PBX1 Antibody
-
中文名稱:PBX1兔多克隆抗體
-
貨號:CSB-PA017505LA01HU
-
規格:¥440
-
圖片:
-
Western Blot
Positive WB detected in: Rat kidney tissue
All lanes: PBX1 antibody at 4.7μg/ml
Secondary
Goat polyclonal to rabbit IgG at 1/50000 dilution
Predicted band size: 47, 39 kDa
Observed band size: 47 kDa -
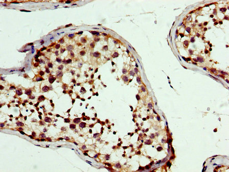
IHC image of CSB-PA017505LA01HU diluted at 1:300 and staining in paraffin-embedded human testis tissue performed on a Leica BondTM system. After dewaxing and hydration, antigen retrieval was mediated by high pressure in a citrate buffer (pH 6.0). Section was blocked with 10% normal goat serum 30min at RT. Then primary antibody (1% BSA) was incubated at 4°C overnight. The primary is detected by a biotinylated secondary antibody and visualized using an HRP conjugated SP system.
-
Immunofluorescence staining of Hela cells with CSB-PA017505LA01HU at 1:100, counter-stained with DAPI. The cells were fixed in 4% formaldehyde, permeabilized using 0.2% Triton X-100 and blocked in 10% normal Goat Serum. The cells were then incubated with the antibody overnight at 4°C. The secondary antibody was Alexa Fluor 488-congugated AffiniPure Goat Anti-Rabbit IgG(H+L).
-
-
其他:
產品詳情
-
產品名稱:Rabbit anti-Homo sapiens (Human) PBX1 Polyclonal antibody
-
Uniprot No.:
-
基因名:PBX1
-
別名:DKFZp686B09108 antibody; Homeo box protein PBX1 antibody; Homeo box protein PRL antibody; Homeobox protein PBX 1 antibody; Homeobox protein PBX1 antibody; Homeobox protein PRL antibody; MGC126627 antibody; PBX 1 antibody; Pbx1 antibody; PBX1_HUMAN antibody; Pre B cell leukemia homeobox 1 antibody; Pre B cell leukemia transcription factor 1 antibody; Pre-B-cell leukemia transcription factor 1 antibody; PRL antibody
-
宿主:Rabbit
-
反應種屬:Human, Rat
-
免疫原:Recombinant Human Pre-B-cell leukemia transcription factor 1 protein (315-430AA)
-
免疫原種屬:Homo sapiens (Human)
-
標記方式:Non-conjugated
本頁面中的產品,PBX1 Antibody (CSB-PA017505LA01HU),的標記方式是Non-conjugated。對于PBX1 Antibody,我們還提供其他標記。見下表:
-
克隆類型:Polyclonal
-
抗體亞型:IgG
-
純化方式:>95%, Protein G purified
-
濃度:It differs from different batches. Please contact us to confirm it.
-
保存緩沖液:Preservative: 0.03% Proclin 300
Constituents: 50% Glycerol, 0.01M PBS, pH 7.4 -
產品提供形式:Liquid
-
應用范圍:ELISA, WB, IHC, IF
-
推薦稀釋比:
Application Recommended Dilution WB 1:500-1:5000 IHC 1:100-1:300 IF 1:50-1:200 -
Protocols:
-
儲存條件:Upon receipt, store at -20°C or -80°C. Avoid repeated freeze.
-
貨期:Basically, we can dispatch the products out in 1-3 working days after receiving your orders. Delivery time maybe differs from different purchasing way or location, please kindly consult your local distributors for specific delivery time.
-
用途:For Research Use Only. Not for use in diagnostic or therapeutic procedures.
相關產品
靶點詳情
-
功能:Transcription factor which binds the DNA sequence 5'-TGATTGAT-3' as part of a heterodimer with HOX proteins such as HOXA1, HOXA5, HOXB7 and HOXB8. Binds to the DNA sequence 5'-TGATTGAC-3' in complex with a nuclear factor which is not a class I HOX protein. Has also been shown to bind the DNA sequence 5'-ATCAATCAA-3' cooperatively with HOXA5, HOXB7, HOXB8, HOXC8 and HOXD4. Acts as a transcriptional activator of PF4 in complex with MEIS1. Also activates transcription of SOX3 in complex with MEIS1 by binding to the 5'-TGATTGAC-3' consensus sequence. In natural killer cells, binds to the NFIL3 promoter and acts as a transcriptional activator of NFIL3, promoting natural killer cell development. Plays a role in the cAMP-dependent regulation of CYP17A1 gene expression via its cAMP-regulatory sequence (CRS1). Probably in complex with MEIS2, involved in transcriptional regulation by KLF4. Acts as a transcriptional activator of NKX2-5 and a transcriptional repressor of CDKN2B. Together with NKX2-5, required for spleen development through a mechanism that involves CDKN2B repression.; As part of a PDX1:PBX1b:MEIS2B complex in pancreatic acinar cells, is involved in the transcriptional activation of the ELA1 enhancer; the complex binds to the enhancer B element and cooperates with the transcription factor 1 complex (PTF1) bound to the enhancer A element.
