PACSIN2 Antibody
-
中文名稱:PACSIN2兔多克隆抗體
-
貨號:CSB-PA829328
-
規格:¥1100
-
圖片:
-
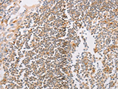
The image on the left is immunohistochemistry of paraffin-embedded Human lung cancer tissue using CSB-PA829328(PACSIN2 Antibody) at dilution 1/20, on the right is treated with fusion protein. (Original magnification: ×200)
-
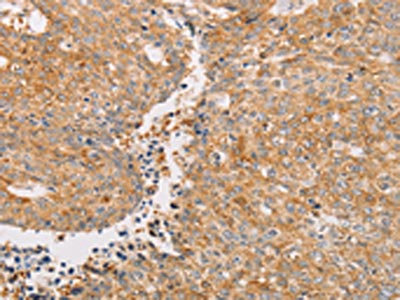
The image on the left is immunohistochemistry of paraffin-embedded Human esophagus cancer tissue using CSB-PA829328(PACSIN2 Antibody) at dilution 1/20, on the right is treated with fusion protein. (Original magnification: ×200)
-
-
其他:
產品詳情
-
Uniprot No.:
-
基因名:PACSIN2
-
別名:cytoplasmic phosphoprotein PACSIN2 antibody; OTTHUMP00000198281 antibody; OTTHUMP00000198282 antibody; OTTHUMP00000198283 antibody; OTTHUMP00000198284 antibody; PACN2_HUMAN antibody; Pacsin2 antibody; protein kinase C and casein kinase substrate in neurons 2 antibody; Protein kinase C and casein kinase substrate in neurons protein 2 antibody; SDPII antibody; Syndapin II antibody
-
宿主:Rabbit
-
反應種屬:Human,Mouse,Rat
-
免疫原:Fusion protein of Human PACSIN2
-
免疫原種屬:Homo sapiens (Human)
-
標記方式:Non-conjugated
-
抗體亞型:IgG
-
純化方式:Antigen affinity purification
-
濃度:It differs from different batches. Please contact us to confirm it.
-
保存緩沖液:-20°C, pH7.4 PBS, 0.05% NaN3, 40% Glycerol
-
產品提供形式:Liquid
-
應用范圍:ELISA,IHC
-
推薦稀釋比:
Application Recommended Dilution ELISA 1:2000-1:5000 IHC 1:25-1:100 -
Protocols:
-
儲存條件:Upon receipt, store at -20°C or -80°C. Avoid repeated freeze.
-
貨期:Basically, we can dispatch the products out in 1-3 working days after receiving your orders. Delivery time maybe differs from different purchasing way or location, please kindly consult your local distributors for specific delivery time.
-
用途:For Research Use Only. Not for use in diagnostic or therapeutic procedures.
相關產品
靶點詳情
-
功能:Regulates the morphogenesis and endocytosis of caveolae. Lipid-binding protein that is able to promote the tubulation of the phosphatidic acid-containing membranes it preferentially binds. Plays a role in intracellular vesicle-mediated transport. Involved in the endocytosis of cell-surface receptors like the EGF receptor, contributing to its internalization in the absence of EGF stimulus.; (Microbial infection) Specifically enhances the efficiency of HIV-1 virion spread by cell-to-cell transfer. Also promotes the protrusion engulfment during cell-to-cell spread of bacterial pathogens like Listeria monocytogenes. Involved in lipid droplet formation, which is important for HCV virion assembly.
-
基因功能參考文獻:
- Pacsin2 recruitment is important for maintenance of cell-cell adhesion by stabilizing the VE-cadherin complex within focal adherens junctions and inhibition of its internalization. PMID: 27417273
- observations indicate that PACSIN2 promotes the cell-to-cell spreading of HIV-1 by connecting Gag to the actin cytoskeleton. PMID: 29891700
- To our knowledge, this is the first study showing PACSIN2 genotype association with hematological toxicity in ALL patients undergoing maintenance therapy. PMID: 27452984
- FlnA binding to PACSIN2 F-BAR domain regulates membrane tubulation in megakaryocytes and platelets. PMID: 25838348
- our results provide new insights into the mechanism of cellular intoxication by TcdA and the role of PACSIN2 in endocytosis. PMID: 27942025
- proposed a packing model for the assembly of PACSIN 2 on membrane, where the proteins are connected by tip-to-tip and wedge loop-mediated lateral interactions on the surface of membrane to generate various diameter tubules PMID: 23888307
- PACSIN2 phosphorylation decreases its membrane-binding activity, thereby decreasing its stabilizing effect on caveolae and triggering dynamin-mediated removal of caveolae. PMID: 26092940
- PC1 modulates actin cytoskeleton rearrangements and directional cell migration through the Pacsin 2/N-Wasp complex. PMID: 24385601
- Cooperation of MICAL-L1, pacsin 2 (syndapin2), and phosphatidic acid in tubular recycling endosome biogenesis. PMID: 23596323
- These data indicate that polymorphism in PACSIN2 significantly modulates TPMT activity and influences the risk of GI toxicity associated with mercaptopurine therapy. PMID: 22846425
- a novel role for the F-BAR-domain protein PACSIN2 in regulating EGF receptor surface levels and EGF-induced downstream signaling. PMID: 23129763
- important role in the formation of plasma membrane caveolae PMID: 21807942
- Data identify the BAR-domain protein PACSIN2 as a Rac1 interactor that regulates Rac1-mediated cell spreading and migration. PMID: 21693584
- PACSIN2 regulates cell spreading and cell migration, which are dependent on cyclin D1 expression. PMID: 21200149
- Results indicate that PACSIN2 mediates membrane sculpting by caveolin-1 in caveola morphology and recruits dynamin-2 for caveola fission. PMID: 21610094
- Since the curvature of the neck of the microspike and that of the tubulation share similar geometry, the pacsin2 EFC/F-BAR domain is considered to facilitate both microspike formation and tubulation. PMID: 20188097
- Thus, syndapin-dynamin complexes are crucial and sufficient to promote vesicle formation from the trans-Golgi network. PMID: 16551695
- These findings suggest a novel function for PACSIN proteins 1, 2, and 3 in dynamic microtubule nucleation. PMID: 18456257
- The regulated deformation of membranes and promotion of tubule constrictions by Pacsin suggests a more versatile function of these proteins in vesiculation and endocytosis. PMID: 19549836
顯示更多
收起更多
-
亞細胞定位:Cytoplasm. Cytoplasm, cytoskeleton. Cytoplasmic vesicle membrane; Peripheral membrane protein; Cytoplasmic side. Early endosome. Recycling endosome membrane. Cell projection, ruffle membrane; Peripheral membrane protein; Cytoplasmic side. Cell membrane; Peripheral membrane protein; Cytoplasmic side. Cell projection. Membrane, caveola. Note=Detected at the neck of flask-shaped caveolae. Localization to tubular recycling endosomes probably requires interaction with MICALL1 and EHD1.
-
蛋白家族:PACSIN family
-
組織特異性:Widely expressed.
-
數據庫鏈接:
Most popular with customers
-
-
YWHAB Recombinant Monoclonal Antibody
Applications: ELISA, WB, IHC, IF, FC
Species Reactivity: Human, Mouse, Rat
-
Phospho-YAP1 (S127) Recombinant Monoclonal Antibody
Applications: ELISA, WB, IHC
Species Reactivity: Human
-
-
-
-
-















