P2RY6 Antibody
-
中文名稱:P2RY6兔多克隆抗體
-
貨號:CSB-PA977071
-
規格:¥1100
-
圖片:
-
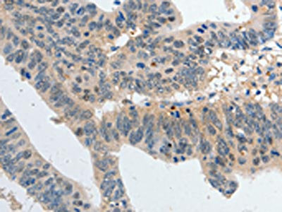
The image on the left is immunohistochemistry of paraffin-embedded Human colon cancer tissue using CSB-PA977071(P2RY6 Antibody) at dilution 1/80, on the right is treated with synthetic peptide. (Original magnification: ×200)
-
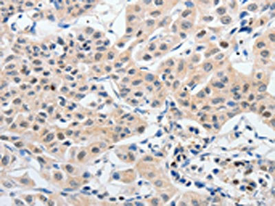
The image on the left is immunohistochemistry of paraffin-embedded Human lung cancer tissue using CSB-PA977071(P2RY6 Antibody) at dilution 1/80, on the right is treated with synthetic peptide. (Original magnification: ×200)
-
Gel: 10%SDS-PAGE, Lysate: 40 μg, Lane: Mouse spleen tissue, Primary antibody: CSB-PA977071(P2RY6 Antibody) at dilution 1/650, Secondary antibody: Goat anti rabbit IgG at 1/8000 dilution, Exposure time: 1 minute
-
-
其他:
產品詳情
-
Uniprot No.:
-
基因名:
-
別名:P2RY6; PP2891; P2Y purinoceptor 6; P2Y6
-
宿主:Rabbit
-
反應種屬:Human,Mouse,Rat
-
免疫原:Synthetic peptide of Human P2RY6
-
免疫原種屬:Homo sapiens (Human)
-
標記方式:Non-conjugated
-
抗體亞型:IgG
-
純化方式:Antigen affinity purification
-
濃度:It differs from different batches. Please contact us to confirm it.
-
保存緩沖液:-20°C, pH7.4 PBS, 0.05% NaN3, 40% Glycerol
-
產品提供形式:Liquid
-
應用范圍:ELISA,WB,IHC
-
推薦稀釋比:
Application Recommended Dilution ELISA 1:1000-1:5000 WB 1:200-1:1000 IHC 1:100-1:300 -
Protocols:
-
儲存條件:Upon receipt, store at -20°C or -80°C. Avoid repeated freeze.
-
貨期:Basically, we can dispatch the products out in 1-3 working days after receiving your orders. Delivery time maybe differs from different purchasing way or location, please kindly consult your local distributors for specific delivery time.
-
用途:For Research Use Only. Not for use in diagnostic or therapeutic procedures.
相關產品
靶點詳情
-
功能:Receptor for extracellular UDP > UTP > ATP. The activity of this receptor is mediated by G proteins which activate a phosphatidylinositol-calcium second messenger system.
-
基因功能參考文獻:
- Prostaglandin E2 glyceryl ester is an endogenous agonist of the nucleotide receptor P2Y6. PMID: 28539604
- The present study shows that sustained activation of P2Y6R may contribute to intestinal tumorigenesis by blocking the apoptotic process and by contributing to chemoresistance, a substantial concern in the treatment of patients with CRC. PMID: 29454075
- UDP/P2Y6 receptor signaling is involved in the regulation of IgE-dependent degranulation in basophils, which might stimulate the P2Y6 receptor via the autocrine secretion of UTP. Thus, this receptor represents a potential target to regulate IgE-dependent degranulation in basophils during allergic diseases. PMID: 28318884
- Expression levels of P2Y6 receptor were higher in Parkinson's disease patients compared to healthy controls. PMID: 28219441
- These data suggest that, without infection, inactivated-H5N1 induces mRNA expression of IL-6 and CXCL8 by a mechanism, or mechanisms, requiring interaction between viral hemagglutinin and alpha-2,3 sialic acid receptors at the cell membrane of host cells, and involves activation of P2Y6 purinergic receptors. PMID: 28494003
- Rescuing miR-185 expression to inhibit P2Y6 may represent a therapeutic strategy against human aortic vascular smooth muscle cells dysfunction and hypertension. PMID: 28277742
- data demonstrate that HNP-1 induces IL-8 production not only through P2Y6, but also through additional P2 receptors via an ERK1/2-dependent mechanism in intestinal epithelial cells. PMID: 25816245
- nucleotides released during the airway inflammatory processes will activate P2Y6 receptors, which will lead to further release of inflammatory cytokines. PMID: 25243587
- Data indicate that after P2Y6 receptor stimulation both phospholipase D (PLD) and DGKzeta enzymes are responsible for producing phosphatidic acid (PA). PMID: 23723068