-
基因功能參考文獻:
- PBX1 plays an oncogenic role in clear cell renal carcinoma via JAK2/STAT3 pathway PMID: 29678569
- B-cell acute lymphoblastic leukemia patients with positive E2A-PBX1 fusion expression after transplant will have a poor prognosis. PMID: 29705861
- Expression of PBX1 in leukemia cells enhances chemo-resistance and colony formation. PMID: 28034988
- The sequence variants in our cases included missense substitutions adjacent to the PBX1 homeodomain (p.Arg184Pro, p.Met224Lys, and p.Arg227Pro) or within the homeodomain (p.Arg234Pro, and p.Arg235Gln), whereas p.Ser262Glnfs*2, and p.Arg288* yielded truncated PBX1 proteins. PMID: 29036646
- PBX1 is one of the determinants in the Cx32 promoter targeting site, preventing further damage of gap junction protein in H. pylori-associated gastric carcinogenesis. PMID: 28839434
- A hydrophobic residue in the TALE homeodomain of PBX1 promotes epithelial-to-mesenchymal transition of gastric carcinoma PMID: 28514754
- PBX1 haploinsufficiency leads to syndromic CAKUT. PMID: 28270404
- This is the first time the protein partners of either E2A-PBX1 or HOXA9 oncoproteins were identified using an unbiased biochemical approach. The identification of translation initiation factors associated with HOXA9 might indicate a novel function for HOX proteins independent of their transcriptional activity. PMID: 28707666
- involved in monogenic anomalies of kidney and urinary tract PMID: 28566479
- these results confirm that PBX1 directly regulates genes related to T cell activation and shows that the lupus-associated isoform PBX1-d has unique molecular functions. PMID: 28257976
- the PBX1 binding motif at its promoter acted to positively regulate STAT3 transcription. PMID: 27590741
- Our results suggest that Pbx1-d impacts lupus development by regulating effector T cell differentiation and promoting follicular helper T cells at the expense of regulatory T cell s and identify Pbx1 as a novel regulator of CD4(+) T cell effector function PMID: 27296664
- Notably, PBX1 and NFE2L1 levels are severely reduced in dopaminergic neurons of the substantia nigra of Parkinson's disease (PD) patients and decreased NFE2L1 levels increases damage by oxidative stress in human midbrain cells. PMID: 27354364
- PBX1 overexpression in MCF10A cells up-regulated most LiMe genes. PMID: 28263391
- results indicate that E2A-PBX1 cooperates with additional gene alterations to develop acute lymphoblastic leukemia; among them, enhanced expression of ZNF521 may play a clinically relevant role in E2A fusion genes to develop B-lineage ALL PMID: 27088431
- Review of the role of the E2A-PBX1 gene rearrangement in the prognosis of childhood acute lymphoblastic leukemia and its central nervous system relapse. PMID: 26509298
- This study thus suggests that RNF6 overexpression in leukemia is under the direction of PBX1 and that the PBX1/RNF6 axis can be developed as a novel therapeutic target of leukemia. PMID: 26971355
- Data identifies PBX1 amplification as a functional hallmark of aggressive ERalpha-positive breast cancers. PMID: 26215677
- We observed significant enrichment of the neuroactive ligand-receptor interaction pathway in TCF3-PBX1 as well as an enrichment of genes involved in immunity and infection pathways in ETV6-RUNX1 subtype PMID: 26237075
- This association study successfully identified two susceptibility Single Nucleotide Polymorphisms, (WNT9B and PBX1) associated with Mayer-Rokitansky-Kuster-Hauser syndrome risk, both separately and interactively. PMID: 26075712
- PBX1 promotes frontal cortex patterning by repressing genes that promote dorsocaudal fate. PMID: 26671461
- Hematopoietic pre-B cell leukemia transcription factor interacting protein enhances gastric cancer cell migration and invasion, and modulates epithelial-mesenchymal transition, which plays a key role in cancer cell migration and invasion. PMID: 26211905
- When intensive chemotherapy was used, the TCF3-PBX1 was associated with a favorable outcome in childhood pre-B ALL. PMID: 25551271
- Induction of PBX1 expression was associated with 13-cisRA responsiveness in neuroblastoma. PMID: 24947929
- In this study, we showed that TCF3-PBX1 positive pediatric BCP-ALL patients treated according to the JACLS ALL02 and CCLSG ALL2004 protocol had favorable outcomes PMID: 24578304
- E2A-PBX1 fusion gene caused by t(1;19)(q23;p13) may be a common genetic change in AIS and a survival determinant for female AIS patients at early stage. PMID: 23688269
- Data indicate that among 31 thymus development-related genes, PBX1 copy number gain and FOXC1 copy number loss were presented in 43.0% and 39.5% of the tumors, respectively. PMID: 23444221
