OCRL Antibody
-
中文名稱:OCRL兔多克隆抗體
-
貨號:CSB-PA016267LA01HU
-
規格:¥440
-
圖片:
-
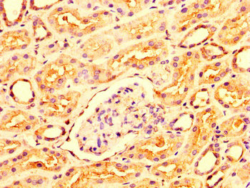
IHC image of CSB-PA016267LA01HU diluted at 1:300 and staining in paraffin-embedded human kidney tissue performed on a Leica BondTM system. After dewaxing and hydration, antigen retrieval was mediated by high pressure in a citrate buffer (pH 6.0). Section was blocked with 10% normal goat serum 30min at RT. Then primary antibody (1% BSA) was incubated at 4°C overnight. The primary is detected by a biotinylated secondary antibody and visualized using an HRP conjugated SP system.
-
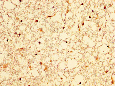
IHC image of CSB-PA016267LA01HU diluted at 1:300 and staining in paraffin-embedded human brain tissue performed on a Leica BondTM system. After dewaxing and hydration, antigen retrieval was mediated by high pressure in a citrate buffer (pH 6.0). Section was blocked with 10% normal goat serum 30min at RT. Then primary antibody (1% BSA) was incubated at 4°C overnight. The primary is detected by a biotinylated secondary antibody and visualized using an HRP conjugated SP system.
-
-
其他:
產品詳情
-
產品名稱:Rabbit anti-Homo sapiens (Human) OCRL Polyclonal antibody
-
Uniprot No.:
-
基因名:
-
別名:EC 3.1.3.36 antibody; Inositol polyphosphate 5 phosphatase OCRL 1 antibody; Inositol polyphosphate 5 phosphatase OCRL1 antibody; Inositol polyphosphate 5-phosphatase OCRL-1 antibody; INPP5F antibody; LOCR antibody; Lowe oculocerebrorenal syndrome protein antibody; NPHL2 antibody; OCRL 1 antibody; OCRL antibody; OCRL_HUMAN antibody; OCRL1 antibody; Oculocerebrorenal syndrome of Lowe antibody; Phosphatidylinositol polyphosphate 5 phosphatase antibody
-
宿主:Rabbit
-
反應種屬:Human
-
免疫原:Recombinant Human Inositol polyphosphate 5-phosphatase OCRL-1 protein (121-271AA)
-
免疫原種屬:Homo sapiens (Human)
-
標記方式:Non-conjugated
本頁面中的產品,OCRL Antibody (CSB-PA016267LA01HU),的標記方式是Non-conjugated。對于OCRL Antibody,我們還提供其他標記。見下表:
-
克隆類型:Polyclonal
-
抗體亞型:IgG
-
純化方式:>95%, Protein G purified
-
濃度:It differs from different batches. Please contact us to confirm it.
-
保存緩沖液:Preservative: 0.03% Proclin 300
Constituents: 50% Glycerol, 0.01M PBS, pH 7.4 -
產品提供形式:Liquid
-
應用范圍:ELISA, IHC
-
推薦稀釋比:
Application Recommended Dilution IHC 1:200-1:500 -
Protocols:
-
儲存條件:Upon receipt, store at -20°C or -80°C. Avoid repeated freeze.
-
貨期:Basically, we can dispatch the products out in 1-3 working days after receiving your orders. Delivery time maybe differs from different purchasing way or location, please kindly consult your local distributors for specific delivery time.
-
用途:For Research Use Only. Not for use in diagnostic or therapeutic procedures.
相關產品
靶點詳情
-
功能:Catalyzes the hydrolysis of the 5-position phosphate of phosphatidylinositol 4,5-bisphosphate (PtdIns(4,5)P2) and phosphatidylinositol-3,4,5-bisphosphate (PtdIns(3,4,5)P3), with the greatest catalytic activity towards PtdIns(4,5)P2. Able also to hydrolyze the 5-phosphate of inositol 1,4,5-trisphosphate and of inositol 1,3,4,5-tetrakisphosphate. Regulates traffic in the endosomal pathway by regulating the specific pool of phosphatidylinositol 4,5-bisphosphate that is associated with endosomes. Involved in primary cilia assembly. Acts as a regulator of phagocytosis, hydrolyzing PtdIns(4,5)P2 to promote phagosome closure, through attenuation of PI3K signaling.
