PAK6 Antibody
-
中文名稱:PAK6兔多克隆抗體
-
貨號:CSB-PA971648
-
規格:¥1100
-
圖片:
-
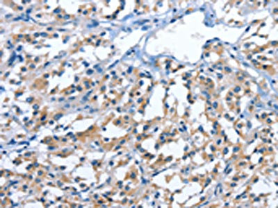
The image on the left is immunohistochemistry of paraffin-embedded Human ovarian cancer tissue using CSB-PA971648(PAK6 Antibody) at dilution 1/40, on the right is treated with fusion protein. (Original magnification: ×200)
-
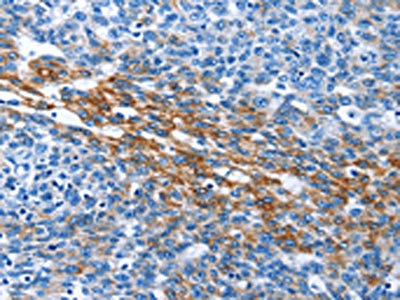
The image on the left is immunohistochemistry of paraffin-embedded Human thyroid cancer tissue using CSB-PA971648(PAK6 Antibody) at dilution 1/40, on the right is treated with fusion protein. (Original magnification: ×200)
-
-
其他:
產品詳情
-
Uniprot No.:
-
基因名:PAK6
-
別名:CDKN1A activated kinase 6 antibody; EC 2.7.1.37 antibody; p21 activated protein kinase 6 antibody; p21 protein (Cdc42/Rac)-activated kinase 6 antibody; p21(CDKN1A) activated kinase 6 antibody; p21-activated kinase 6 antibody; p21activated kinase 6 antibody; PAK 5 antibody; PAK 6 antibody; PAK-5 antibody; PAK-6 antibody; PAK5 antibody; Pak6 antibody; PAK6_HUMAN antibody; Serine threonine protein kinase PAK 6 antibody; Serine/threonine protein kinase PAK 6 antibody; Serine/threonine protein kinase PAK6 antibody; Serine/threonine-protein kinase PAK 6 antibody
-
宿主:Rabbit
-
反應種屬:Human,Mouse
-
免疫原:Fusion protein of Human PAK6
-
免疫原種屬:Homo sapiens (Human)
-
標記方式:Non-conjugated
-
抗體亞型:IgG
-
純化方式:Antigen affinity purification
-
濃度:It differs from different batches. Please contact us to confirm it.
-
保存緩沖液:-20°C, pH7.4 PBS, 0.05% NaN3, 40% Glycerol
-
產品提供形式:Liquid
-
應用范圍:ELISA,IHC
-
推薦稀釋比:
Application Recommended Dilution ELISA 1:2000-1:5000 IHC 1:50-1:100 -
Protocols:
-
儲存條件:Upon receipt, store at -20°C or -80°C. Avoid repeated freeze.
-
貨期:Basically, we can dispatch the products out in 1-3 working days after receiving your orders. Delivery time maybe differs from different purchasing way or location, please kindly consult your local distributors for specific delivery time.
-
用途:For Research Use Only. Not for use in diagnostic or therapeutic procedures.
相關產品
靶點詳情
-
功能:Serine/threonine protein kinase that plays a role in the regulation of gene transcription. The kinase activity is induced by various effectors including AR or MAP2K6/MAPKK6. Phosphorylates the DNA-binding domain of androgen receptor/AR and thereby inhibits AR-mediated transcription. Inhibits also ESR1-mediated transcription. May play a role in cytoskeleton regulation by interacting with IQGAP1. May protect cells from apoptosis through phosphorylation of BAD.
-
亞細胞定位:Cytoplasm. Nucleus. Note=Cotranslocates into nucleus with AR in response to androgen induction.
-
蛋白家族:Protein kinase superfamily, STE Ser/Thr protein kinase family, STE20 subfamily
-
組織特異性:Selectively expressed in brain and testis, with lower levels in multiple tissues including prostate and breast.
-
數據庫鏈接:
Most popular with customers
-
-
YWHAB Recombinant Monoclonal Antibody
Applications: ELISA, WB, IHC, IF, FC
Species Reactivity: Human, Mouse, Rat
-
Phospho-YAP1 (S127) Recombinant Monoclonal Antibody
Applications: ELISA, WB, IHC
Species Reactivity: Human
-
-
-
-
-















