PAWR Antibody
-
中文名稱:PAWR兔多克隆抗體
-
貨號:CSB-PA225945
-
規格:¥1100
-
圖片:
-
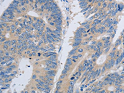
The image on the left is immunohistochemistry of paraffin-embedded Human colon cancer tissue using CSB-PA225945(PAWR Antibody) at dilution 1/60, on the right is treated with synthetic peptide. (Original magnification: ×200)
-
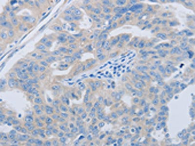
The image on the left is immunohistochemistry of paraffin-embedded Human ovarian cancer tissue using CSB-PA225945(PAWR Antibody) at dilution 1/60, on the right is treated with synthetic peptide. (Original magnification: ×200)
-
Gel: 10%SDS-PAGE, Lysate: 30 μg, Lane 1-2: Hela cells, A549 cells, Primary antibody: CSB-PA225945(PAWR Antibody) at dilution 1/1200, Secondary antibody: Goat anti rabbit IgG at 1/8000 dilution, Exposure time: 10 seconds
-
-
其他:
產品詳情
-
Uniprot No.:
-
基因名:
-
別名:2310001G03Rik antibody; PAR 4 antibody; PAR-4 antibody; Pawr antibody; PAWR_HUMAN antibody; PRKC Apoptosis WT1 Regulator antibody; PRKC apoptosis WT1 regulator protein antibody; Prostate apoptosis response 4 protein antibody; Prostate apoptosis response protein 4 antibody; prostate apoptosis response protein PAR-4 antibody; Transcriptional repressor Par-4-like protein PAWR antibody; Transcriptional repressor PAR4 antibody; WT1 Interacting Protein antibody
-
宿主:Rabbit
-
反應種屬:Human
-
免疫原:Synthetic peptide of Human PAWR
-
免疫原種屬:Homo sapiens (Human)
-
標記方式:Non-conjugated
-
抗體亞型:IgG
-
純化方式:Antigen affinity purification
-
濃度:It differs from different batches. Please contact us to confirm it.
-
保存緩沖液:-20°C, pH7.4 PBS, 0.05% NaN3, 40% Glycerol
-
產品提供形式:Liquid
-
應用范圍:ELISA,WB,IHC
-
推薦稀釋比:
Application Recommended Dilution ELISA 1:1000-1:5000 WB 1:1000-1:3000 IHC 1:25-1:100 -
Protocols:
-
儲存條件:Upon receipt, store at -20°C or -80°C. Avoid repeated freeze.
-
貨期:Basically, we can dispatch the products out in 1-3 working days after receiving your orders. Delivery time maybe differs from different purchasing way or location, please kindly consult your local distributors for specific delivery time.
-
用途:For Research Use Only. Not for use in diagnostic or therapeutic procedures.
相關產品
靶點詳情
-
功能:Pro-apoptotic protein capable of selectively inducing apoptosis in cancer cells, sensitizing the cells to diverse apoptotic stimuli and causing regression of tumors in animal models. Induces apoptosis in certain cancer cells by activation of the Fas prodeath pathway and coparallel inhibition of NF-kappa-B transcriptional activity. Inhibits the transcriptional activation and augments the transcriptional repression mediated by WT1. Down-regulates the anti-apoptotic protein BCL2 via its interaction with WT1. Seems also to be a transcriptional repressor by itself. May be directly involved in regulating the amyloid precursor protein (APP) cleavage activity of BACE1.
