ODR4 Antibody
-
中文名稱:ODR4兔多克隆抗體
-
貨號:CSB-PA725554LA01HU
-
規格:¥440
-
圖片:
-
Western Blot
Positive WB detected in: NIH/3T3 whole cell lysate
All lanes: ODR4 antibody at 4.8μg/ml
Secondary
Goat polyclonal to rabbit IgG at 1/50000 dilution
Predicted band size: 52, 49, 38, 48 kDa
Observed band size: 52 kDa -
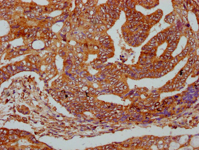
IHC image of CSB-PA725554LA01HU diluted at 1:400 and staining in paraffin-embedded human colon cancer performed on a Leica BondTM system. After dewaxing and hydration, antigen retrieval was mediated by high pressure in a citrate buffer (pH 6.0). Section was blocked with 10% normal goat serum 30min at RT. Then primary antibody (1% BSA) was incubated at 4°C overnight. The primary is detected by a biotinylated secondary antibody and visualized using an HRP conjugated SP system.
-
Immunofluorescence staining of HepG2 cells with CSB-PA725554LA01HU at 1:133, counter-stained with DAPI. The cells were fixed in 4% formaldehyde, permeabilized using 0.2% Triton X-100 and blocked in 10% normal Goat Serum. The cells were then incubated with the antibody overnight at 4°C. The secondary antibody was Alexa Fluor 488-congugated AffiniPure Goat Anti-Rabbit IgG(H+L).
-
-
其他:
產品詳情
-
產品名稱:Rabbit anti-Homo sapiens (Human) ODR4 Polyclonal antibody
-
Uniprot No.:
-
基因名:ODR4
-
別名:ODR4; C1orf27; TTG1; TTG1A; Protein odr-4 homolog; hODR-4; LAG1-interacting protein; Transactivated by transforming growth factor beta protein 1
-
宿主:Rabbit
-
反應種屬:Human, Mouse
-
免疫原:Recombinant Human Protein odr-4 homolog protein (153-251AA)
-
免疫原種屬:Homo sapiens (Human)
-
標記方式:Non-conjugated
本頁面中的產品,ODR4 Antibody (CSB-PA725554LA01HU),的標記方式是Non-conjugated。對于ODR4 Antibody,我們還提供其他標記。見下表:
-
克隆類型:Polyclonal
-
抗體亞型:IgG
-
純化方式:>95%, Protein G purified
-
濃度:It differs from different batches. Please contact us to confirm it.
-
保存緩沖液:Preservative: 0.03% Proclin 300
Constituents: 50% Glycerol, 0.01M PBS, pH 7.4 -
產品提供形式:Liquid
-
應用范圍:ELISA, WB, IHC, IF
-
推薦稀釋比:
Application Recommended Dilution WB 1:500-1:5000 IHC 1:200-1:500 IF 1:50-1:200 -
Protocols:
-
儲存條件:Upon receipt, store at -20°C or -80°C. Avoid repeated freeze.
-
貨期:Basically, we can dispatch the products out in 1-3 working days after receiving your orders. Delivery time maybe differs from different purchasing way or location, please kindly consult your local distributors for specific delivery time.
-
用途:For Research Use Only. Not for use in diagnostic or therapeutic procedures.
相關產品
靶點詳情
-
功能:May play a role in the trafficking of a subset of G-protein coupled receptors.
-
基因功能參考文獻:
- LMO2, TAL1, Ttg-1, and SIL support levels of V(D)J recombination above background levels in cell culture and are also cleaved by the RAG proteins, while Hox11 and SCL are nicked but not cleaved efficiently in vitro PMID: 18187418
-
亞細胞定位:Membrane; Multi-pass membrane protein.
-
蛋白家族:ODR-4 family
-
組織特異性:Ubiquitously expressed.
-
數據庫鏈接:
Most popular with customers
-
-
YWHAB Recombinant Monoclonal Antibody
Applications: ELISA, WB, IHC, IF, FC
Species Reactivity: Human, Mouse, Rat
-
Phospho-YAP1 (S127) Recombinant Monoclonal Antibody
Applications: ELISA, WB, IHC
Species Reactivity: Human
-
-
-
-
-