- Using rat P2Y6 recombinant protein expressed in human astrocytoma cells, the authors found that the P2Y6 receptor is highly selective for UDP over UTP. PMID: 8700127
- no obvious correlation was found between the expression of P2Y6 and breast cancer cell proliferation PMID: 22558990
- Report role of ecto-NTPDases on UDP-sensitive P2Y(6) receptor activation during osteogenic differentiation of primary bone marrow stromal cells from postmenopausal women. PMID: 21898410
- P2Y(6) receptor signaling pathway may be a potential therapeutic target for MSU-associated inflammatory diseases, such as tophaceous gout. PMID: 22102722
- P2Y6 receptor transgene is an important endogenous inhibitor of T cell function in mice with allergic pulmonary inflammation PMID: 21724990
- human microvascular endothelia exposed to inflammatory stimuli, followed by measurements of P2Y or P2X transcriptional responses, showed a selective induction of the P2Y(6) receptor PMID: 21173118
- activation of P2Y6 receptor mediates the UVB-radiation-induced activation of p38 MAPK and expression of COX-2 PMID: 21388279
- P2Y6 receptors and ADAM17 mediates the low-dose gamma-radiation-induced activation of EGFR. PMID: 21268712
- modulation of human cavernosal smooth muscle relaxation can be achieved by activation of the P2Y6 receptor via non-neuronal and non-NO-dependent mechanisms, reinforcing the possible involvement of purinergic signalling in the erectile process PMID: 17971163
- hypertonic stress increases T cell interleukin-2 expression through a mechanism that involves ATP release, P2 receptor, and p38 MAPK activation PMID: 12464620
- P2Y(6) receptors interact rapidly with the TNF alpha-related intracellular signals to prevent apoptotic cell death. PMID: 12623123
- P2Y6 receptors highly responsive to UDP are endogenously expressed in human neuroblastoma SK-N-BE(2)C cells and they are involved in modulation of phospholipase C-coupled receptor-mediated Ca2+ mobilization by depleting the IP3-sensitive Ca2+ stores PMID: 12716436
- findings expand the pro-inflammatory biology of UDP mediated by the P2Y6 receptor PMID: 15796906
- P2Y receptors revealed that the P2Y6 (ligand of UDP) signaling pathway plays a predominant role in mediating human neutrophil peptides-induced IL-8 production. PMID: 16322472
- inotropic effects of UDP, mediated by P2Y6 receptors PMID: 16543499
- on/off effect of IL-13 on P2Y(6)-induced Cl-secretion may help to identify the molecular determinants responsible for the CaCC channel activity PMID: 17762175
- P2Y6 receptor expression is increased by the stress-associated inflammatory response of Caco-2 intestinal epithelial cells. PMID: 18250478
- These results indicate that activation of Galpha(12/13) in cardiomyocytes by the extracellular nucleotides-stimulated P2Y(6) receptor triggers fibrosis in pressure overload-induced cardiac fibrosis PMID: 19008857
- P2Y agonists stimulate Ca(2+)-dependent Cl(-) secretion across human bronchial epithelia and that the cAMP/PKA pathway regulates apical but not basolateral P2Y(6) receptor-coupled ion transport in human bronchial epithelia PMID: 19011163
- Human mast cells express uridine diphosphate-selective P2Y6 receptors that cooperate with type 1 cysteinyl-leukotriene receptors to promote cell survival and chemokine generation by a pathway involving reciprocal ligand-mediated cross-talk. PMID: 19124756
顯示更多
收起更多
-
亞細胞定位:Cell membrane; Multi-pass membrane protein.
-
蛋白家族:G-protein coupled receptor 1 family
-
數據庫鏈接:
Most popular with customers
-
-
YWHAB Recombinant Monoclonal Antibody
Applications: ELISA, WB, IHC, IF, FC
Species Reactivity: Human, Mouse, Rat
-
Phospho-YAP1 (S127) Recombinant Monoclonal Antibody
Applications: ELISA, WB, IHC
Species Reactivity: Human
-
-
-
-
-















