OTUB1 Antibody
-
中文名稱:OTUB1兔多克隆抗體
-
貨號:CSB-PA03595A0Rb
-
規格:¥440
-
圖片:
-
Western blot
All lanes: OTUB1 antibody at 2µg/ml
Lane 1: EC109 whole cell lysate
Lane 2: 293T whole cell lysate
Secondary
Goat polyclonal to rabbit IgG at 1/15000 dilution
Predicted band size: 32, 36 kDa
Observed band size: 80 kDa -
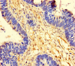
Immunohistochemistry of paraffin-embedded human ovarian cancer using CSB-PA03595A0Rb at dilution of 1:100
-
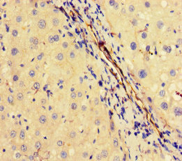
Immunohistochemistry of paraffin-embedded human liver cancer using CSB-PA03595A0Rb at dilution of 1:100
-
-
其他:
產品詳情
-
產品名稱:Rabbit anti-Homo sapiens (Human) OTUB1 Polyclonal antibody
-
Uniprot No.:
-
基因名:OTUB1
-
別名:Deubiquitinating enzyme OTUB1 antibody; hOTU1 antibody; HSPC263 antibody; OTB1 antibody; OTU domain containing ubiquitin aldehyde binding protein 1 antibody; OTU domain, ubiquitin aldehyde binding 1 antibody; OTU domain-containing Ubal-binding protein 1 antibody; OTU domain-containing ubiquitin aldehyde-binding protein 1 antibody; OTU-domain Ubal-binding 1 antibody; OTU1 antibody; Otub1 antibody; OTUB1_HUMAN antibody; Otubain 1 antibody; Otubain-1 antibody; Ubiquitin specific processing protease OTUB1 antibody; Ubiquitin thioesterase OTUB1 antibody; ubiquitin-specific protease otubain 1 antibody; Ubiquitin-specific-processing protease OTUB1 antibody
-
宿主:Rabbit
-
反應種屬:Human
-
免疫原:Recombinant Human Ubiquitin thioesterase OTUB1 protein (2-201AA)
-
免疫原種屬:Homo sapiens (Human)
-
標記方式:Non-conjugated
本頁面中的產品,OTUB1 Antibody (CSB-PA03595A0Rb),的標記方式是Non-conjugated。對于OTUB1 Antibody,我們還提供其他標記。見下表:
-
克隆類型:Polyclonal
-
抗體亞型:IgG
-
純化方式:>95%, Protein G purified
-
濃度:It differs from different batches. Please contact us to confirm it.
-
保存緩沖液:Preservative: 0.03% Proclin 300
Constituents: 50% Glycerol, 0.01M PBS, PH 7.4 -
產品提供形式:Liquid
-
應用范圍:ELISA, WB, IHC
-
推薦稀釋比:
Application Recommended Dilution WB 1:1000-1:5000 IHC 1:20-1:200 -
Protocols:
-
儲存條件:Upon receipt, store at -20°C or -80°C. Avoid repeated freeze.
-
貨期:Basically, we can dispatch the products out in 1-3 working days after receiving your orders. Delivery time maybe differs from different purchasing way or location, please kindly consult your local distributors for specific delivery time.
-
用途:For Research Use Only. Not for use in diagnostic or therapeutic procedures.
相關產品
靶點詳情
-
功能:Hydrolase that can specifically remove 'Lys-48'-linked conjugated ubiquitin from proteins and plays an important regulatory role at the level of protein turnover by preventing degradation. Regulator of T-cell anergy, a phenomenon that occurs when T-cells are rendered unresponsive to antigen rechallenge and no longer respond to their cognate antigen. Acts via its interaction with RNF128/GRAIL, a crucial inductor of CD4 T-cell anergy. Isoform 1 destabilizes RNF128, leading to prevent anergy. In contrast, isoform 2 stabilizes RNF128 and promotes anergy. Surprisingly, it regulates RNF128-mediated ubiquitination, but does not deubiquitinate polyubiquitinated RNF128. Deubiquitinates estrogen receptor alpha (ESR1). Mediates deubiquitination of 'Lys-48'-linked polyubiquitin chains, but not 'Lys-63'-linked polyubiquitin chains. Not able to cleave di-ubiquitin. Also capable of removing NEDD8 from NEDD8 conjugates, but with a much lower preference compared to 'Lys-48'-linked ubiquitin.; Plays a key non-catalytic role in DNA repair regulation by inhibiting activity of RNF168, an E3 ubiquitin-protein ligase that promotes accumulation of 'Lys-63'-linked histone H2A and H2AX at DNA damage sites. Inhibits RNF168 independently of ubiquitin thioesterase activity by binding and inhibiting UBE2N/UBC13, the E2 partner of RNF168, thereby limiting spreading of 'Lys-63'-linked histone H2A and H2AX marks. Inhibition occurs by binding to free ubiquitin: free ubiquitin acts as an allosteric regulator that increases affinity for UBE2N/UBC13 and disrupts interaction with UBE2V1. The OTUB1-UBE2N/UBC13-free ubiquitin complex adopts a configuration that mimics a cleaved 'Lys48'-linked di-ubiquitin chain.
