ORM2 Antibody
-
中文名稱:ORM2兔多克隆抗體
-
貨號:CSB-PA984269
-
規格:¥1100
-
圖片:
-
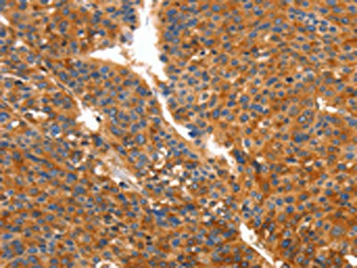
The image on the left is immunohistochemistry of paraffin-embedded Human liver cancer tissue using CSB-PA984269(ORM2 Antibody) at dilution 1/50, on the right is treated with fusion protein. (Original magnification: ×200)
-
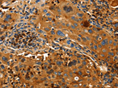
The image on the left is immunohistochemistry of paraffin-embedded Human lung cancer tissue using CSB-PA984269(ORM2 Antibody) at dilution 1/50, on the right is treated with fusion protein. (Original magnification: ×200)
-
Gel: 10%SDS-PAGE, Lysate: 40 μg, Lane: Mouse liver tissue, Primary antibody: CSB-PA984269(ORM2 Antibody) at dilution 1/700, Secondary antibody: Goat anti rabbit IgG at 1/8000 dilution, Exposure time: 10 seconds
-
-
其他:
產品詳情
-
Uniprot No.:
-
基因名:ORM2
-
別名:ORM2 antibody; AGP2Alpha-1-acid glycoprotein 2 antibody; AGP 2 antibody; Orosomucoid-2 antibody; OMD 2 antibody
-
宿主:Rabbit
-
反應種屬:Human,Mouse
-
免疫原:Fusion protein of Human ORM2
-
免疫原種屬:Homo sapiens (Human)
-
標記方式:Non-conjugated
-
抗體亞型:IgG
-
純化方式:Antigen affinity purification
-
濃度:It differs from different batches. Please contact us to confirm it.
-
保存緩沖液:-20°C, pH7.4 PBS, 0.05% NaN3, 40% Glycerol
-
產品提供形式:Liquid
-
應用范圍:ELISA,WB,IHC
-
推薦稀釋比:
Application Recommended Dilution ELISA 1:1000-1:5000 WB 1:500-1:2000 IHC 1:50-1:200 -
Protocols:
-
儲存條件:Upon receipt, store at -20°C or -80°C. Avoid repeated freeze.
-
貨期:Basically, we can dispatch the products out in 1-3 working days after receiving your orders. Delivery time maybe differs from different purchasing way or location, please kindly consult your local distributors for specific delivery time.
-
用途:For Research Use Only. Not for use in diagnostic or therapeutic procedures.
相關產品
靶點詳情
-
功能:Functions as transport protein in the blood stream. Binds various hydrophobic ligands in the interior of its beta-barrel domain. Also binds synthetic drugs and influences their distribution and availability. Appears to function in modulating the activity of the immune system during the acute-phase reaction.
-
基因功能參考文獻:
- the glycosylation change of alpha-1-acid glycoprotein (AGP) in hepatocellular carcinoma (HCC), cirrhosis and controls PMID: 28621608
- Neural cell interactions are important for brain physiology and pathology. Particularly, the interaction between non-neuronal cells plays a central role in regulating brain inflammation, which is closely linked to many brain disorders. Here, we newly identified orosomucoid-2 (ORM2) as an endogenous protein that mediates such non-neuronal glial cell interactions PMID: 28193696
- Low ORM2 expression is associated with metastasis in hepatocellular carcinoma. PMID: 25965830
- Data suggest that human serum albumin (HSA) might serve as a carrier in delivering chitooligomers to target tissues than alpha-1-glycoprotein (AGP) which has pharmacological importance. PMID: 24359035
- Alteration in expression of ORM2 suggests that ORM2 could be used as a potential biomarker in the diagnosis of colorectal cancer. PMID: 22363757
- the sera of patients with acute inflammation demonstrated increased numbers of bi-antennary and alpha1,3-fucosylated N-glycan structures at each glycosylation site PMID: 15863355
- The binding of coumarin enantiomers to ORM2 is studied. PMID: 16290938
- Results describe the thermal unfolding and reversibility of temperature-induced changes in alpha(1)-acid glycoprotein. PMID: 16331959
- The results indicate that, in accordance with prior expectations, the ORM2 variant is responsible for the acute-phase property of alpha-1 acid glycoprotein. PMID: 19018521
- structure of the alpha1-acid glycoprotein (AGP), or orosomucoid (ORM), gene was investigated in a Ghanaian mother and her child, who shared an unusual variant, ORM1 S2(C), found by isoelectric focusing PMID: 11587070
顯示更多
收起更多
-
亞細胞定位:Secreted.
-
蛋白家族:Calycin superfamily, Lipocalin family
-
組織特異性:Expressed by the liver and secreted in plasma.
-
數據庫鏈接:
Most popular with customers
-
-
YWHAB Recombinant Monoclonal Antibody
Applications: ELISA, WB, IHC, IF, FC
Species Reactivity: Human, Mouse, Rat
-
Phospho-YAP1 (S127) Recombinant Monoclonal Antibody
Applications: ELISA, WB, IHC
Species Reactivity: Human
-
-
-
-
-