-
基因功能參考文獻:
- Study has identified two novel mutations in two unrelated Lowe syndrome patients with congenital glaucoma. Novel deletion mutations are detected at c.739-742delAAAG in Lowe patient 1 and c.1595-1631del in Lowe patient 2. PMID: 28473699
- OCRL mutation is associated with progressive chronic kidney disease. PMID: 27708066
- loss of OCRL results in abnormal distribution of PI(4,5)P2 in the proximal regions of cilia. PMID: 28871046
- patients with OCRL-1 mutations or type 1 Dent disease showed abnormally low levels of urinary A-megalin PMID: 27766457
- OCRL1 gene mutation is responsible in the development od Lowe syndrome in Chinese families. PMID: 27059748
- docrl ( phosphatidylinositol-5-phosphatase OCRL)regulation of endosomal traffic maintains hemocytes in a poised, but quiescent state, suggesting mechanisms by which endosomal misregulation of signaling may contribute to symptoms of Lowe syndrome PMID: 29028801
- We discuss how studies of OCRL have led to important discoveries about the basic mechanisms of membrane trafficking and describe the key features and limitations of the currently available animal models of Lowe syndrome. Mutations in OCRL can also give rise to a milder pathology, Dent disease 2, which is characterized by renal Fanconi syndrome in the absence of extrarenal pathologies. PMID: 28669993
- A diagnosis of Dent disease was established in 19 boys from 16 families by the presence of loss of function/deleterious mutations in CLCN5 or OCRL1. PMID: 27174143
- Depleting or inhibiting OCRL leads to an accumulation of lysosomal PtdIns(4,5)P2, an inhibitor of the calcium channel mucolipin-1 that controls autophagosome-lysosome fusion PMID: 27398910
- Here we show that OCRL1 is part of the membrane-trafficking machinery operating at the trans-Golgi network (TGN)/endosome interface. PMID: 26510499
- Authors propose that the precise spatial and temporal activation of Rab35 acts as a major switch for OCRL recruitment on newborn endosomes, post-scission PtdIns(4,5)P2 hydrolysis, and subsequent endosomal trafficking. PMID: 26725203
- OCRL mRNA and protein were downregulated in osteoarthritis knee cartilage. OCRL inhibits Rac1 activation in OA. PMID: 25917196
- OCRL-mutated fibroblasts from patients with Dent-2 disease exhibit INPP5B-independent phenotypic variability relatively to Lowe syndrome cells. PMID: 25305077
- Results indicate that inositol 5-phosphatase OCRL acts as an uncoating factor and that defects in clathrin-mediated endocytosis likely contribute to pathology in patients with OCRL mutations. PMID: 25107275
- The crystal structures of human OCRL in complex with phosphoinositide substrate analogs revealed a membrane interaction patch likely to assist in sequestering substrates from the lipid bilayer. PMID: 24704254
- Implications of OCRL and TRPV4 in primary cilia function may also shed light on mechanosensation in other organ systems. PMID: 25143588
- Dent disease is caused by mutations in at least two genes, i.e. CLCN5 and OCRL1, and its genetic background and phenotypes are common among European countries and the USA. PMID: 24081861
- Three Chinese children were diagnosed with Lowe syndrome through clinical and genetic analyses. And two novel mutations in the OCRL gene were identified PMID: 23389333
- a role of OCRL in cilia maintenance and suggest the involvement of ciliary dysfunction in the manifestation of Lowe syndrome. PMID: 22543976
- The 5-phosphatase OCRL mediates retrograde transport of the mannose 6-phosphate receptor by regulating a Rac1-cofilin signalling module. PMID: 22907655
- This article reviewes biophysical and structural work and discuss possible functional implications of the finding that Rab8 binds with the highest affinity to OCRL1 among the Rab proteins tested.[review] PMID: 22790198
- In our study of 187 probands with autism, we have identified a duplication in Xq25 including full gene duplication of OCRL and six flanking genes. PMID: 22965764
- Bcl10 was required to locally deliver the vesicular OCRL phosphatase that regulates PI(4,5)P(2) and F-actin turnover, both crucial for the completion of phagosome closure. PMID: 23153494
- All seven Dent-causing OCRL mutations examined exhibited alleviation of the inhibitory effect on TRPV6-mediated Ca(2+) transport. PMID: 22378746
- A recurrent OCRL nonsense mutation was found to be the pathogenic mutation in a Chinese family with Lowe syndrome. PMID: 22177125
- Through its phosphatase activity, OCRL restricts Listeria monocytogenes invasion by modulating actin dynamics at bacterial internalization sites. PMID: 22351770