-
基因功能參考文獻:
- Overexpression of OTUB1 (OTU domain-containing ubiquitin aldehyde binding protein 1) in hepatocellular carcinoma (HCC) could be a supplementary biomarker for HCC because it plays a vital role in the progression of HCC. PMID: 28575188
- Silencing of OTU domain-containing ubiquitin aldehyde-binding protein 1 (OTUB1) inhibits migration of human glioma cells in vitro. Study results suggested that OTUB1 was a valuable marker in the pathogenesis of human gliomas and could be used as a novel biomarker for glioma therapy in the future. PMID: 28139865
- Data suggest that inhibiting OTUB1-FOXM1 interaction is a potential avenue for ovarian cancer therapy. PMID: 27167337
- Data indicate that knockdown of otubain 1 protein (Otub1) reduced the levels of double minute 4 protein (MDMX). PMID: 28035068
- OTUB1 may play an important role in colon cancer development and metastasis. PMID: 24947413
- An increase of OTUB1 expression is commonly observed in non-small-cell lung carcinomas harboring wild-type KRAS and is associated with increased levels of ERK1/2 phosphorylation, high Ki67 score, and poorer patient survival. PMID: 26881969
- the data suggest that OTUB1 limits the ubiquitination and degradation of FOXM1 in breast cancer and has a key role in genotoxic agent resistance. PMID: 26148240
- substrate for hydroxylation by FIH on N22 PMID: 26752685
- Data show that casein kinase 2 (CK2)-mediated phosphorylation of deubiquitylating enzyme OTUB1 at Ser16 causes nuclear accumulation of OTUB1. PMID: 25872870
- OTUB1 promoted the metastasis of CRC cell lines. PMID: 25431208
- After viral infection, HSCARG interacted with tumor necrosis receptor-associated factor 3 (TRAF3) and inhibited its ubiquitination by promoting the recruitment of OTUB1 to TRAF3. PMID: 24763515
- These data reveal novel insights into the Otub1 inhibition of E2 wherein monoubiquitination promotes the interaction of Otub1 with UbcH5 and the function to suppress it. PMID: 24403071
- OTUB1 enhances TGF-beta signaling by inhibiting the ubiquitylation and degradation of active SMAD2 and SMAD3. PMID: 24071738
- A second role of OTUB1-E2 interactions is to stimulate OTUB1 cleavage of Lys48 polyubiquitin. This stimulation is regulated by the ratio of charged to uncharged E2 and by the concentration of Lys48-linked polyubiquitin and free ubiquitin. PMID: 23955022
- These results suggest that OTUB1 regulates NF-kappaB and MAPK signalling pathways and TNF-dependent cell death by modulating c-IAP1 stability. PMID: 23524849
- the crystal structure of human OTUB1 in complex with human UBC13 and MMS2 PMID: 22679021
- structural and biochemical studies elucidating how OTUB1 inhibits UBC13 and other E2 enzymes PMID: 22367539
- OTUB1 therefore co-opts Lys48-linked ubiquitin chain recognition to suppress ubiquitin conjugation and the DNA damage response PMID: 22325355
- Overexpression of Otub1(D88A) or ablation of endogenous Otub1 by siRNA markedly impaired p53 stabilization and activation in response to DNA damage. Together, these results reveal a novel function for Otub1 in regulating p53 stability and activity PMID: 22124327
- OTUB1, a deubiquitinating enzyme, is an inhibitor of double-strand break-induced chromatin ubiquitination PMID: 20725033
- Post-translational modifications of OTUB1 suggests a new entry point for manipulating Yersinia interactions with the host. PMID: 20553488
- Findings suggest that OTUB1 and OTUB2 negatively regulate virus-triggered type I IFN induction and cellular antiviral response by deubiquitinating TRAF3 and -6. PMID: 19996094
- Structural basis and specificity of human otubain 1-mediated deubiquitination. PMID: 18954305
- Distinct binding sites for the ubiquitins on either side of the scissile bond allow hOtu1 to discriminate among different isopeptide linkages in polyubiquitin substrates. PMID: 19211026
- OTUB1 negatively regulates transcription mediated by ERalpha in transient reporter gene assays and transcription mediated by endogenous ERalpha in Ishikawa endometrial cancer cells PMID: 19383985
顯示更多
收起更多
-
亞細胞定位:Cytoplasm.
-
蛋白家族:Peptidase C65 family
-
組織特異性:Isoform 1 is ubiquitous. Isoform 2 is expressed only in lymphoid tissues such as tonsils, lymph nodes and spleen, as well as peripheral blood mononuclear cells.
-
數據庫鏈接:
Most popular with customers
-
-
YWHAB Recombinant Monoclonal Antibody
Applications: ELISA, WB, IHC, IF, FC
Species Reactivity: Human, Mouse, Rat
-
Phospho-YAP1 (S127) Recombinant Monoclonal Antibody
Applications: ELISA, WB, IHC
Species Reactivity: Human
-
-
-
-
-















