PAG1 Antibody
-
中文名稱:PAG1兔多克隆抗體
-
貨號:CSB-PA885746LA01HU
-
規格:¥440
-
圖片:
-
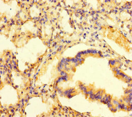
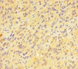
Immunohistochemistry of paraffin-embedded human glioma using CSB-PA885746LA01HU at dilution of 1:100
-
Immunohistochemistry of paraffin-embedded human lung tissue using CSB-PA885746LA01HU at dilution of 1:100
-
Immunofluorescent analysis of Hela cells using CSB-PA885746LA01HU at dilution of 1:100 and Alexa Fluor 488-congugated AffiniPure Goat Anti-Rabbit IgG(H+L)
-
Western Blot
Positive WB detected in: Mouse heart tissue, Mouse lung tissue
All lanes: PAG1 antibody at 3μg/ml
Secondary
Goat polyclonal to rabbit IgG at 1/50000 dilution
Predicted band size: 47 kDa
Observed band size: 47 kDa
-
-
其他:
產品詳情
-
產品名稱:Rabbit anti-Homo sapiens (Human) PAG1 Polyclonal antibody
-
Uniprot No.:
-
基因名:PAG1
-
別名:CBP antibody; Csk binding protein antibody; Csk-binding protein antibody; FLJ37858 antibody; MGC138364 antibody; PAG 1 antibody; PAG antibody; PAG1 antibody; PAG1_HUMAN antibody; Phosphoprotein associated with glycosphingolipid enriched microdomains 1 antibody; Phosphoprotein associated with glycosphingolipid enriched microdomains antibody; Phosphoprotein associated with glycosphingolipid microdomains 1 antibody; Phosphoprotein associated with glycosphingolipid-enriched microdomains 1 antibody; Protein Associated with Glycosphingolipid Enriched Microdomains antibody; Transmembrane adapter protein PAG antibody; Transmembrane phosphoprotein Cbp antibody
-
宿主:Rabbit
-
反應種屬:Human, Mouse
-
免疫原:Recombinant Human Phosphoprotein associated with glycosphingolipid-enriched microdomains 1 protein (97-432AA)
-
免疫原種屬:Homo sapiens (Human)
-
標記方式:Non-conjugated
本頁面中的產品,PAG1 Antibody (CSB-PA885746LA01HU),的標記方式是Non-conjugated。對于PAG1 Antibody,我們還提供其他標記。見下表:
-
克隆類型:Polyclonal
-
抗體亞型:IgG
-
純化方式:>95%, Protein G purified
-
濃度:It differs from different batches. Please contact us to confirm it.
-
保存緩沖液:Preservative: 0.03% Proclin 300
Constituents: 50% Glycerol, 0.01M PBS, PH 7.4 -
產品提供形式:Liquid
-
應用范圍:ELISA, WB, IHC, IF
-
推薦稀釋比:
Application Recommended Dilution WB 1:2000-1:5000 IHC 1:20-1:200 IF 1:50-1:200 -
Protocols:
-
儲存條件:Upon receipt, store at -20°C or -80°C. Avoid repeated freeze.
-
貨期:Basically, we can dispatch the products out in 1-3 working days after receiving your orders. Delivery time maybe differs from different purchasing way or location, please kindly consult your local distributors for specific delivery time.
-
用途:For Research Use Only. Not for use in diagnostic or therapeutic procedures.
相關產品
靶點詳情
-
功能:Negatively regulates TCR (T-cell antigen receptor)-mediated signaling in T-cells and FCER1 (high affinity immunoglobulin epsilon receptor)-mediated signaling in mast cells. Promotes CSK activation and recruitment to lipid rafts, which results in LCK inhibition. Inhibits immunological synapse formation by preventing dynamic arrangement of lipid raft proteins. May be involved in cell adhesion signaling.
