OMD Antibody
-
中文名稱:OMD兔多克隆抗體
-
貨號:CSB-PA016333LA01HU
-
規格:¥440
-
圖片:
-
Western Blot
Positive WB detected in: A549 whole cell lysate, MCF-7 whole cell lysate
All lanes: OMD antibody at 3.5µg/ml
Secondary
Goat polyclonal to rabbit IgG at 1/50000 dilution
Predicted band size: 50 kDa
Observed band size: 50 kDa -
IHC image of CSB-PA016333LA01HU diluted at 1:400 and staining in paraffin-embedded human colon cancer performed on a Leica BondTM system. After dewaxing and hydration, antigen retrieval was mediated by high pressure in a citrate buffer (pH 6.0). Section was blocked with 10% normal goat serum 30min at RT. Then primary antibody (1% BSA) was incubated at 4°C overnight. The primary is detected by a biotinylated secondary antibody and visualized using an HRP conjugated SP system.
-
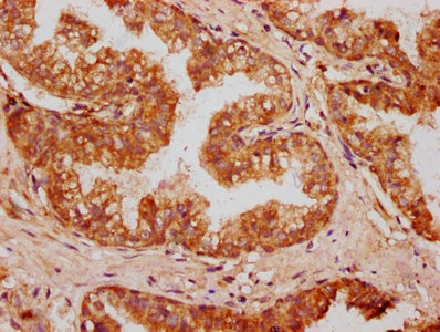
IHC image of CSB-PA016333LA01HU diluted at 1:400 and staining in paraffin-embedded human prostate cancer performed on a Leica BondTM system. After dewaxing and hydration, antigen retrieval was mediated by high pressure in a citrate buffer (pH 6.0). Section was blocked with 10% normal goat serum 30min at RT. Then primary antibody (1% BSA) was incubated at 4°C overnight. The primary is detected by a biotinylated secondary antibody and visualized using an HRP conjugated SP system.
-
-
其他:
產品詳情
-
產品名稱:Rabbit anti-Homo sapiens (Human) OMD Polyclonal antibody
-
Uniprot No.:
-
基因名:OMD
-
別名:OMD antibody; SLRR2C antibody; UNQ190/PRO216 antibody; Osteomodulin antibody; Keratan sulfate proteoglycan osteomodulin antibody; KSPG osteomodulin antibody; Osteoadherin antibody; OSAD antibody
-
宿主:Rabbit
-
反應種屬:Human
-
免疫原:Recombinant Human Osteomodulin protein (339-411AA)
-
免疫原種屬:Homo sapiens (Human)
-
標記方式:Non-conjugated
本頁面中的產品,OMD Antibody (CSB-PA016333LA01HU),的標記方式是Non-conjugated。對于OMD Antibody,我們還提供其他標記。見下表:
-
克隆類型:Polyclonal
-
抗體亞型:IgG
-
純化方式:>95%, Protein G purified
-
濃度:It differs from different batches. Please contact us to confirm it.
-
保存緩沖液:Preservative: 0.03% Proclin 300
Constituents: 50% Glycerol, 0.01M PBS, pH 7.4 -
產品提供形式:Liquid
-
應用范圍:ELISA, WB, IHC
-
推薦稀釋比:
Application Recommended Dilution WB 1:500-1:5000 IHC 1:200-1:500 -
Protocols:
-
儲存條件:Upon receipt, store at -20°C or -80°C. Avoid repeated freeze.
-
貨期:Basically, we can dispatch the products out in 1-3 working days after receiving your orders. Delivery time maybe differs from different purchasing way or location, please kindly consult your local distributors for specific delivery time.
-
用途:For Research Use Only. Not for use in diagnostic or therapeutic procedures.
相關產品
靶點詳情
-
功能:May be implicated in biomineralization processes. Has a function in binding of osteoblasts via the alpha(V)beta(3)-integrin.
-
基因功能參考文獻:
- Osteomodulin (OMD) directly binds to type 1 collagen. OMD suppresses formation of collagen fibrils. PMID: 26003732
- Osteomodulin, osteoglycin, and asporin appear to be distinctly regulated in osteoarthritis labrum compared to OA cartilage. PMID: 25371314
- TGF beta 1 signaling and stimulation of osteoadherin in human pulpal fibroblasts and in early secretory and mature odontoblasts PMID: 12489179
- tyrosine sulfate-rich domains of the LRR proteins fibromodulin and osteoadherin bind motifs of basic clusters in a variety of heparin-binding proteins, including bioactive factors PMID: 19700767
-
亞細胞定位:Secreted, extracellular space, extracellular matrix.
-
蛋白家族:Small leucine-rich proteoglycan (SLRP) family, SLRP class II subfamily
-
組織特異性:Bone specific.
-
數據庫鏈接:
Most popular with customers
-
YWHAB Recombinant Monoclonal Antibody
Applications: ELISA, WB, IHC, IF, FC
Species Reactivity: Human, Mouse, Rat
-
Phospho-YAP1 (S127) Recombinant Monoclonal Antibody
Applications: ELISA, WB, IHC
Species Reactivity: Human
-
-
-
-
-
-















