OSM Antibody
-
中文名稱:OSM兔多克隆抗體
-
貨號:CSB-PA09694A0Rb
-
規格:¥440
-
圖片:
-
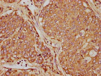
IHC image of CSB-PA09694A0Rb diluted at 1:90 and staining in paraffin-embedded human liver cancer performed on a Leica BondTM system. After dewaxing and hydration, antigen retrieval was mediated by high pressure in a citrate buffer (pH 6.0). Section was blocked with 10% normal goat serum 30min at RT. Then primary antibody (1% BSA) was incubated at 4°C overnight. The primary is detected by a biotinylated secondary antibody and visualized using an HRP conjugated SP system.
-
IHC image of CSB-PA09694A0Rb diluted at 1:90 and staining in paraffin-embedded human colon cancer performed on a Leica BondTM system. After dewaxing and hydration, antigen retrieval was mediated by high pressure in a citrate buffer (pH 6.0). Section was blocked with 10% normal goat serum 30min at RT. Then primary antibody (1% BSA) was incubated at 4°C overnight. The primary is detected by a biotinylated secondary antibody and visualized using an HRP conjugated SP system.
-
-
其他:
產品詳情
-
產品名稱:Rabbit anti-Homo sapiens (Human) OSM Polyclonal antibody
-
Uniprot No.:
-
基因名:
-
別名:MGC20461 antibody; ONCM_HUMAN antibody; Oncostatin M antibody; Oncostatin-M antibody; OSM antibody
-
宿主:Rabbit
-
反應種屬:Human
-
免疫原:Recombinant Human Oncostatin-M protein (26-220AA)
-
免疫原種屬:Homo sapiens (Human)
-
標記方式:Non-conjugated
本頁面中的產品,OSM Antibody (CSB-PA09694A0Rb),的標記方式是Non-conjugated。對于OSM Antibody,我們還提供其他標記。見下表:
-
克隆類型:Polyclonal
-
抗體亞型:IgG
-
純化方式:>95%, Protein G purified
-
濃度:It differs from different batches. Please contact us to confirm it.
-
保存緩沖液:Preservative: 0.03% Proclin 300
Constituents: 50% Glycerol, 0.01M PBS, PH 7.4 -
產品提供形式:Liquid
-
應用范圍:ELISA, IHC
-
推薦稀釋比:
Application Recommended Dilution IHC 1:20-1:200 -
Protocols:
-
儲存條件:Upon receipt, store at -20°C or -80°C. Avoid repeated freeze.
-
貨期:Basically, we can dispatch the products out in 1-3 working days after receiving your orders. Delivery time maybe differs from different purchasing way or location, please kindly consult your local distributors for specific delivery time.
-
用途:For Research Use Only. Not for use in diagnostic or therapeutic procedures.
相關產品
靶點詳情
-
功能:Growth regulator. Inhibits the proliferation of a number of tumor cell lines. Stimulates proliferation of AIDS-KS cells. It regulates cytokine production, including IL-6, G-CSF and GM-CSF from endothelial cells. Uses both type I OSM receptor (heterodimers composed of LIFR and IL6ST) and type II OSM receptor (heterodimers composed of OSMR and IL6ST). Involved in the maturation of fetal hepatocytes, thereby promoting liver development and regeneration.
