OTUD5 Antibody
-
中文名稱:OTUD5兔多克隆抗體
-
貨號:CSB-PA850298LA01HU
-
規格:¥440
-
圖片:
-
Western Blot
Positive WB detected in: HepG2 whole cell lysate
All lanes: OTUD5 antibody at 6.75μg/ml
Secondary
Goat polyclonal to rabbit IgG at 1/50000 dilution
Predicted band size: 61, 59, 60, 40 kDa
Observed band size: 59 kDa -
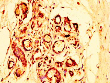
IHC image of CSB-PA850298LA01HU diluted at 1:300 and staining in paraffin-embedded human breast cancer performed on a Leica BondTM system. After dewaxing and hydration, antigen retrieval was mediated by high pressure in a citrate buffer (pH 6.0). Section was blocked with 10% normal goat serum 30min at RT. Then primary antibody (1% BSA) was incubated at 4°C overnight. The primary is detected by a biotinylated secondary antibody and visualized using an HRP conjugated SP system.
-
Immunofluorescence staining of A549 cells with CSB-PA850298LA01HU at 1:100, counter-stained with DAPI. The cells were fixed in 4% formaldehyde, permeabilized using 0.2% Triton X-100 and blocked in 10% normal Goat Serum. The cells were then incubated with the antibody overnight at 4°C. The secondary antibody was Alexa Fluor 488-congugated AffiniPure Goat Anti-Rabbit IgG(H+L).
-
-
其他:
產品詳情
-
產品名稱:Rabbit anti-Homo sapiens (Human) OTUD5 Polyclonal antibody
-
Uniprot No.:
-
基因名:OTUD5
-
別名:Deubiquinating enzyme A antibody; Deubiquitinating enzyme A antibody; DKFZp761A052 antibody; DUBA antibody; MGC104871 antibody; OTTHUMP00000025821 antibody; OTU domain containing 5 antibody; OTU domain containing protein 5 antibody; OTU domain-containing protein 5 antibody; OTUD 5 antibody; otud5 antibody; OTUD5_HUMAN antibody
-
宿主:Rabbit
-
反應種屬:Human
-
免疫原:Recombinant Human OTU domain-containing protein 5 protein (51-183AA)
-
免疫原種屬:Homo sapiens (Human)
-
標記方式:Non-conjugated
本頁面中的產品,OTUD5 Antibody (CSB-PA850298LA01HU),的標記方式是Non-conjugated。對于OTUD5 Antibody,我們還提供其他標記。見下表:
-
克隆類型:Polyclonal
-
抗體亞型:IgG
-
純化方式:>95%, Protein G purified
-
濃度:It differs from different batches. Please contact us to confirm it.
-
保存緩沖液:Liquid in PBS containing 50% glycerol, 0.5% BSA and 0.02% sodium azide.
-
產品提供形式:Liquid
-
應用范圍:ELISA, WB, IHC, IF
-
推薦稀釋比:
Application Recommended Dilution WB 1:500-1:5000 IHC 1:200-1:500 IF 1:50-1:200 -
Protocols:
-
儲存條件:Upon receipt, store at -20°C or -80°C. Avoid repeated freeze.
-
貨期:Basically, we can dispatch the products out in 1-3 working days after receiving your orders. Delivery time maybe differs from different purchasing way or location, please kindly consult your local distributors for specific delivery time.
-
用途:For Research Use Only. Not for use in diagnostic or therapeutic procedures.
相關產品
靶點詳情
-
功能:Deubiquitinating enzyme that functions as negative regulator of the innate immune system. Acts via TRAF3 deubiquitination and subsequent suppression of type I interferon (IFN) production. Has peptidase activity towards 'Lys-48'- and 'Lys-63'-linked polyubiquitin chains. Can also cleave 'Lys-11'-linked ubiquitin chains (in vitro).
-
基因功能參考文獻:
- Findings have uncovered an apoptotic signaling cascade linking PDCD5, OTUD5, and p53 during genotoxic stress responses. PMID: 25499082
- OTUD5 is required for the stabilization and the activation of a p53 response PMID: 24143256
- Here the authors show that phosphorylation of the human deubiquitinase DUBA (OTUD5) at a single residue, Ser177, is both necessary and sufficient to activate the enzyme. PMID: 22245969
- data identify DUBA as a negative regulator of innate immune responses PMID: 17991829
-
蛋白家族:Peptidase C85 family
-
組織特異性:Expressed in various tissues, including the liver and placenta, as well as in peripheral blood leukocytes.
-
數據庫鏈接:
Most popular with customers
-
-
YWHAB Recombinant Monoclonal Antibody
Applications: ELISA, WB, IHC, IF, FC
Species Reactivity: Human, Mouse, Rat
-
Phospho-YAP1 (S127) Recombinant Monoclonal Antibody
Applications: ELISA, WB, IHC
Species Reactivity: Human
-
-
-
-
-















