OVOL1 Antibody
-
中文名稱:OVOL1兔多克隆抗體
-
貨號:CSB-PA017303LA01HU
-
規格:¥3,900
-
圖片:
-
Western Blot
Positive WB detected in: U251 whole cell lysate(20μg), MCF7 whole cell lysate(20μg), PC-3 whole cell lysate(20μg), 293T whole cell lysate(20μg), A549 whole cell lysate(20μg),Mouse Brain tissue lysate(20μg)
All lanes: OVOL1 antibody at 1:1000
Secondary
Goat polyclonal to rabbit IgG at 1/50000 dilution
Predicted band size: 31 kDa
Observed band size: 31 kDa
Exposure time: 30s -
IHC image of CSB-PA017303LA01HU diluted at 1:50 and staining in paraffin-embedded human stomach tissue performed on a Leica BondTM system. After dewaxing and hydration, antigen retrieval was mediated by high pressure in a citrate buffer (pH 6.0). Section was blocked with 10% normal goat serum 30min at RT. Then primary antibody (1% BSA) was incubated at 4°C overnight. The primary is detected by a Goat anti-rabbit polymer IgG labeled by HRP and visualized using 0.05% DAB. Secondary antibody only control: uses 1% BSA instead of primary antibody
-
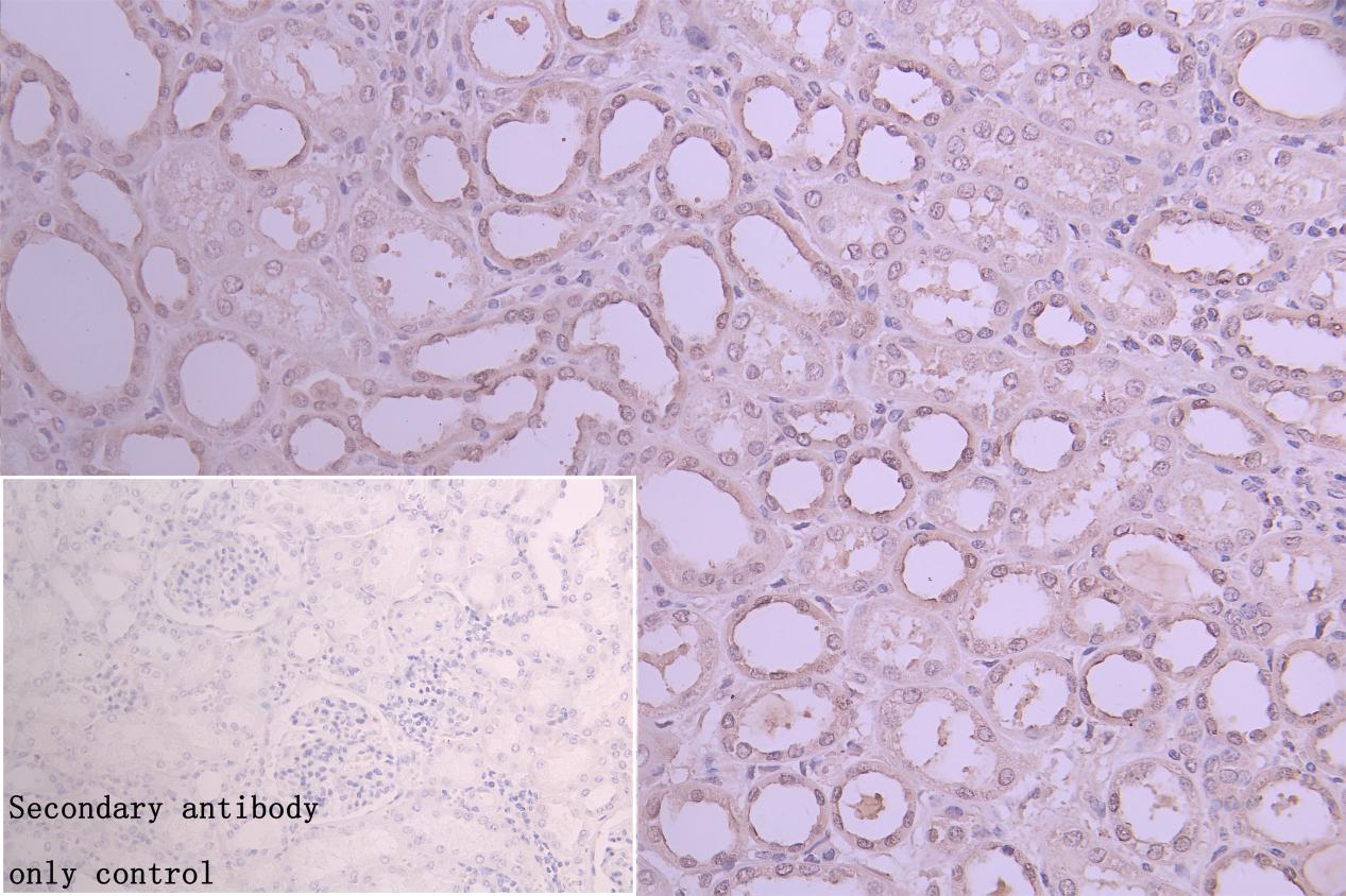
IHC image of CSB-PA017303LA01HU diluted at 1:50 and staining in paraffin-embedded human kidney tissue performed on a Leica BondTM system. After dewaxing and hydration, antigen retrieval was mediated by high pressure in a citrate buffer (pH 6.0). Section was blocked with 10% normal goat serum 30min at RT. Then primary antibody (1% BSA) was incubated at 4°C overnight. The primary is detected by a Goat anti-rabbit polymer IgG labeled by HRP and visualized using 0.05% DAB. Secondary antibody only control: uses 1% BSA instead of primary antibody
-
-
其他:
產品詳情
-
產品名稱:Rabbit anti-Homo sapiens (Human) OVOL1 Polyclonal antibody
-
Uniprot No.:
-
基因名:OVOL1
-
別名:hOvo1 antibody; Ovo homolog like 1 antibody; Ovo like 1(Drosophila) antibody; Ovo, Drosophila, homolog-like, 1 antibody; Ovol1 antibody; OVOL1_HUMAN antibody; Putative transcription factor Ovo like 1 antibody; Putative transcription factor Ovo-like 1 antibody
-
宿主:Rabbit
-
反應種屬:Human, Mouse
-
免疫原:Recombinant Human Putative transcription factor Ovo-like 1 protein (9-267AA)
-
免疫原種屬:Homo sapiens (Human)
-
克隆類型:Polyclonal
-
抗體亞型:IgG
-
純化方式:Antigen?affinity?purification
-