-
基因功能參考文獻:
- These findings suggest that PAR4 plays a potential tumor suppressor role in esophageal squamous cell carcinoma cells PMID: 30363984
- we determined that increased miR-17-3P level plays crucial role in CRC cells survival by targeting Par4, contributing to colorectal carcinogenesis. PMID: 29115593
- PAR4 is the target of mir-107 in colorectal cancer cells. PMID: 27938501
- we confirmed that the RASSF2-PAR-4 axis was mainly responsible for miR-7 functions in CAFs using bioinformatics methods. Overexpression of miR-7 in CAFs led to down-regulation of RASSF2, which dramatically decreased the secretion of PAR-4 from CAFs and then enhanced the proliferation and migration of the co-cultured cancer cells. PMID: 27901488
- we investigated in the present study the mechanisms regulating the accumulation of a 25kDa cleaved-Par-4 (cl-Par-4) fragment in ovarian and endometrial cancer cell lines PMID: 27175591
- Authors demonstrate that TRIM21 expression predicts survival in pancreatic cancer patients. This work highlights a novel mechanism of Par-4 regulation, and identifies a novel prognostic marker and potential therapeutic target for pancreatic cancer. PMID: 27830973
- Data suggest that PAR4 and P2Y12 heterodimer internalization/endocytosis is required for beta-arrestin-2 recruitment to endosomes and up-regulation of Akt signaling; activation of PAR4 but not of P2Y12 drives internalization of the PAR4-P2Y12 heterodimer. (PAR4 = protease-activated receptor 4; P2Y12 = purinergic receptor P2Y, G-protein coupled, 12 protein; Akt = proto-oncogene protein c-akt) PMID: 28652403
- In this review, we will focus on the therapeutic perspective of Par-4 with a special reference to its (Par-4) virgin prospect of devastating metastasis control. PMID: 27568374
- in vitro and in vivo upregulation of Par-4 expression is indispensable for the trafficking of GRP78 to the cell membrane and subsequent apoptosis of cancer cell PMID: 28720068
- Prostate apoptosis response 4 (PAR4) expression modulates WNT signaling pathways in MCF7 breast cancer cells: A possible mechanism underlying PAR4-mediated docetaxel chemosensitivity. PMID: 28259909
- Decreased PAR4 expression in breast cancer is associated with shorter survival. PAR4 suppresses growth and invasiveness of breast cancer cells. PMID: 26977019
- Authors determined that PAR-4 induces cell apoptosis in response to stimuli, in vitro, but is also involved in the relocation of GRP78 from endoplasmic reticulum to the cell surface of ovarian cancer cell line. PMID: 26246468
- These results suggest that Porphyromonas gingivalis activates PAR4 signaling pathways, leading proMMP9 over-expression and cellular invasion in oral squamous cell carcinoma cells. PMID: 25670650
- PAR1-platelet releasate enhances vasculogenesis more potently than PAR4-platelet releasate, and the enhancements require a cooperation of multiple platelet-derived angiogenic regulators. PMID: 25495701
- A novel long non-coding RNA T-ALL-R-LncR1 knockdown and Par-4 cooperate to induce cellular apoptosis in T-cell acute lymphoblastic leukemia cells. PMID: 23906015
- Data indicate that PAR1 and PAR4 activate common promigratory signalling pathways in Hep3B liver carcinoma cells including activation of the receptor tyrosine kinases Met and PDGFR, the formation of ROS and the inactivation of PTP1B. PMID: 25373316
- a Par-4 mutant that is unable to bind Fbxo45 is stabilized and further enhances staurosporine-induced apoptosis. PMID: 24992930
- C-terminus of the rat homologue of Par-4 was crystallized and a 3.7 A resolution X-ray diffraction data set was collected PMID: 25195896
- These results indicate that the expression of PAR1 and PAR2 in esophageal squamous cell carcinoma is increased but PAR4 is decreased. PMID: 25297082
- our results indicate that the mechanism by which PAR-4 orchestrates the apoptotic process requires cleavage by caspase-8. PMID: 24931006
- Par-4 is expressed in trophoblastic cells and is involved in transport of GRP78 to the cell surface. PMID: 24282526
- The addition of TRAIL to WIN 55.212-2-treated cells led to apoptotic death probably mediated by up-regulation of the tumor suppressor factor PAR-4, whose levels increased after WIN treatment, and by the translocation of GRP78 on cell surface. PMID: 24795528
- The cancer cell specific activity of Par-4 is elicited through intracellular as well as extracellular mechanisms. PMID: 25001535
- prostate apoptosis response-4 (Par-4) has a role in human glioma stem cells in drug-induced apoptosis PMID: 24523904
