OASL Antibody
-
中文名稱:OASL兔多克隆抗體
-
貨號:CSB-PA953473
-
規格:¥1100
-
圖片:
-
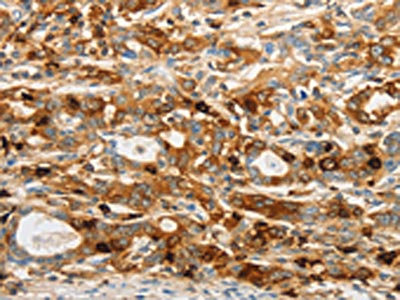
The image on the left is immunohistochemistry of paraffin-embedded Human gastic cancer tissue using CSB-PA953473(OASL Antibody) at dilution 1/20, on the right is treated with fusion protein. (Original magnification: ×200)
-
Gel: 8%SDS-PAGE, Lysate: 40 μg, Lane: Jurkat cells, Primary antibody: CSB-PA953473(OASL Antibody) at dilution 1/300, Secondary antibody: Goat anti rabbit IgG at 1/8000 dilution, Exposure time: 3 minutes
-
-
其他:
產品詳情
-
Uniprot No.:
-
基因名:OASL
-
別名:2' 5' oligoadenylate synthetase like antibody; 2''-5''-OAS-related protein antibody; 2''-5''-OAS-RP antibody; 2''-5''-oligoadenylate synthase-like protein antibody; 2'-5' oligoadenylate synthetase-like 2 antibody; 2'-5'-oligoadenylate synthetase-like antibody; 59 kDa 2' 5' oligoadenylate synthetase like protein antibody; 59 kDa 2''-5''-oligoadenylate synthase-like protein antibody; 59 kDa 2'-5'-oligoadenylate synthetase-like protein antibody; M1204 antibody; Mmu-OASL antibody; OASL antibody; OASL_HUMAN antibody; Oasl2 antibody; p59 OASL antibody; p59OASL antibody; THYROID HORMONE RECEPTOR INTERACTOR 14 antibody; Thyroid receptor interacting protein 14 antibody; Thyroid receptor-interacting protein 14 antibody; TR-interacting protein 14 antibody; TRIP-14 antibody; TRIP14 antibody
-
宿主:Rabbit
-
反應種屬:Human
-
免疫原:Fusion protein of Human OASL
-
免疫原種屬:Homo sapiens (Human)
-
標記方式:Non-conjugated
-
抗體亞型:IgG
-
純化方式:Antigen affinity purification
-
濃度:It differs from different batches. Please contact us to confirm it.
-
保存緩沖液:-20°C, pH7.4 PBS, 0.05% NaN3, 40% Glycerol
-
產品提供形式:Liquid
-
應用范圍:ELISA,WB,IHC
-
推薦稀釋比:
Application Recommended Dilution ELISA 1:1000-1:2000 WB 1:200-1:1000 IHC 1:25-1:100 -
Protocols:
-
儲存條件:Upon receipt, store at -20°C or -80°C. Avoid repeated freeze.
-
貨期:Basically, we can dispatch the products out in 1-3 working days after receiving your orders. Delivery time maybe differs from different purchasing way or location, please kindly consult your local distributors for specific delivery time.
-
用途:For Research Use Only. Not for use in diagnostic or therapeutic procedures.
相關產品
靶點詳情
-
功能:Does not have 2'-5'-OAS activity, but can bind double-stranded RNA. Displays antiviral activity against encephalomyocarditis virus (EMCV) and hepatitis C virus (HCV) via an alternative antiviral pathway independent of RNase L.
-
基因功能參考文獻:
- These data uncover a promycobacterial role for STING-dependent OASL production during Mycobacterium leprae infection that directs the host immune response toward a niche that permits survival of the pathogen. PMID: 27190175
- OASL acts as a cellular antiviral protein and RSV NS1 suppresses this function to evade cellular innate immunity and allow virus growth. PMID: 26178980
- Primary mononuclear cells from patients with systemic sclerosis have increased basal levels of OASL and OAS2 genes. PMID: 24328427
- these findings show a mechanism by which human OASL contributes to host antiviral responses by enhancing RIG-I activation. PMID: 24931123
- we propose that VSV treatment combined with the selective regulation of genes such as STAT1 and OASL2 will improve therapeutic outcomes for CUG2-overexpressing tumors PMID: 23306614
- variants in LPL, OASL and TOMM40/APOE-C1-C2-C4 genes are associated with multiple cardiovascular-related traits PMID: 21943158
- The pronounced difference in gene regulation between the OASL gene agrees with a functional difference between these genes, which must exist as a consequence of the lack of the 2-5A synthetase activity of the OASL protein. PMID: 19203244
- The expression of OASL and IFIT2 was significantly higher in SLE patients than in controls. PMID: 20506645
- OASLa, a major isoform of OASL induced in human liver, may mediate anti-HCV activity through two different domains. PMID: 20074559
- interaction with methyl CpG-binding protein 1 was confirmed in vitro and in vivo and was mapped to the ubiquitin-like domain of p59 OASL PMID: 14728690
- Proof that OASL is an antiviral protein that works through a novel mechanism distinct from other OASL proteins in other vertebrate species. PMID: 18931074
顯示更多
收起更多
-
亞細胞定位:[Isoform p56]: Nucleus, nucleolus. Cytoplasm.; [Isoform p30]: Cytoplasm.
-
蛋白家族:2-5A synthase family
-
組織特異性:Expressed in most tissues, with the highest levels in primary blood Leukocytes and other hematopoietic system tissues, colon, stomach and to some extent in testis.
-
數據庫鏈接:
Most popular with customers
-
-
YWHAB Recombinant Monoclonal Antibody
Applications: ELISA, WB, IHC, IF, FC
Species Reactivity: Human, Mouse, Rat
-
Phospho-YAP1 (S127) Recombinant Monoclonal Antibody
Applications: ELISA, WB, IHC
Species Reactivity: Human
-
-
-
-
-















