PAX3 Antibody
-
中文名稱:PAX3兔多克隆抗體
-
貨號:CSB-PA017489HA01HU
-
規格:¥440
-
圖片:
-
Western Blot
Positive WB detected in: A2780 whole cell lysate, A375 whole cell lysate
All lanes: PAX3 antibody at 5.3µg/ml
Secondary
Goat polyclonal to rabbit IgG at 1/50000 dilution
Predicted band size: 53, 25, 23, 45, 46, 54, 56 kDa
Observed band size: 53 kDa -
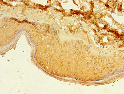
Immunohistochemistry of paraffin-embedded human skin tissue using CSB-PA017489HA01HU at dilution of 1:100
-
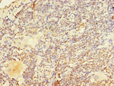
Immunohistochemistry of paraffin-embedded human lung cancer using CSB-PA017489HA01HU at dilution of 1:100
-
Immunofluorescent analysis of Hela cells using CSB-PA017489HA01HU at dilution of 1:100 and Alexa Fluor 488-congugated AffiniPure Goat Anti-Rabbit IgG(H+L)
-
-
其他:
產品詳情
-
產品名稱:Rabbit anti-Homo sapiens (Human) PAX3 Polyclonal antibody
-
Uniprot No.:
-
基因名:
-
別名:CDHS antibody; HUP 2 antibody; HUP2 antibody; MGC120381 antibody; MGC120382 antibody; MGC120383 antibody; MGC120384 antibody; MGC134778 antibody; Paired box 3 antibody; Paired box gene 3 antibody; Paired box homeotic gene 3 antibody; Paired box protein Pax 3 antibody; Paired box protein Pax-3 antibody; Paired box protein Pax3 antibody; Paired domain gene 3 antibody; Paired domain gene HuP2 antibody; PAX 3 antibody; Pax3 antibody; PAX3/FKHR fusion gene antibody; PAX3_HUMAN antibody; Sp antibody; splotch antibody; Waardenburg syndrome 1 antibody; WS 1 antibody; WS1 antibody; WS3 antibody
-
宿主:Rabbit
-
反應種屬:Human
-
免疫原:Recombinant Human Paired box protein Pax-3 protein (90-184AA)
-
免疫原種屬:Homo sapiens (Human)
-
標記方式:Non-conjugated
本頁面中的產品,PAX3 Antibody (CSB-PA017489HA01HU),的標記方式是Non-conjugated。對于PAX3 Antibody,我們還提供其他標記。見下表:
-
克隆類型:Polyclonal
-
抗體亞型:IgG
-
純化方式:>95%, Protein G purified
-
濃度:It differs from different batches. Please contact us to confirm it.
-
保存緩沖液:Preservative: 0.03% Proclin 300
Constituents: 50% Glycerol, 0.01M PBS, PH 7.4 -
產品提供形式:Liquid
-
應用范圍:ELISA, WB, IHC, IF
-
推薦稀釋比:
Application Recommended Dilution WB 1:500-1:5000 IHC 1:20-1:200 IF 1:50-1:200 -
Protocols:
-
儲存條件:Upon receipt, store at -20°C or -80°C. Avoid repeated freeze.
-
貨期:Basically, we can dispatch the products out in 1-3 working days after receiving your orders. Delivery time maybe differs from different purchasing way or location, please kindly consult your local distributors for specific delivery time.
-
用途:For Research Use Only. Not for use in diagnostic or therapeutic procedures.
相關產品
靶點詳情
-
功能:Transcription factor that may regulate cell proliferation, migration and apoptosis. Involved in neural development and myogenesis. Transcriptional activator of MITF, acting synergistically with SOX10.
