OS9 Antibody
-
中文名稱:OS9兔多克隆抗體
-
貨號:CSB-PA613402LA01HU
-
規格:¥440
-
圖片:
-
Western Blot
Positive WB detected in: HepG2 whole cell lysate(30μg), 293 whole cell lysate(30μg), HL-60 whole cell lysate(30μg), MCF7 whole cell lysate(30μg), U87 whole cell lysate(30μg), LO2 whole cell lysate(30μg),Mouse Liver tissue lysate(30μg)
All lanes: OS9 antibody at 1:1000
Secondary
Goat polyclonal to rabbit IgG at 1/20000 dilution
Predicted band size: 76,70,68,74,66.64.61 kDa
Observed band size: 70 kDa
Exposure time: 120s -
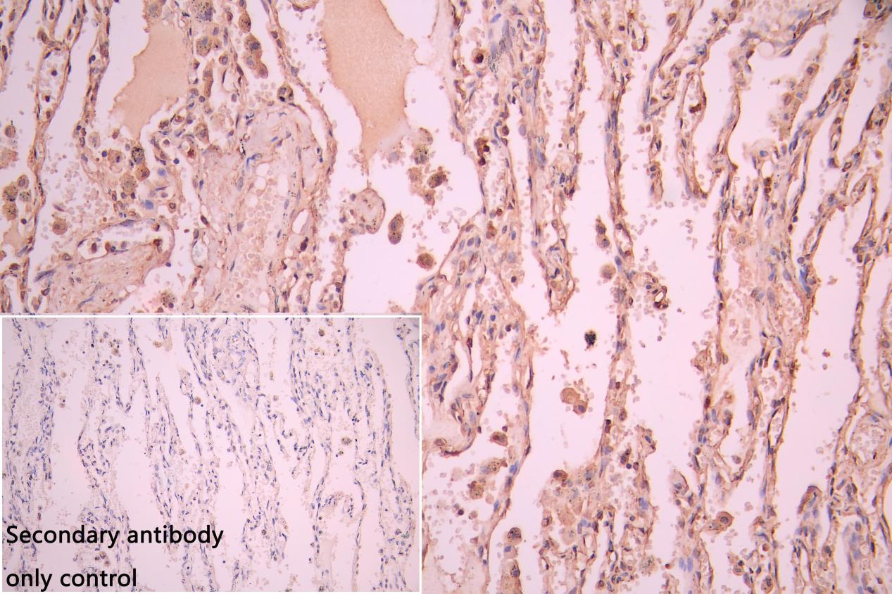
IHC image of CSB-PA613402LA01HU diluted at 1:50 and staining in paraffin-embedded human Lung cancer performed on a Leica BondTM system. After dewaxing and hydration, antigen retrieval was mediated by high pressure in a citrate buffer (pH 6.0). Section was blocked with 10% normal goat serum 30min at RT. Then primary antibody (1% BSA) was incubated at 4°C overnight. The primary is detected by a Goat anti-rabbit polymer IgG labeled by HRP and visualized using 0.05% DAB. Secondary antibody only control: uses 1% BSA instead of primary antibody
-
-
其他:
產品詳情
-
產品名稱:Rabbit anti-Homo sapiens (Human) OS9 Polyclonal antibody
-
Uniprot No.:
-
基因名:
-
別名:Amplified in osteosarcoma 9 antibody; amplified in osteosarcoma antibody; ERLEC2 antibody; OS-9 antibody; Os9 antibody; OS9_HUMAN antibody; Osteosarcoma amplified 9 endoplasmic reticulum lectin antibody; Protein OS-9 antibody
-
宿主:Rabbit
-
反應種屬:Human, Mouse
-
免疫原:Recombinant Human Protein OS-9 protein (232-413AA)
-
免疫原種屬:Homo sapiens (Human)
-
標記方式:Non-conjugated
本頁面中的產品,OS9 Antibody (CSB-PA613402LA01HU),的標記方式是Non-conjugated。對于OS9 Antibody,我們還提供其他標記。見下表:
-
克隆類型:Polyclonal
-
抗體亞型:IgG
-
純化方式:Antigen?affinity?purification
-
濃度:It differs from different batches. Please contact us to confirm it.
-
保存緩沖液:Preservative: 0.03% Proclin 300
Constituents: 50% Glycerol, 0.01M PBS, pH 7.4 -
產品提供形式:Liquid
-
應用范圍:ELISA, WB, IHC
-
推薦稀釋比:
Application Recommended Dilution WB 1:500-1:2000 IHC 1:50-1:200 -
Protocols:
-
儲存條件:Upon receipt, store at -20°C or -80°C. Avoid repeated freeze.