-
基因功能參考文獻:
- Low PAG1 expression is associated neuroblastoma. PMID: 26993602
- Our study highlights the underlying mechanism of cross interaction between ASCs and breast cancer cells, and indicates that PAG1/Cbp in breast cancer cell may modulate tumor progression and acquired chemoresistance in the ASCs-associated breast cancer microenvironment through Src and AKT/mTOR pathways. PMID: 29079189
- Up-regulated expression of CBP in Jurkat cells could reduce cell homogeneity and promote cell apoptosis PMID: 26062415
- No association Pag1 mutation with patient with Schizophrenia. PMID: 25005592
- The risk-associated allele of rs2370615 predisposes to allergic disease by increasing PAG1 expression, which might promote B cell activation and have a pro-inflammatory effect. PMID: 26211970
- CBP may decrease the metastasis of esophageal carcinoma by inhibiting the activation of Src. PMID: 25684946
- The inhibitory function of novobiocin in disrupting the HIF1alpha/p300 complex might be important in tumor cell growth. PMID: 23671581
- siRNA directed against PAG1 in a radioresistant (Hep-2max) cell line dramatically enhanced the radiosensitivity and IR-induced cell death. PMID: 22994656
- expression of CBP gene is decreased in esophageal carcinoma, which might contribute to the tumorigenesis and progression. PMID: 22027792
- findings support a negative regulatory function for Cbp/PAG in proximal B cell receptor signaling in normal and EBV-transformed B cells PMID: 22659621
- An over-expression of PAG1 in PC-3M-1E8 cells effectively suppresses the activation of Ras and ERK, as well as the cyclin D1 expression, leading to an inhibition of the proliferation ability of tumor cells. PMID: 21092590
- Cbp down-regulation is primarily mediated by epigenetic histone modifications via oncogenic MAPK/PI3K pathways in a subset of cancer cells. PMID: 21388951
- Results indicate that Cbp is required for the Csk-mediated inactivation of c-Src and may control the promotion of malignancy in NSCLC tumors that are characterized by c-Src upregulation. PMID: 21156787
- PAG1 protein was downregulated in PC-3M-1E8 prostate cancer cell line. PMID: 20388373
- In the membrane environment of ALK+ lymphoma rafts, where the glycosphingolipid to signaling protein ratio is higher than in B-NHL rafts, the Lyn activity is suboptimal and does not allow the formation of an efficient Lyn-Cbp/PAG signalosome PMID: 20561033
- Study shows EGF-stimulation-induced Csk-binding protein (Cbp) tyrosine phosphorylation followed by Cbp-Csk association, in a SFK-dependent manner. PMID: 16636672
- High PAG-binding ability with CSK in vitro as well as the human PAG structure characterized by 11 alpha-helix structures including a 3 kDa transmembrane domain are reported. PMID: 16947079
- PAG negatively regulates Ras proteins, and by knocking down PAG there is enhanced Src kinase activity and Ras activation. PMID: 17389760
- engagement of the SH2 domain on PAG renders FynT insensitive to Csk negative regulation PMID: 18056706
- role in control of proliferation and survival in most B-non-Hodgkin lymphomas PMID: 18070987
- new insights into the function of Cbp in modulating RhoA activation, by which Cbp might contribute to renal cell carcinogenesis PMID: 19581936
顯示更多
收起更多
-
亞細胞定位:Cell membrane; Single-pass type III membrane protein. Note=Present in lipid rafts.
-
組織特異性:Ubiquitously expressed. Present in germinal center B-cells, plasma cells, T-cells, monocytes and platelets (at protein level).
-
數據庫鏈接:
Most popular with customers
-
-
YWHAB Recombinant Monoclonal Antibody
Applications: ELISA, WB, IHC, IF, FC
Species Reactivity: Human, Mouse, Rat
-
Phospho-YAP1 (S127) Recombinant Monoclonal Antibody
Applications: ELISA, WB, IHC
Species Reactivity: Human
-
-
-
-
-















