane protein.
-
組織特異性:Expressed strongly in fetal brain and brain (cortex, amygdala, thalamus, substantia nigra, hippocampus, caudate nucleus and corpus callosum). Expressed at low level in testis.
-
數據庫鏈接:
Most popular with customers
-
-
-
-
-
-
-
VDAC1 Recombinant Monoclonal Antibody
Applications: ELISA, WB, IHC
Species Reactivity: Human, Mouse, Rat
-
VCP Recombinant Monoclonal Antibody
Applications: ELISA, WB, IHC, IF, IP
Species Reactivity: Human, Rat