-
基因功能參考文獻:
- The mechanism of prostaglandin E2-induced transcriptional up-regulation of Oncostatin-M by CREB and Sp1 has been described. PMID: 29269396
- OSM [oncostatin M]might be involved in the invasiveness of extravillous trophoblasts under hypoxia conditions via increasing MMP-2 and MMP-9 enzymatic activities through STAT3 signaling. Increased MMP-9 activity by OSM seems to be more important in primary trophoblasts. PMID: 30091322
- IL6 family cytokine oncostatin-M (OSM) induced a switch to the EMT phenotype and protected cells from targeted drug-induced apoptosis in OSM receptors (OSMRs)/JAK1/STAT3-dependent manner PMID: 28729401
- Oncostatin M induces RIG-I and MDA5 expression and enhances the double-stranded RNA response in fibroblasts. PMID: 28560754
- The IL-6-type cytokine oncostatin M (OSM) indeed induces cellular properties associated with tumorigenesis and disease progression in non-transformed human prostate epithelial cells, including morphological changes, epithelial-to-mesenchymal transition (EMT), enhanced migration and pro-invasive growth patterns. PMID: 29526757
- downregulation of miR-20a-5p is caused by promoter hypermethylation. MiR-20a-5p could also suppress the production of IL-17 by targeting OSM and CCL1 production in CD4(+) T cells in patients with active VKH. PMID: 28972028
- our findings suggested that OSM suppresses SLUG expression and tumor metastasis of lung adenocarcinoma cells through inducing the inhibitory effect of the STAT1-dependent pathway and suppressing the activating effect of STAT3-dependent signaling PMID: 27486982
- Genistein (a specific Tyr phosphorylation inhibitor) leads to the interaction of CHOP (C/EBP Homologous Protein) with C/EBP-beta, thus negatively regulating it. Knockdown of C/EBP-beta also leads to inhibition of PMA-mediated OSM induction. PMID: 27676154
- Data provide evidence that OSM regulates an epithelial-mesenchymal transition and cancer stem cell plasticity program that promotes tumorigenic properties in pancreatic cells. PMID: 28053127
- OSM-induced plasticity was Signal Transducer and Activator of Transcription 3 (STAT3)-dependent, and also required a novel intersection with transforming growth factor-beta (TGF-beta)/SMAD signaling. Removal of OSM or inhibition of STAT3 or SMAD3 resulted in a marked reversion to a non-invasive, epithelial phenotype. PMID: 28288136
- Neutrophils are a major source of OSM-producing cells in patients with chronic rhinosinusitis and severe asthma. PMID: 27993536
- OSM and OSMR are highly expressed in inflammatory bowel disease intestinal mucosa compared to control mucosa. OSM promotes inflammatory behavior in human intestinal stroma. PMID: 28368383
- Study showed that in atrial fibrillation (AF) with thrombus, the atrial tissue infiltration of M1 macrophages increased significantly; the OSM expression was also found to increase simultaneously; downstream tissue factor (TF) increased and tissue factor pathway inhibitors (TFPI)decreased, leading to an imbalance between TF and TFPI eventually. OSM might be related to thrombosis in patients with AF mediated by TF and TFPI PMID: 28471981
- a novel STAT3/SMAD3-signaling axis is required for OSM-mediated senescence. PMID: 27892764
- This result demonstrates that HPV16 oncoproteins upregulate oncostatin M and play an important role to promote oral squamous cell carcinoma development PMID: 27349249
- The identification of the OSM inflammatory pathway as an important mediator of epithelial mesenchymal transition in triple-negative breast cancer (TNBC) may provide a novel potential opportunity to improve therapeutic strategies. PMID: 28106823
- Oncostatin M and interleukin-31: Cytokines, receptors, signal transduction and physiology. PMID: 26198770
- Oncostatin M can regulate airway smooth muscle responses alone or in synergy with IL-17A. PMID: 25849622
- we demonstrated that recombinant human OSM (rhOSM) promoted tumor angiogenesis in EC cell lines by activating STAT3 (signal transducer and activator of transcription 3) and enhanced both cell migration and cell inva PMID: 25954856
- OSM expression in osteoblasts increases in response to Osteopontin-induced inflammation in vitro. PMID: 26304992
- Data suggest that OSM promotes osteoblastic differentiation of vascular smooth muscle cells through JAK3/STAT3 pathway and may contribute to the development of atherosclerotic calcification. PMID: 25735629
- administration of Fstl1 induced airway remodeling and increased OSM, whereas administration of an anti-OSM Ab blocked the effect of Fstl1 on inducing airway remodeling, eosinophilic airway inflammation PMID: 26355153
- OSM promotes mucosal epithelial barrier dysfunction, and its expression is increased in patients with eosinophilic mucosal disease. PMID: 25840724