- Lowe syndrome displays characteristics of a ciliopathy; findings reveal a novel cellular role for Ocrl1 in cilia assembly -- Ocrl1 participates in ciliogenesis by contributing to protein trafficking to this organelle in an Rab8/IPIP27-dependent manner PMID: 22228094
- Novel nonsense mutation (c.880G>T) in exon 10 and the novel insertion mutation (c.2626dupA) in exon 24 of the OCRL1 gene lead to Lowe syndrome in two Chinese families. PMID: 21854507
- A role of OCRL1 in junctions of polarized cells may explain the pattern of organs affected in Lowe Syndrome. PMID: 21901156
- via its 5-phosphatase activity, OCRL controls early endosome function. PMID: 21971085
- the phosphatidylinositol-4,5-bisphosphate (PtdIns(4,5)P2) 5-phosphatase OCRL, which is mutated in Lowe syndrome patients, is an effector of the Rab35 GTPase in cytokinesis abscission PMID: 21706022
- The phenylalanine and histidine (F&H) motif binding site on the RhoGAP domain of OCRL was identified. PMID: 21666675
- From Lowe syndrome to Dent disease: correlations between mutations of the OCRL1 gene and clinical and biochemical phenotypes PMID: 21031565
- These data suggest that the mutations observed in OCRL are the result of two de novo events in early embryogenesis of the mother. PMID: 21225285
- OCRL1 mutation is associated with Lowe syndrome. PMID: 21378754
- Two novel OCRL1-binding proteins, termed inositol polyphosphate phosphatase interacting protein of 27 kDa (IPIP27)A and B (also known as Ses1 and 2), that also bind the related 5-phosphatase Inpp5b, were identified. PMID: 21233288
- children with OCRL mutations may present with very mild phenotype (asymptomatic proteinuria with/without mild mental retardation) or severe classic oculocerebrorenal syndrome of Lowe PMID: 21249396
- evidence for link between OCRL mutations and primary haemostasis disorders in Lowe syndrome; findings suggests that an aberrant RhoA pathway in platelets contributes to CT prolongation and primary haemostasis disorders in Lowe syndrome PMID: 20629659
- This multiplex ligation-dependent probe amplification allows rapid and precise OCRL1 gene quantification. PMID: 20043897
- Two closely related endocytic proteins, Ses1 and Ses2, which interact with OCRL, were identified. The interaction is mediated by a short amino acid motif similar to that used by the rab-5 effector APPL1. PMID: 20133602
- OCRL1 does not directly modulate endocytosis or postendocytic membrane traffic, and renal manifestations observed in Lowe syndrome patients are downstream consequences of loss of OCRL1 function. PMID: 19940034
- The homologous phosphatase Inpp5b was unable to complement the Ocrl1-dependent cell migration defect. PMID: 19700499
- Studies showed that three novel CLC-5 mutations were identified, and mutations in OCRL1, CLC-4 and cofilin excluded in causing Dent's disease. PMID: 19546591
- The deficiency of PIP2 5-phosphatase in Lowe syndrome affects actin polymerization PMID: 12428211
- OCRL1 interacts with Rac GTPase in the trans-Golgi network. PMID: 12915445
- suggests that Ocrl1 is active as a PIP2 5-phosphatase in Rac induced membrane ruffles PMID: 15829501
- OCRL1 is associated with clathrin-coated transport intermediates operating between the trans-Golgi network (TGN) and endosomes PMID: 15917292
- p.Phe259Ser mutation found in a case of Lowe syndrome (amino acid substitution) PMID: 16420990
- rabs play a dual role in regulation of OCRL1, firstly targeting it to the Golgi apparatus and endosomes, and secondly, directly stimulating the 5-phosphatase activity of OCRL1 after membrane recruitment. PMID: 16902405
- One frame shift mutation and two misssense mutations were identified in three male patients with the Dent disease phenotype. PMID: 17384968
顯示更多
收起更多
-
相關疾病:Lowe oculocerebrorenal syndrome (OCRL); Dent disease 2 (DD2)
-
亞細胞定位:Cytoplasmic vesicle, phagosome membrane. Early endosome membrane. Membrane, clathrin-coated pit. Cell projection, cilium, photoreceptor outer segment. Cell projection, cilium. Cytoplasmic vesicle. Endosome. Golgi apparatus, trans-Golgi network. Lysosome.
-
蛋白家族:Inositol 1,4,5-trisphosphate 5-phosphatase type II family
-
組織特異性:Brain, skeletal muscle, heart, kidney, lung, placenta and fibroblasts. Expressed in the retina and the retinal pigment epithelium.
-
數據庫鏈接:
Most popular with customers
-
Phospho-YAP1 (S127) Recombinant Monoclonal Antibody
Applications: ELISA, WB, IHC
Species Reactivity: Human
-
-
-
-
-
-
-