- These results suggested a prognostic role of Par-4 in hypopharyngeal carcinoma. PMID: 24418097
- Phosphorylation by CK2 impairs Par-4 proapoptotic functions. PMID: 24457960
- Par-4 is a target of TGF-beta signaling and acts as an important factor during TGF-beta-induced epithelial-to-mesenchymal transition. PMID: 24503536
- Par-4 expression modulates apoptosis in response to docetaxel in MCF7 breast cancer cells. PMID: 23760770
- Down-regulation of protease-activated receptor 4 in lung adenocarcinoma is associated with a more aggressive phenotype PMID: 23886184
- Par-4-induced multinucleation as a mechanism of cell death in oncogene-addicted cells and establish Par-4 as a negative regulator of breast cancer recurrence. PMID: 23770012
- our results identify a novel intracellular pathway of apoptosis mediated by NF-kappaB through UACA elevation, which by attenuating endoplasmic reticulum stress and GRP78 translocation to the cell surface can blunt the sensitivity of cancer cells to apoptosis. PMID: 23204231
- Gamma-tocotrienol inhibited IL-13/STAT6-activated eotaxin secretion via up-regulation of PAR4 expression and enhancement of aPKC-PAR4 complex formation. PMID: 21764283
- a novel mechanism of apoptosis induction by PAR-4/ceramide-enriched exosomes, which may critically contribute to Alzheimer disease. PMID: 22532571
- identified a novel specific caspase-3 cleavage site in Par-4, and the cleaved fragment of Par-4 retains proapoptotic activity PMID: 22184067
- The biological significance of PrPc association with par-4 provided the first evidence of a relationship between the endogenous levels of PrPc and the resistance of glioma cells to the apoptotic effects of TMZ. PMID: 21328340
- 17beta-estradiol and Insulin-like growth factor-1 inhibit PAR-4 gene expression in MCF-7 cells. PMID: 21567071
- Par-4-overexpressing tumors exhibited a bystander effect on wild-type tumors growing distally in the same mouse. PMID: 21555373
- The expression of PAR-4 protein in B cells correlated positively with the percentage of CD38(+) cells, as well as with CD38(+)/ZAP-70(+) cells. PMID: 21526495
- Decreased Par-4 expression is associated with cholangiocarcinoma. PMID: 20724592
- siRNA against Par-4 gene could inhibit the apoptosis of human bone marrow mesenchymal stem cells. PMID: 19099901
- findings suggest that a lower expression level of Par-4 is related to an unfavorable prognosis in breast cancer patients PMID: 20637369
- Downregulation of PAR4 is associated with poor prognosis in breast cancer. PMID: 20514395
- Compared to normal controls, mean Par-4 levels appeared slightly lower in schizophrenia and bipolar disorder. However, in major depression, Par-4 was decreased by 67% compared to normal controls. PMID: 20067857
- Data show that RASSF2 forms a direct and endogenous complex with prostate apoptosis response protein 4 (PAR-4) and that this interaction is regulated by K-Ras and is essential for the full apoptotic effects of PAR-4. PMID: 20368356
- Endoplasmic reticulum stress causes translocation of the Par-4-GRP78 complex from the ER to the plasma membrane, and through a positive feedback loop, extracellular Par-4 binds to cell surface GRP78 activating the extrinsic apoptotic pathway. Review. PMID: 19823030
- Results suggest that, in breast cancer, Par-4 plays a similar tumor suppressor gene role as reported in endometrial carcinoma, and that Par-4 expression has a significant inverse association with expression of progesterone receptor. PMID: 20082875
- These data suggest PAWR is a novel PITX2-interacting protein that regulates PITX2 activity in ocular cells. PMID: 19801652
- mechanical strain increased PAR-4 gene expression in macrophages PMID: 11910304
- role in regulating Bcl-2 through a WT1-binding site on the bcl-2 promoter PMID: 12644474
- Par-4 enables cells to circumvent inhibition of the central executioner caspase-3 by alternative activation of caspases following a decrease in expression levels of inhibitors of apoptosis proteins PMID: 12685825
顯示更多
收起更多
-
亞細胞定位:Cytoplasm. Nucleus.
-
組織特異性:Widely expressed. Expression is elevated in various neurodegenerative diseases such as amyotrophic lateral sclerosis, Alzheimer, Parkinson and Huntington diseases and stroke. Down-regulated in several cancers.
-
數據庫鏈接:
Most popular with customers
-
-
YWHAB Recombinant Monoclonal Antibody
Applications: ELISA, WB, IHC, IF, FC
Species Reactivity: Human, Mouse, Rat
-
Phospho-YAP1 (S127) Recombinant Monoclonal Antibody
Applications: ELISA, WB, IHC
Species Reactivity: Human
-
-
-
-
-