- Oncostatin M regulates neuronal function and confers neuroprotectin in an animal model of ischemic stroke. PMID: 26311783
- In patients with diabetes, bone marrow plasma OSM levels were higher and correlated with the bone marrow to peripheral blood stem cell ratio. PMID: 25804939
- OSM promotes STAT3-dependent intestinal epithelial cell proliferation and wound healing in vitro. PMID: 24710357
- Autocrine activation of STAT3 in MCF-7 cells ectopically expressing OSM-induced cellular scattering. PMID: 25252914
- oncostatin M is a cytokine possessing vigorous antiviral and immunostimulatory properties which is released by APC upon interaction with CD40L present on activated CD4+ T cells. PMID: 24418171
- Data indicate that pro-inflammatory cytokines such as IL6 or OSM could activate pathways associated with prostate cancer progression and synergize with cell-autonomous oncogenic events to promote aggressive malignancy. PMID: 23867565
- OSM may promote a clinically relevant EMT/CSC-like phenotype in human breast cancer via a PI3K-dependent mechanism PMID: 23584474
- white adipose tissue macrophages are a source of OSM and OSM levels are significantly induced in obesity/type 2 diabetes. OSM produced from immune cells in WAT may act in a paracrine manner on adipocytes to promote inflammation in adipose tissue. PMID: 24297795
- data suggest that increased serum OSM levels are associated with the coronary stenosis score and that circulating levels of this chemokine may reflect the extent of coronary atherosclerosis PMID: 24600984
- TGFBI and periostin, extracellular matrix proteins implicated in tumorigenesis and metastasis, were identified as oncostatin M-induced secreted proteins in mesenchymal stem cells. PMID: 23735324
- Oncostatin M is a FIP1L1/PDGFRA-dependent mediator of cytokine production in chronic eosinophilic leukemia. PMID: 23621172
- These data show that OSM and IL-1beta are not only a biological characteristic signature of hypertensive leg ulcer, but these cytokines reflect a specific inflammatory state, directly involved in the pathogenesis. PMID: 23313749
- OSM induced proliferation of Ewing sarcoma cell lines. PMID: 22982441
- Data suggest that OSM enhances invasion activities of extravillous trophoblasts during placentation through increased enzyme activity of MMP-2 (primarily) and MMP-9 (to some extent). PMID: 22931588
- A unique loop structure in oncostatin M determines binding affinity toward oncostatin M receptor and leukemia inhibitory factor receptor. PMID: 22829597
- Oncostatin M signaling may cause suppression of estrogen receptor-alpha and disease progression i breast cancer. PMID: 22267707
- Oncostatin M (OSM), a cytokine of the IL-6 family, was identified as a major coupling factor produced by activated circulating CD14+ or bone marrow CD11b+ monocytes/macrophages. PMID: 22267310
- Oncostatin M (OSM) is a major mediator of cardiomyocyte dedifferentiation and remodeling during acute myocardial infarction (MI) and in chronic dilated cardiomyopathy (DCM). PMID: 22056139
- JAK2 V617F-mediated up-regulation of OSM may contribute to fibrosis, neoangiogenesis, and the cytokine storm observed in myeloproliferative neoplasms. PMID: 22051730
- c-MYC is an important molecular switch that alters the cellular response to OSM-mediated signaling from tumor suppressive to tumor promoting. PMID: 21975934
- A possible interaction between IL-6, OSM, u-PA and VEGF in prostate cancer was investigated. PMID: 21965736
- This report uses an in vitro model with human umbilical vein endothelial cells and isolated human neutrophils to examine the effects of two locally derived cytokines, granulocyte-macrophage colony-stimulating factor and G-CSF, on oncostatin M expression. PMID: 21775705
- OSM is expressed in atherosclerotic lesions and may contribute to the progression of atherosclerosis by promoting SMC proliferation, migration and extracellular matrix protein synthesis through the STAT pathway PMID: 21376322
- Taken together, our data show that KIT D816V promotes expression of OSM through activation of STAT5. PMID: 21457934
- The purpose of this study was to investigate the possible suppressive or stimulatory role of OSM in the ovarian cancer model of SKOV3 cells, as well as the involvement of the ERK1/2, p38 and STAT3 signaling pathways. PMID: 21399864
- promotes STAT3 activation, VEGF production, and invasion in osteosarcoma cell lines PMID: 21481226
- a cytokine-triggered regulatory network for PCSK9 expression that is linked to JAKs and the ERK signaling pathway PMID: 21196532
顯示更多
收起更多
-
亞細胞定位:Secreted.
-
蛋白家族:LIF/OSM family
-
數據庫鏈接:
Most popular with customers
-
-
YWHAB Recombinant Monoclonal Antibody
Applications: ELISA, WB, IHC, IF, FC
Species Reactivity: Human, Mouse, Rat
-
Phospho-YAP1 (S127) Recombinant Monoclonal Antibody
Applications: ELISA, WB, IHC
Species Reactivity: Human
-
-
-
-
-















