PAFAH2 Antibody
-
中文名稱:PAFAH2兔多克隆抗體
-
貨號:CSB-PA857448LA01HU
-
規格:¥440
-
圖片:
-
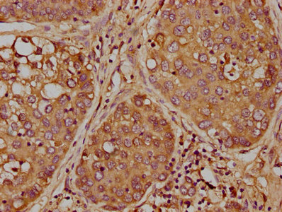
IHC image of CSB-PA857448LA01HU diluted at 1:300 and staining in paraffin-embedded human liver cancer performed on a Leica BondTM system. After dewaxing and hydration, antigen retrieval was mediated by high pressure in a citrate buffer (pH 6.0). Section was blocked with 10% normal goat serum 30min at RT. Then primary antibody (1% BSA) was incubated at 4°C overnight. The primary is detected by a biotinylated secondary antibody and visualized using an HRP conjugated SP system.
-
Immunofluorescence staining of HepG2 cells with CSB-PA857448LA01HU at 1:100, counter-stained with DAPI. The cells were fixed in 4% formaldehyde, permeabilized using 0.2% Triton X-100 and blocked in 10% normal Goat Serum. The cells were then incubated with the antibody overnight at 4°C. The secondary antibody was Alexa Fluor 488-congugated AffiniPure Goat Anti-Rabbit IgG(H+L).
-
-
其他:
產品詳情
-
產品名稱:Rabbit anti-Homo sapiens (Human) PAFAH2 Polyclonal antibody
-
Uniprot No.:
-
基因名:PAFAH2
-
別名:PAFAH2Platelet-activating factor acetylhydrolase 2 antibody; cytoplasmic antibody; EC 3.1.1.47 antibody; Serine-dependent phospholipase A2 antibody; SD-PLA2 antibody; hSD-PLA2 antibody
-
宿主:Rabbit
-
反應種屬:Human
-
免疫原:Recombinant Human Platelet-activating factor acetylhydrolase 2, cytoplasmic protein (1-206AA)
-
免疫原種屬:Homo sapiens (Human)
-
標記方式:Non-conjugated
本頁面中的產品,PAFAH2 Antibody (CSB-PA857448LA01HU),的標記方式是Non-conjugated。對于PAFAH2 Antibody,我們還提供其他標記。見下表:
-
克隆類型:Polyclonal
-
抗體亞型:IgG
-
純化方式:>95%, Protein G purified
-
濃度:It differs from different batches. Please contact us to confirm it.
-
保存緩沖液:Preservative: 0.03% Proclin 300
Constituents: 50% Glycerol, 0.01M PBS, pH 7.4 -
產品提供形式:Liquid
-
應用范圍:ELISA, IHC, IF
-
推薦稀釋比:
Application Recommended Dilution IHC 1:200-1:500 IF 1:50-1:200 -
Protocols:
-
儲存條件:Upon receipt, store at -20°C or -80°C. Avoid repeated freeze.
-
貨期:Basically, we can dispatch the products out in 1-3 working days after receiving your orders. Delivery time maybe differs from different purchasing way or location, please kindly consult your local distributors for specific delivery time.
-
用途:For Research Use Only. Not for use in diagnostic or therapeutic procedures.
相關產品
靶點詳情
-
功能:Catalyzes the hydrolyze of the acetyl group at the sn-2 position of platelet-activating factor (PAF) and its analogs, leading to their inactivation. Hydrolyzes propionyl and butyroyl moieties approximately half as effectively as PAF. Also catalyzes transacetylation of the acetyl group from platelet-activating factor (PAF) to lysoplasmalogen and to sphingosine, producing plasmalogen analogs of PAF and N-acetylsphingosine (C2-ceramide) respectively. Has a marked selectivity for phospholipids with short acyl chains at the sn-2 position.
-
基因功能參考文獻:
- Data show that the activity of plasma platelet activating factor acetylhydrolase (PAF-AH) increases in parallel with diabetic retinopathy (DR) severity. PMID: 26791393
- The oligomeric state of PAFAH-II drives functional protein trafficking. PAFAH-II localization to the membrane is critical for substrate acquisition and effective oxidative stress protection. PMID: 25707358
- presence of platelet-activating factor acetylhydrolase II in a restricted pattern in human skin; it is involved in protecting this organ against oxidative stress through the degradation of oxidatively modified bioactive phospholipids. PMID: 12406338
- Lp-PLA2 was higher in those with more extensive Coronary artery disease PMID: 17157859
- PAF-AH II exerts strong neuroprotective effects against ischemic injury: the neurological deficit scores, cerebral edema index, and relative infarction volume are all significantly lower in PAFAH2 transgenic mice than in wild-type mice. PMID: 17272759
- examines substrate specificity for intracellular and plasma PAF-AHs PMID: 11294621
顯示更多
收起更多
-
亞細胞定位:Cytoplasm. Membrane; Lipid-anchor. Endoplasmic reticulum membrane; Lipid-anchor.
-
蛋白家族:Serine esterase family
-
組織特異性:Broadly expressed in different tissues, but high in B- and T-lymphocytes. In brain, expression is restricted to amygdala and frontal cortex.
-
數據庫鏈接:
Most popular with customers
-
-
YWHAB Recombinant Monoclonal Antibody
Applications: ELISA, WB, IHC, IF, FC
Species Reactivity: Human, Mouse, Rat
-
Phospho-YAP1 (S127) Recombinant Monoclonal Antibody
Applications: ELISA, WB, IHC
Species Reactivity: Human
-
-
-
-
-















