OTUD7B Antibody
-
中文名稱:OTUD7B兔多克隆抗體
-
貨號:CSB-PA753588LA01HU
-
規格:¥440
-
圖片:
-
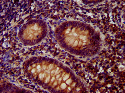
IHC image of CSB-PA753588LA01HU diluted at 1:400 and staining in paraffin-embedded human appendix tissue performed on a Leica BondTM system. After dewaxing and hydration, antigen retrieval was mediated by high pressure in a citrate buffer (pH 6.0). Section was blocked with 10% normal goat serum 30min at RT. Then primary antibody (1% BSA) was incubated at 4°C overnight. The primary is detected by a biotinylated secondary antibody and visualized using an HRP conjugated SP system.
-
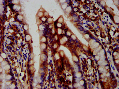
IHC image of CSB-PA753588LA01HU diluted at 1:400 and staining in paraffin-embedded human small intestine tissue performed on a Leica BondTM system. After dewaxing and hydration, antigen retrieval was mediated by high pressure in a citrate buffer (pH 6.0). Section was blocked with 10% normal goat serum 30min at RT. Then primary antibody (1% BSA) was incubated at 4°C overnight. The primary is detected by a biotinylated secondary antibody and visualized using an HRP conjugated SP system.
-
Immunofluorescence staining of Hela cells with CSB-PA753588LA01HU at 1:133, counter-stained with DAPI. The cells were fixed in 4% formaldehyde, permeabilized using 0.2% Triton X-100 and blocked in 10% normal Goat Serum. The cells were then incubated with the antibody overnight at 4°C. The secondary antibody was Alexa Fluor 488-congugated AffiniPure Goat Anti-Rabbit IgG(H+L).
-
-
其他:
產品詳情
-
產品名稱:Rabbit anti-Homo sapiens (Human) OTUD7B Polyclonal antibody
-
Uniprot No.:
-
基因名:OTUD7B
-
別名:Cellular zinc finger anti NF kappa B protein antibody; Cellular zinc finger anti-NF-kappa-B protein antibody; CEZANNE antibody; HGNC:16683 antibody; OTU domain containing protein 7B antibody; OTU domain-containing protein 7B antibody; OTU7B_HUMAN antibody; OTUD7B antibody; ZA20D1 antibody; Zinc finger A20 domain containing protein 1 antibody; Zinc finger A20 domain-containing protein 1 antibody; Zinc finger protein Cezanne antibody
-
宿主:Rabbit
-
反應種屬:Human
-
免疫原:Recombinant Human OTU domain-containing protein 7B protein (235-347AA)
-
免疫原種屬:Homo sapiens (Human)
-
標記方式:Non-conjugated
本頁面中的產品,OTUD7B Antibody (CSB-PA753588LA01HU),的標記方式是Non-conjugated。對于OTUD7B Antibody,我們還提供其他標記。見下表:
-
克隆類型:Polyclonal
-
抗體亞型:IgG
-
純化方式:>95%, Protein G purified
-
濃度:It differs from different batches. Please contact us to confirm it.
-
保存緩沖液:Preservative: 0.03% Proclin 300
Constituents: 50% Glycerol, 0.01M PBS, pH 7.4 -
產品提供形式:Liquid
-
應用范圍:ELISA, IHC, IF
-
推薦稀釋比:
Application Recommended Dilution IHC 1:200-1:500 IF 1:50-1:200 -
Protocols:
-
儲存條件:Upon receipt, store at -20°C or -80°C. Avoid repeated freeze.
-
貨期:Basically, we can dispatch the products out in 1-3 working days after receiving your orders. Delivery time maybe differs from different purchasing way or location, please kindly consult your local distributors for specific delivery time.
-
用途:For Research Use Only. Not for use in diagnostic or therapeutic procedures.
相關產品
靶點詳情
-
功能:Negative regulator of the non-canonical NF-kappa-B pathway that acts by mediating deubiquitination of TRAF3, an inhibitor of the NF-kappa-B pathway, thereby acting as a negative regulator of B-cell responses. In response to non-canonical NF-kappa-B stimuli, deubiquitinates 'Lys-48'-linked polyubiquitin chains of TRAF3, preventing TRAF3 proteolysis and over-activation of non-canonical NF-kappa-B. Negatively regulates mucosal immunity against infections. Deubiquitinates ZAP70, and thereby regulates T cell receptor (TCR) signaling that leads to the activation of NF-kappa-B. Plays a role in T cell homeostasis and is required for normal T cell responses, including production of IFNG and IL2. Mediates deubiquitination of EGFR. Has deubiquitinating activity toward 'Lys-11', 'Lys-48' and 'Lys-63'-linked polyubiquitin chains. Has a much higher catalytic rate with 'Lys-11'-linked polyubiquitin chains (in vitro); however the physiological significance of these data are unsure. Hydrolyzes both linear and branched forms of polyubiquitin.