濃度:It differs from different batches. Please contact us to confirm it.
-
保存緩沖液:Preservative: 0.02% sodium azide
Constituents: 50% Glycerol, 0.01M PBS, pH 7.4 -
產品提供形式:Liquid
-
應用范圍:ELISA, WB, IHC
-
推薦稀釋比:
Application Recommended Dilution WB 1:1000-1:3000 IHC 1:50-1:200 -
Protocols:
-
儲存條件:Upon receipt, store at -20°C or -80°C. Avoid repeated freeze.
-
貨期:Basically, we can dispatch the products out in 1-3 working days after receiving your orders. Delivery time maybe differs from different purchasing way or location, please kindly consult your local distributors for specific delivery time.
-
用途:For Research Use Only. Not for use in diagnostic or therapeutic procedures.
相關產品
靶點詳情
-
功能:Putative transcription factor. Involved in hair formation and spermatogenesis. May function in the differentiation and/or maintenance of the urogenital system.
-
基因功能參考文獻:
- OVOL1 is an integral part of the aryl hydrocarbon receptor-mediated mechanism of Filaggrin expression in human keratinocytes. PMID: 28703805
- that the OVOL1-OVOL2 axis may actively contribute to cell differentiation and proliferation in the hair bulb PMID: 26873447
- OVOL1 is a regulator of trophoblast progenitor cell fate during human trophoblast development. PMID: 26504231
- KIF3A and OVOL1 are involved in the development of Atopic dermatitis in the Chinese pediatric population. PMID: 26127003
- OVOL1 may play an important role in human skin morphogenesis and tumorigenesis. PMID: 25509883
- Association of KIF3A, but not OVOL1 and ACTL9, with atopic eczema in Italian patients PMID: 23278845
- Molecular phylogeny of OVOL1, OVOL2 and OVOL3 genes illustrates a conserved C2H2 zinc finger domain coupled by hypervariable unstructured regions in humans and other species PMID: 22737237
顯示更多
收起更多
-
亞細胞定位:Nucleus.
-
組織特異性:Expressed in fetal kidney, and also in adult pancreas and placenta. Not expressed in intestine, peripheral blood lymphocytes and ovary.
-
數據庫鏈接:
Most popular with customers
-
-
YWHAB Recombinant Monoclonal Antibody
Applications: ELISA, WB, IHC, IF, FC
Species Reactivity: Human, Mouse, Rat
-
Phospho-YAP1 (S127) Recombinant Monoclonal Antibody
Applications: ELISA, WB, IHC
Species Reactivity: Human
-
-
-
-
-