-
基因功能參考文獻:
- In this review, we will discuss the current knowledge regarding potential therapeutic targets that might contribute to indirect interference with PAX3-FOXO1 activity in alveolar rhabdomyosarcoma at the different molecular levels and extrapolate these findings to fusion transcription factors in general. PMID: 29146205
- Results shows that GILT expression is required for downregulation of PAX-3 proteins in late stage human melanoma cells. GILT co-localizes with PAX-3 proteins regulating its expression through the autophagy and lysosomal degradation pathway in human melanoma cells. PMID: 28857256
- Results demonstrate that serum level of miR-658 is significantly lower in the NM group than in the DM group. Meanwhile, the levels of PAX3 and MET are lower in the NM group than in the DM group too. Both overexpression and silence of miR-658 significantly up-regulate or down-regulate the levels of PAX3 and MET in gastric cell lines. PMID: 29630524
- miR-362-3p/Pax3 axis regulates cell viability, migration and invasion of HTR8/SVneo cells under hypoxia. PMID: 29665647
- In spinal cord tissue, lower PAX3 expression, higher p53 expression, and increased levels of cleaved caspase 3(17kD) and cleaved caspase 8 (18kD) were found in anencephaly cases but not in spina bifida cases when compared with controls. PMID: 28786179
- PAX3 has a major regulatory role in the development, maintenance and progression of certain tumors, which may be related to its role in normal development. [review] PMID: 29730428
- PAX3-FOXO1 fusion protein serves as a driver mutation to initiate a cascade of mRNA and miRNA changes that ultimately reprogram proliferating myoblasts to induce the formation of alveolar rhabdomyosarcoma PMID: 27588498
- Cells harboring the fusion gene are selectively sensitive to small-molecule inhibition of protein targets induced by, or bound to, PAX3-FOXO1-occupied super enhancers. Furthermore, PAX3-FOXO1 recruits and requires the BET bromodomain protein BRD4 to function at super enhancers, resulting in a complete dependence on BRD4 and a significant susceptibility to BRD inhibition PMID: 28446439
- The borders of this novel topologically associating domains (TADs)correspond to the original 5'- and 3'- borders of the PAX3 and FOXO1 TADs, respectively, suggesting that TAD organisation precedes the formation of regulatory long-range interactions. Our results demonstrate that, upon translocation, novel regulatory landscapes are formed allowing new intra-TAD interactions between the original loci involved PMID: 28615069
- identified novel EYA4 mutation can be considered responsible of the hearing loss observed in the proband and her father, while a dual molecular diagnosis was reached in the relatives co-segregating the EYA4 and the PAX3 mutations PMID: 29287889
- Transcriptional factor PAX3 (PAX3) exerted its tumor suppressor function by inhibiting the activity of major signaling pathways and enhancing expression and activity of transcription factor forkhead box O3 protein (FOXO3a). PMID: 27458157
- These previously unreported digenic mutations in PAX3/GJB2 resulted in deafness associated with Waardenburg syndrome type I in this family PMID: 29287868
- Study identified a novel heterozygous mutation of the PAX3 gene causing dysfunction of PAX3 transcription in patients with Waardenburg syndrome type 1. These results indicated that the loss-of-function may be resulting from deletion of the transcription activation domain. PMID: 29158168
- absence of PAX3 mutation in one patient WS1 highlights the fact that the clinical classification is sometimes insufficient to distinguish WS1 from other types WS hence the interest of sequencing the other WS genes in this patient PMID: 29224756
- We present a patient with Waardenburg syndrome type 1 caused by a novel missense variant in PAX3, presenting with myelomeningocele, Arnold-Chiari malformation, and hydrocephalus at birth. PMID: 28686331
- The studies identify a P/CAF-PAX3-FOXO1 signalling node that promotes oncogenesis and may contribute to MyoD dysfunction in Alveolar rhabdomyosarcoma (ARMS). PMID: 27453350
- PAK3 mutation has a role in intellectual disability and macrocephaly in monozygotic twins [family case report with two affected patients] PMID: 28126652
- Pax3 regulates GFAP expression. PMID: 27432276
- novel compound heterozygous mutation c.[169_170insC;172_174delAAG] (p.His57ProfsX55) identified which co-segregated with Waardenburg syndrome type I in Chinese family PMID: 26824486
- FOXD3 is sufficient but not necessary to drive PAX3 expression in melanoma cells. PMID: 26252164
- Secreted Frizzled-Related Protein 3 (SFRP3) Is Required for Tumorigenesis of PAX3-FOXO1-Positive Alveolar Rhabdomyosarcoma PMID: 26071485