-
基因功能參考文獻:
- Study demonstrated that the N-terminal UBA domain is crucial for the function of Cezanne during NF-kappaB activation. Cezanne is recognized and recruited into activated TNFR complex by specifically binding to polyubiquitinated signaling proteins after TNF stimulation through its N-terminal polyubiquitin binding site. PMID: 28817177
- Cezanne may be a novel antioncogene that has a pivotal role in the invasion of hepatocellular carcinoma and contribute to the selection of patients who may benefit from adjuvant transcatheter arterial chemoembolization to prevent recurrence. PMID: 28880268
- TRAF2 and OTUD7B govern a ubiquitin-dependent switch that regulates mTORC2 signalling PMID: 28489822
- Findings indicated both cezanne-1 and IGF1R expressions were negative independent predictive factors for the prognosis of lung adenocarcinoma, respectively. There was a close positive interrelationship between cezanne-1 and IGF1R expression. PMID: 28365890
- expression of OTUD7B and NIK were negatively correlated in non-small cell lung cancer tumor samples. The higher expression of OTUD7B was associated with smaller tumor size, less lymph node metastasis and earlier TNM stage. the high expression of OTUD7B was associated with good prognosis of NSCLC patients, and a high OTUD7B/low NIK index can predict even better prognosis. also, OTUD7B is an independent markers of survival. PMID: 27499151
- crystal structures of Cezanne alone and in complex with monoubiquitin and Lys11-linked diubiquitin, in combination with hydrogen-deuterium exchange mass spectrometry, enable a reconstruction of the enzymatic cycle in great detail PMID: 27732584
- these data reveal a novel mechanism for the regulation of the expression of HIF2a, demonstrating that the HIF2a promoter is regulated by E2F1 directly and that Cezanne regulates HIF2a expression through control of E2F1 levels PMID: 26148512
- Taken together, these results suggest that hepatitis C virus NS5A protein interacts with OTUD7B, thereby modulating its deubiquitinase activity. PMID: 26112491
- Cezanne has a pivotal role in tumor progression and prognosis, and may act as a potential prognostic biomarker for survival in hepatocellular carcinoma patients. PMID: 25638165
- data suggest that Cezanne is essential for HIF-1alpha protein stability and that loss of Cezanne stimulates HIF-1alpha degradation via proteasome-independent routes, possibly through chaperone-mediated autophagy. PMID: 25355043
- Genome wide association study shows evidence of association between mammographic density and SNPs in high linkage disequilibrium with rs11205277, rs11205303 in gene MTMR11 and rs67807996 in gene OTUD7B. PMID: 25353672
- Inflammatory responses to ischemia are controlled by a balance between TRAF6 ubiquitination and deubiquitination, and Cezanne is a key regulator of this process. PMID: 23564640
- identified a deubiquitinating enzyme, Cezanne-1, that opposes receptor degradation and enhances EGFR signaling PMID: 22179831
- There is an excessive inflammatory response but insufficient up-regulation of A20 expression in inflammatory bowel disease patients. PMID: 21624200
- DJ-1 enhances cell survival through the binding of Cezanne, a negative regulator of NF-kappaB. PMID: 21097510
- Cezanne is identified as the first deubiquitinase with Lys11-linkage preference. PMID: 20622874
- cleaves ubiquitin from proteins PMID: 12682062
- Cezanne forms a novel negative feedback loop in pro-inflammatory signaling and that it suppresses NF-kappaB activation by targeting RIP1 signaling intermediaries for deubiquitination PMID: 18178551
- H(2)O(2) prolongs NF-kappaB activation in co-stimulated cells by suppressing the negative regulatory functions of Cezanne and IkappaBalpha. PMID: 18474597
顯示更多
收起更多
-
亞細胞定位:Cytoplasm. Nucleus.
-
蛋白家族:Peptidase C64 family
-
組織特異性:Widely expressed. Abundant in kidney, heart and fetal liver. Expressed differentially among B-cells at distinct developmental stages. Higher expression seen in primary immature B-cells as compared to the mature cells.
-
數據庫鏈接:
Most popular with customers
-
-
YWHAB Recombinant Monoclonal Antibody
Applications: ELISA, WB, IHC, IF, FC
Species Reactivity: Human, Mouse, Rat
-
-
-
-
-
-















