OTOG Antibody
-
中文名稱:OTOG兔多克隆抗體
-
貨號:CSB-PA017273LA01HU
-
規格:¥440
-
圖片:
-
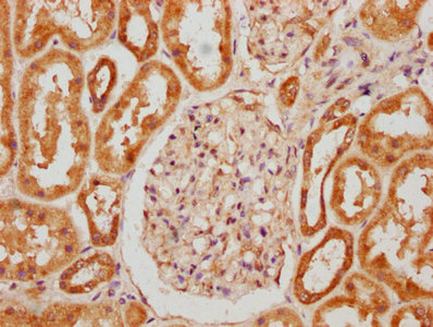
IHC image of CSB-PA017273LA01HU diluted at 1:300 and staining in paraffin-embedded human kidney tissue performed on a Leica BondTM system. After dewaxing and hydration, antigen retrieval was mediated by high pressure in a citrate buffer (pH 6.0). Section was blocked with 10% normal goat serum 30min at RT. Then primary antibody (1% BSA) was incubated at 4°C overnight. The primary is detected by a biotinylated secondary antibody and visualized using an HRP conjugated SP system.
-
Immunofluorescence staining of Hela cells with CSB-PA017273LA01HU at 1:100, counter-stained with DAPI. The cells were fixed in 4% formaldehyde, permeabilized using 0.2% Triton X-100 and blocked in 10% normal Goat Serum. The cells were then incubated with the antibody overnight at 4°C. The secondary antibody was Alexa Fluor 488-congugated AffiniPure Goat Anti-Rabbit IgG(H+L).
-
-
其他:
產品詳情
-
產品名稱:Rabbit anti-Homo sapiens (Human) OTOG Polyclonal antibody
-
Uniprot No.:
-
基因名:OTOG
-
別名:OTOG antibody; OTGN antibody; Otogelin antibody
-
宿主:Rabbit
-
反應種屬:Human
-
免疫原:Recombinant Human Otogelin protein (1634-1796AA)
-
免疫原種屬:Homo sapiens (Human)
-
標記方式:Non-conjugated
本頁面中的產品,OTOG Antibody (CSB-PA017273LA01HU),的標記方式是Non-conjugated。對于OTOG Antibody,我們還提供其他標記。見下表:
-
克隆類型:Polyclonal
-
抗體亞型:IgG
-
純化方式:>95%, Protein G purified
-
濃度:It differs from different batches. Please contact us to confirm it.
-
保存緩沖液:Preservative: 0.03% Proclin 300
Constituents: 50% Glycerol, 0.01M PBS, pH 7.4 -
產品提供形式:Liquid
-
應用范圍:ELISA, IHC, IF
-
推薦稀釋比:
Application Recommended Dilution IHC 1:200-1:500 IF 1:50-1:200 -
Protocols:
-
儲存條件:Upon receipt, store at -20°C or -80°C. Avoid repeated freeze.
-
貨期:Basically, we can dispatch the products out in 1-3 working days after receiving your orders. Delivery time maybe differs from different purchasing way or location, please kindly consult your local distributors for specific delivery time.
-
用途:For Research Use Only. Not for use in diagnostic or therapeutic procedures.
相關產品
靶點詳情
-
功能:Glycoprotein specific to acellular membranes of the inner ear. May be required for the anchoring of the otoconial membranes and cupulae to the underlying neuroepithelia in the vestibule. May be involved in the organization and/or stabilization of the fibrillar network that compose the tectorial membrane in the cochlea. May play a role in mechanotransduction processes.
-
基因功能參考文獻:
- Patients with OTOG mutation show a flat to downsloping configuration of the audiogram with mild to moderate sensorineural hearing loss. Speech recognition scores remain good and vestibular hyporeflexia is present. PMID: 24378291
- study reports the identification of mutations in OTOG as a cause of moderate nonsyndromic hearing loss PMID: 23122587
-
相關疾病:Deafness, autosomal recessive, 18B (DFNB18B)
-
亞細胞定位:Apical cell membrane; Peripheral membrane protein; Extracellular side. Secreted, extracellular space.
-
蛋白家族:Otogelin family
-
數據庫鏈接:
Most popular with customers
-
-
YWHAB Recombinant Monoclonal Antibody
Applications: ELISA, WB, IHC, IF, FC
Species Reactivity: Human, Mouse, Rat
-
Phospho-YAP1 (S127) Recombinant Monoclonal Antibody
Applications: ELISA, WB, IHC
Species Reactivity: Human
-
-
-
-
-