- findings suggest a tumor suppressor role for APC/C(Cdh1) in melanocytes and that targeting PAX3 may be a strategy for treating melanoma. PMID: 26329581
- PAX3 phosphorylation has a role in determing melanoma phenotypes by affecting proliferation, invasion, and transformation PMID: 24903325
- All affected members of pedigree IR-WS-20 carried the mutation c.1024_1040 del AGCACGATTCCTTCCAA in exon 7 of PAX3, while none of the unaffected members and 50 of the ethnic matched controls tested had this deletion. PMID: 26279250
- PAX3 differentially regulates various downstream target genes involved in cell proliferation in melanoma cells compared to melanocytes. PMID: 25880082
- The results expand the spectrum of PAX3 mutations and may have implications for the genetic counseling of Waardenburg syndrome in Iran. PMID: 26275939
- Report novel PAX3-NCOA1 gene fusions in biphenotypic sinonasal sarcomas with focal rhabdomyoblastic differentiation. PMID: 26371783
- PAX3-FOXO1 may contribute to tumor formation. PMID: 25806826
- mutation associated with single-side deafness PMID: 26512583
- Data show that transcription factors PAX3 and FOXD3-mediated melanoma cell migration is dependent on promoting the expression of chemokine receptor CXCR4. PMID: 26205821
- findings suggest that PAX3 WS mutants interfere with the normal functions of PAX3 in a dominant negative manner, which is important to the understanding of the pathogenesis of Waardenburg syndrome PMID: 26149688
- discover a pathway where ETS1 advances melanoma through the expression of MET via PAX-dependent and -independent mechanisms PMID: 25531327
- Results suggest that regional Pax3 expression not only marks a novel subset of High-grade Brainstem Glioma but also contributes to PDGF-B-induced brainstem gliomagenesis PMID: 25330836
- Genome-wide association analyses identified four suggestive loci (PAX3, CCRN4L, PIGQ, and ADAM19)determinants of disease progression in Alzheimer's disease. PMID: 25114068
- Indeed, more fusion genes were generated in fore limb myoblasts via a reciprocal t(1;3), which expressed correctly spliced Pax3-Foxo1 mRNA encoding Pax3-Foxo1 fusion protein PMID: 25659124
- It is likely that Cx43 and Pax3 play critical roles in cell proliferation and differentiation during the processes of chorionic villi initiation/development and placental morphogenesis. PMID: 25227101
- Human melanocytes migrated and formed reversible paired box 3 (PAX3) expressing cell clusters on three-dimensional Matrigel PMID: 25128984
- miR-206-PAX3-MET signaling is critical to GC metastasis. PMID: 25653235
- PLK1 interacted with and phosphorylated PAX3-FOXO1 at the novel site S503, leading to protein stabilization. PMID: 25398439
- the PAX3-NCOA2 fusion gene has a dual role in the tumorigenesis of rhabdomyosarcoma PMID: 24213582
- These data support a model in which Pax3 is a new marker of human brown adipocyte progenitors and a molecular mediator of their fate. PMID: 24302443
- PAX3 and MITF are expressed in human melanoma cell lines, but function independently to enhance the survival of melanoma cells PMID: 21164369
- In breast phyllodes tumors, Six1 and Pax3 expression is correlated with tumour grade, unfavourable clinicopathological parameters and poorer clinical outcome, suggesting that both proteins may play a role in malignant progression. PMID: 24438019
- EZH2 is a key factor in the proliferation and survival of PAX3-FOXO1 alveolar RMS cells working, at least in part, by repressing FBXO32 PMID: 24213577
- Recurrent PAX3-MAML3 fusion is associated with biphenotypic sinonasal sarcoma. PMID: 24859338
- a chimeric fusion RNA, PAX3-FOXO1, associated with alveolar rhabdomyosarcoma, is also present in normal non-cancer cells and tissue; when constantly expressed, PAX3-FOXO1 interfered with muscle differentiation process which presumably contributes to tumorigenesis PMID: 24089019
- PAX3 might contribute to oncogenic characteristics of neuroblastoma cells by regulating a variety of crucial signalling pathways. PMID: 24188742
- Waardenburg syndrome types 1, 2 and 3 are associated with mutation of PAX3 (paired box 3)gene on chromosome 2q35. (review) PMID: 24379252
- single-nucleotide polymorphisms in PAX3 are associated with nevus number. PMID: 23751107
- JARID2 is a direct transcriptional target of the PAX3-FOXO1 fusion protein. PMID: 23435416
顯示更多
收起更多
-
相關疾病:Waardenburg syndrome 1 (WS1); Waardenburg syndrome 3 (WS3); Craniofacial-deafness-hand syndrome (CDHS); Rhabdomyosarcoma 2 (RMS2)
-
亞細胞定位:Nucleus.
-
蛋白家族:Paired homeobox family
-
數據庫鏈接:
Most popular with customers
-
-
Phospho-YAP1 (S127) Recombinant Monoclonal Antibody
Applications: ELISA, WB, IHC
Species Reactivity: Human
-
-
-
-
-
-















