PCBD1 Antibody
-
中文名稱:PCBD1兔多克隆抗體
-
貨號:CSB-PA017514LA01HU
-
規格:¥440
-
圖片:
-
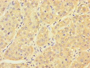
Immunohistochemistry of paraffin-embedded human liver tissue using CSB-PA017514LA01HU at dilution of 1:100
-
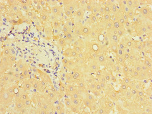
Immunohistochemistry of paraffin-embedded human liver cancer using CSB-PA017514LA01HU at dilution of 1:100
-
Immunofluorescent analysis of Hela cells using CSB-PA017514LA01HU at dilution of 1:100 and Alexa Fluor 488-congugated AffiniPure Goat Anti-Rabbit IgG(H+L)
-
-
其他:
產品詳情
-
產品名稱:Rabbit anti-Homo sapiens (Human) PCBD1 Polyclonal antibody
-
Uniprot No.:
-
基因名:PCBD1
-
別名:4 alpha hydroxy tetrahydropterin dehydratase antibody; 4-alpha-hydroxy-tetrahydropterin dehydratase antibody; 6 pyruvoyl tetrahydropterin synthase/dimerization cofactor of hepatocyte nuclear factor 1 alpha (TCF1) antibody; 6 pyruvoyl tetrahydropterin synthase/dimerization cofactor of hepatocyte nuclear factor 1 alpha antibody; DCoH antibody; Dimerization cofactor of hepatic nuclear factor 1 alpha antibody; Dimerization cofactor of hepatocyte nuclear factor 1 alpha antibody; Dimerization cofactor of hepatocyte nuclear factor 1-alpha antibody; Dimerization cofactor of HNF1 antibody; Dimerizing cofactor for HNF1 antibody; PCBD 1 antibody; PCBD antibody; PCBD1 antibody; PCD antibody; Phenylalanine hydroxylase stimulating protein antibody; Phenylalanine hydroxylase-stimulating protein antibody; PHS antibody; PHS_HUMAN antibody; Pterin 4 alpha carbinolamine dehydratase antibody; Pterin 4 alpha carbinolamine dehydratase/dimerization cofactor of hepatocyte nuclear factor 1 alpha (TCF1) antibody; Pterin 4 alpha carbinolamine dehydratase/dimerization cofactor of hepatocyte nuclear factor 1 alpha antibody; Pterin carbinolamine dehydratase antibody; Pterin-4-alpha-carbinolamine dehydratase antibody
-
宿主:Rabbit
-
反應種屬:Human
-
免疫原:Recombinant Human Pterin-4-alpha-carbinolamine dehydratase protein (2-104AA)
-
免疫原種屬:Homo sapiens (Human)
-
標記方式:Non-conjugated
本頁面中的產品,PCBD1 Antibody (CSB-PA017514LA01HU),的標記方式是Non-conjugated。對于PCBD1 Antibody,我們還提供其他標記。見下表:
-
克隆類型:Polyclonal
-
抗體亞型:IgG
-
純化方式:>95%, Protein G purified
-
濃度:It differs from different batches. Please contact us to confirm it.
-
保存緩沖液:Preservative: 0.03% Proclin 300
Constituents: 50% Glycerol, 0.01M PBS, PH 7.4 -
產品提供形式:Liquid
-
應用范圍:ELISA, IHC, IF
-
推薦稀釋比:
Application Recommended Dilution IHC 1:20-1:200 IF 1:50-1:200 -
Protocols:
-
儲存條件:Upon receipt, store at -20°C or -80°C. Avoid repeated freeze.
-
貨期:Basically, we can dispatch the products out in 1-3 working days after receiving your orders. Delivery time maybe differs from different purchasing way or location, please kindly consult your local distributors for specific delivery time.
-
用途:For Research Use Only. Not for use in diagnostic or therapeutic procedures.
相關產品
靶點詳情
-
功能:Involved in tetrahydrobiopterin biosynthesis. Seems to both prevent the formation of 7-pterins and accelerate the formation of quinonoid-BH2. Coactivator for HNF1A-dependent transcription. Regulates the dimerization of homeodomain protein HNF1A and enhances its transcriptional activity. Also acts as a coactivator for HNF1B-dependent transcription.
-
基因功能參考文獻:
- We provide the first genetic evidence that PCBD1 mutations can cause early-onset nonautoimmune diabetes with features similar to dominantly inherited HNF1A-diabetes. PMID: 24848070
- Coactivator of the HNFB1 (HNF1 homeobox B)-mediated transcription is necessary for fine tuning ATPase Na+/K+ transporting gamma 1 polypeptide (FXYD2) transcription in the distal convoluted tubule PMID: 24204001
- Pcbd1 is a moonlighting protein that has dehydratase activity in addition to functioning as a cofactor which regulates HNF1alpha. PMID: 9092652
- variants of the hepatocyte nuclear factor-1beta (HNF-1beta / TCF2) and the dimerization cofactor of HNF-1 (DcoH/PCBD) genes in relation to type 2 diabetes mellitus and beta-cell function PMID: 11668623
- Data reveal DCoH/HNF-1 alpha expression and transcriptional activity in human epidermal melanocytes in vitro and in situ and identified tyrosinase, the key enzyme for pigmentation, as a new transcriptional target. PMID: 12565907
- Albumin colocalized together with its transcription factor PCD/DCoH/HNF-1alpha in suprabasal keratinocytes in human full-thickness skin sections and in keratinocytes cultured in serum-free medium. PMID: 15740590
- Properties of dehydratase/DCoHalpha are consistent with hypothesis that activity of this isozyme could account for relatively mild symptoms reported for patients with a defect in dehydratase/DCoH PMID: 16423549
顯示更多
收起更多
-
相關疾病:Hyperphenylalaninemia, BH4-deficient, D (HPABH4D)
-
亞細胞定位:Cytoplasm. Nucleus.
-
蛋白家族:Pterin-4-alpha-carbinolamine dehydratase family
-
數據庫鏈接:
Most popular with customers
-
-
YWHAB Recombinant Monoclonal Antibody
Applications: ELISA, WB, IHC, IF, FC
Species Reactivity: Human, Mouse, Rat
-
Phospho-YAP1 (S127) Recombinant Monoclonal Antibody
Applications: ELISA, WB, IHC
Species Reactivity: Human
-
-
-
-
-