-
貨期:Basically, we can dispatch the products out in 1-3 working days after receiving your orders. Delivery time maybe differs from different purchasing way or location, please kindly consult your local distributors for specific delivery time.
-
用途:For Research Use Only. Not for use in diagnostic or therapeutic procedures.
相關產品
靶點詳情
-
功能:Lectin which functions in endoplasmic reticulum (ER) quality control and ER-associated degradation (ERAD). May bind terminally misfolded non-glycosylated proteins as well as improperly folded glycoproteins, retain them in the ER, and possibly transfer them to the ubiquitination machinery and promote their degradation. Possible targets include TRPV4.
-
基因功能參考文獻:
- The endoplasmic reticulum-associated protein, OS-9, behaves as a lectin in targeting the immature calcium-sensing receptor. PMID: 28419469
- OS-9 up-regulates occludin and claudin-1 by activating the MAP kinase (MAPK) pathway, and thus protects the epithelial barrier function of Caco-2 monolayer under hypoxia condition. PMID: 25999789
- EDEM2 and OS-9 are required for ER-associated degradation of non-glycosylated sonic hedgehog PMID: 24910992
- Unique regions mediate the interaction between OS-9 and GRP94. PMID: 24899641
- It delivers mutant neuroserpin to ERAD by recognition of glycan side chains and provide the first in vivo proof of involvement of ERAD in degradation of mutant neuroserpin. PMID: 24795221
- long non-coding RNA ENST00000480739 suppresses tumour cell invasion by regulating OS-9 and HIF-1alpha in pancreatic ductal adenocarcinoma. PMID: 25314054
- Data indicate that the interaction of OS-9 and XTP3-B with CD147(CG) was inhibited by mutations to conserved residues in their lectin domains. PMID: 23097496
- OS-9 plays no direct functional role in HIF degradation since physical interaction of OS-9 with oxygen sensing HIF prolyl hydroxylases cannot occur in vivo due to their different subcellular localization PMID: 21559462
- It regulates endoplasmic reticulum-associated degradation. (review) PMID: 21404621
- The OS-9 specifically recognizes Manalpha1,6Manalpha1,6Man residues on the processed C-arm through the continuous double tryptophan (WW) motif. PMID: 21172656
- The sugar-binding ability of human OS-9 and its involvement in ER-associated degradation PMID: 19914915
- Identification of a peptide, resulting from a point mutation in gene OS-9, recognized by cytolytic T lymphocytes on a human melanoma. PMID: 12747754
- OS-9 regulates the secretory transport of TRPV4 and appears to protect TRPV4 subunits from the precocious ubiquitination and ER-associated degradation. PMID: 17932042
- OS-9 and GRP94 deliver mutant alpha1-antitrypsin to the Hrd1-SEL1L ubiquitin ligase complex for ERAD PMID: 18264092
- Xbp1-responsive OS-9 variants in the mammalian endoplasmic reticulum inhibit secretion of misfolded protein conformers and enhancing their disposal PMID: 18417469
- OS9 is critically involved in the modulation of ER-to-Golgi transport of DC-STAMP in response to TLR triggering, suggesting a novel role for OS9 in myeloid differentiation and cell fusion. PMID: 18952287
- OS-9 recognises terminally misfolded proteins via polypeptide-based rather than glycan-based signals, but is only required for transferring those bearing N-glycans to the ubiquitination machinery. PMID: 19084021
- model for mannose trimming and the requirement for OS-9 lectin activity in glycoprotein ERAD in which N-glycans lacking the terminal mannose from the C branch are recognized by OS-9 and targeted for degradation PMID: 19346256
顯示更多
收起更多
-
亞細胞定位:Endoplasmic reticulum lumen.
-
蛋白家族:OS-9 family
-
組織特異性:Ubiquitously expressed. Found as well in all tumor cell lines analyzed, amplified in sarcomas. Highly expressed in osteosarcoma SJSA-1 and rhabdomyosarcoma Rh30 cell lines. Isoform 2 is the major isoform detected in all cell types examined.
-
數據庫鏈接:
Most popular with customers
-
-
YWHAB Recombinant Monoclonal Antibody
Applications: ELISA, WB, IHC, IF, FC
Species Reactivity: Human, Mouse, Rat
-
Phospho-YAP1 (S127) Recombinant Monoclonal Antibody
Applications: ELISA, WB, IHC
Species Reactivity: Human
-
-
-
-
-