- E2a-pbx1-positive patients are associated with more aggressive acute lymphoblastic leukemia. PMID: 23511488
- The results demonstrate that MEOX1 is a critical target gene and cofactor of PBX1 in ovarian cancers. PMID: 22567123
- PBX1 is a novel pioneer factor defining aggressive ERalpha-positive breast tumors, as it guides ERalpha genomic activity to unique genomic regions promoting a transcriptional program favorable to breast cancer progression. PMID: 22125492
- Splice isoform PBX1-d is expressed more frequently in CD4+ T cells from lupus patients than from healthy controls. Its presence correlates with an increased central memory T cell population. PMID: 22180614
- vthe importance of the Hox-Pbx interaction for the oncogenic activity of Hoxa1 PMID: 21957483
- Klf4 recruits a complex of Meis and Pbx proteins to DNA, resulting in Meis2 transcriptional activation domain-dependent activation of a subset of Klf4 target genes. PMID: 21746878
- Identified 2 known single nucleotide polymorphisms, which indicates that mutations in the coding sequence of PBX1 are not responsible for Mullerian duct abnormalities in Chinese women. PMID: 21575942
- The C-terminal extension of PBX1 folds to form a fourth alpha-helix to a level of 5-10%, even in the absence of binding partners. This suggests that PBX1 transiently preorganizes prior to binding DNA. PMID: 21087615
- Data show that binding of DHS with sequences of HNF1, CDX2, and PBX1 in vitro contribute to understanding of the complexity of cell-type-specific CFTR regulatory mechanisms. PMID: 19782160
- Data demonstrated that overexpressed PBX1 and MEIS1 increased endogenous SOX3 protein expression in both uninduced and RA-induced NT2/D1 cells. PMID: 19799567
- these studies demonstrate that the homeodomain proteins, MEIS1, PBX1B, and PBX2, play an important role in megakaryocytic gene expression PMID: 12609849
- PBX1 complexed with HOXA9 and DNA, so that the posterior Hox hexapeptide adopts an altered conformation. PMID: 12923056
- E2a-Pbx1 and Bmi-1 are likely to play a role in the pathogenesis of human lymphoid leukemias through downregulation of the INK4A-ARF gene PMID: 14536079
- E2A-PBX1 interacts directly with the KIX domain of CBP/p300 in the induction of proliferation in primary hematopoietic cells PMID: 15507449
- HoxD9 and Pbx1 are inappropriately expressed in most human esophageal squamous cell carcinoma. Understanding the role of Hox genes in esophageal epithelial cell carcinogenesis may not only augment early detection but also offer possiblde treatment. PMID: 15770739
- In pancreatic exocrine tissue from obese non-diabetic subjects with increased islet mass, we found that Pbx-1 and Pdx-1 were up-regulated (5.9+/-1.2 and 2.4+/-0.6 versus non-obese). PMID: 15979049
- No coding variant was associated with diabetes and no association was found among African American subjects. Three variants in Caucasians were associated with T2DM. Three variants were significant determinants of insulin sensitivity PMID: 16140554
- The patients with immunophenotype of Pre-B-acute lymphoblastic leukemia were found to carry: E2A/PBX1 and E2A/HLF. PMID: 16215946
- Required for pro-angiogenic homeobox Hox DNA binding and transcriptional activity in endothelial cells. PMID: 16328158
- Androgen-independent cell line DU145 cells lack PLZF gene expression, resulting in the upregulation of Pbx1 and HoxC8 expression. The Pbx1-HoxC8 heterocomplex may lead to androgen-independent growth in prostate cancer. PMID: 16637071
- Targeted-E2A-PBX1 inhibition leads to reduced expression of the EB-1 and Wnt16b genes; aberrant expression of these genes may be a key step in leukemogenesis in t(1;19)-positive pre-B leukemia. PMID: 16769578
- Amino acid substitutions that prevent helix formation prevent both the interaction with KIX domain of cyclic AMP response element-binding protein (CBP) and cell immortalization by E2A-PBX1. PMID: 16914730
- Expanded polyhistidine repeats in HOXA1 enhance aggregation and cell death, resulting in impaired neuronal differentiation and cooperative binding with PBX1. PMID: 17131398
顯示更多
收起更多
-
相關疾病:Congenital anomalies of kidney and urinary tract syndrome with or without hearing loss, abnormal ears, or developmental delay (CAKUTHED)
-
亞細胞定位:Nucleus.
-
蛋白家族:TALE/PBX homeobox family
-
組織特異性:Expressed in the kidney. Expressed in the endothelial cells of the glomeruli and interstitium (at protein level). Expressed in all tissues except in cells of the B and T lineage. Expressed strongly in kidney and brain.
-
數據庫鏈接:
Most popular with customers
-
-
YWHAB Recombinant Monoclonal Antibody
Applications: ELISA, WB, IHC, IF, FC
Species Reactivity: Human, Mouse, Rat
-
-
-
-
-
-















