PAFAH1B3 Antibody
-
中文名稱:PAFAH1B3兔多克隆抗體
-
貨號:CSB-PA619963LA01HU
-
規格:¥440
-
圖片:
-
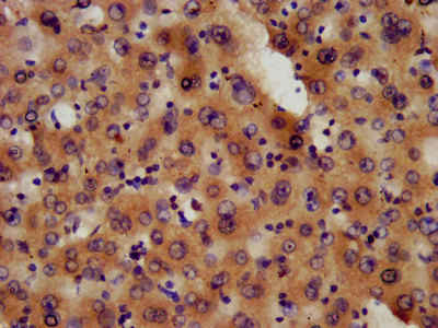
IHC image of CSB-PA619963LA01HU diluted at 1:600 and staining in paraffin-embedded human liver tissue performed on a Leica BondTM system. After dewaxing and hydration, antigen retrieval was mediated by high pressure in a citrate buffer (pH 6.0). Section was blocked with 10% normal goat serum 30min at RT. Then primary antibody (1% BSA) was incubated at 4°C overnight. The primary is detected by a biotinylated secondary antibody and visualized using an HRP conjugated SP system.
-
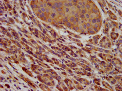
IHC image of CSB-PA619963LA01HU diluted at 1:600 and staining in paraffin-embedded human pancreatic cancer performed on a Leica BondTM system. After dewaxing and hydration, antigen retrieval was mediated by high pressure in a citrate buffer (pH 6.0). Section was blocked with 10% normal goat serum 30min at RT. Then primary antibody (1% BSA) was incubated at 4°C overnight. The primary is detected by a biotinylated secondary antibody and visualized using an HRP conjugated SP system.
-
Immunofluorescence staining of A549 cells with CSB-PA619963LA01HU at 1:200, counter-stained with DAPI. The cells were fixed in 4% formaldehyde, permeabilized using 0.2% Triton X-100 and blocked in 10% normal Goat Serum. The cells were then incubated with the antibody overnight at 4°C. The secondary antibody was Alexa Fluor 488-congugated AffiniPure Goat Anti-Rabbit IgG(H+L).
-
-
其他:
產品詳情
-
產品名稱:Rabbit anti-Homo sapiens (Human) PAFAH1B3 Polyclonal antibody
-
Uniprot No.:
-
基因名:PAFAH1B3
-
別名:PA1B3_HUMAN antibody; PAF acetylhydrolase 29 kDa subunit antibody; PAF AH 29 kDa subunit antibody; PAF AH subunit gamma antibody; PAF-AH 29 kDa subunit antibody; PAF-AH subunit gamma antibody; PAFAH subunit gamma antibody; Pafah1b3 antibody; PAFAHG antibody; Platelet activating factor acetylhydrolase IB subunit gamma antibody; Platelet activating factor acetylhydrolase isoform Ib gamma subunit (29kD) antibody; Platelet activating factor acetylhydrolase isoform Ib gamma subunit 29kDa antibody; Platelet activating factor acetylhydrolase isoform Ib gamma subunit antibody; Platelet-activating factor acetylhydrolase IB subunit gamma antibody
-
宿主:Rabbit
-
反應種屬:Human
-
免疫原:Recombinant Human Platelet-activating factor acetylhydrolase IB subunit gamma protein (103-187AA)
-
免疫原種屬:Homo sapiens (Human)
-
標記方式:Non-conjugated
本頁面中的產品,PAFAH1B3 Antibody (CSB-PA619963LA01HU),的標記方式是Non-conjugated。對于PAFAH1B3 Antibody,我們還提供其他標記。見下表:
-
克隆類型:Polyclonal
-
抗體亞型:IgG
-
純化方式:>95%, Protein G purified
-
濃度:It differs from different batches. Please contact us to confirm it.
-
保存緩沖液:Preservative: 0.03% Proclin 300
Constituents: 50% Glycerol, 0.01M PBS, pH 7.4 -
產品提供形式:Liquid
-
應用范圍:ELISA, IHC, IF
-
推薦稀釋比:
Application Recommended Dilution IHC 1:500-1:1000 IF 1:200-1:500 -
Protocols:
-
儲存條件:Upon receipt, store at -20°C or -80°C. Avoid repeated freeze.
-
貨期:Basically, we can dispatch the products out in 1-3 working days after receiving your orders. Delivery time maybe differs from different purchasing way or location, please kindly consult your local distributors for specific delivery time.
-
用途:For Research Use Only. Not for use in diagnostic or therapeutic procedures.
相關產品
靶點詳情
-
功能:Alpha1 catalytic subunit of the cytosolic type I platelet-activating factor (PAF) acetylhydrolase (PAF-AH (I)) heterotetrameric enzyme that catalyzes the hydrolyze of the acetyl group at the sn-2 position of PAF and its analogs and modulates the action of PAF. The activity and substrate specificity of PAF-AH (I) are affected by its subunit composition. Both alpha1/alpha1 homodimer (PAFAH1B3/PAFAH1B3 homodimer) and alpha1/alpha2 heterodimer(PAFAH1B3/PAFAH1B2 heterodimer) hydrolyze 1-O-alkyl-2-acetyl-sn-glycero-3-phosphoric acid (AAGPA) more efficiently than PAF, but they have little hydrolytic activity towards 1-O-alkyl-2-acetyl-sn-glycero-3-phosphorylethanolamine (AAGPE). Plays an important role during the development of brain.
-
基因功能參考文獻:
- PAFAH1B3 as a critical metabolic node in breast cancer PMID: 24954006
- PAFAH1B3 has been found to be differentially methylated in head and neck squamous cell carcinoma. PMID: 22461910
-
亞細胞定位:Cytoplasm.
-
蛋白家族:'GDSL' lipolytic enzyme family, Platelet-activating factor acetylhydrolase IB beta/gamma subunits subfamily
-
組織特異性:In the adult, expressed in brain, skeletal muscle, kidney, thymus, spleen, colon, testis, ovary and peripheral blood leukocytes. In the fetus, highest expression occurs in brain.
-
數據庫鏈接:
Most popular with customers
-
-
YWHAB Recombinant Monoclonal Antibody
Applications: ELISA, WB, IHC, IF, FC
Species Reactivity: Human, Mouse, Rat
-
Phospho-YAP1 (S127) Recombinant Monoclonal Antibody
Applications: ELISA, WB, IHC
Species Reactivity: Human
-
-
-
-
-















