NUBP2 Antibody
-
中文名稱:NUBP2兔多克隆抗體
-
貨號:CSB-PA896918LA01HU
-
規格:¥440
-
圖片:
-
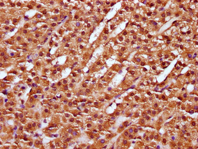
IHC image of CSB-PA896918LA01HU diluted at 1:100 and staining in paraffin-embedded human adrenal gland tissue performed on a Leica BondTM system. After dewaxing and hydration, antigen retrieval was mediated by high pressure in a citrate buffer (pH 6.0). Section was blocked with 10% normal goat serum 30min at RT. Then primary antibody (1% BSA) was incubated at 4°C overnight. The primary is detected by a biotinylated secondary antibody and visualized using an HRP conjugated SP system.
-
Immunofluorescence staining of Hela cells with CSB-PA896918LA01HU at 1:33, counter-stained with DAPI. The cells were fixed in 4% formaldehyde, permeabilized using 0.2% Triton X-100 and blocked in 10% normal Goat Serum. The cells were then incubated with the antibody overnight at 4°C. The secondary antibody was Alexa Fluor 488-congugated AffiniPure Goat Anti-Rabbit IgG(H+L).
-
-
其他:
產品詳情
-
產品名稱:Rabbit anti-Homo sapiens (Human) NUBP2 Polyclonal antibody
-
Uniprot No.:
-
基因名:NUBP2
-
別名:C447E6.1 (nucleotide binding protein 1 (E.coli MinD like) ) antibody; CFD1 antibody; Cytosolic Fe-S cluster assembly factor NUBP2 antibody; D17Wsu11e antibody; Homolog of yeast cytosolic FeS cluster deficient 1 antibody; NBP 2 antibody; NUBP1 antibody; Nubp2 antibody; NUBP2_HUMAN antibody; Nucleotide binding protein 2 (E.coli MinD like) antibody; Nucleotide binding protein 2 (MinD homolog, E. coli) antibody; Nucleotide binding protein 2 antibody; Nucleotide-binding protein 2 antibody
-
宿主:Rabbit
-
反應種屬:Human
-
免疫原:Recombinant Human Cytosolic Fe-S cluster assembly factor NUBP2 protein (54-170AA)
-
免疫原種屬:Homo sapiens (Human)
-
標記方式:Non-conjugated
本頁面中的產品,NUBP2 Antibody (CSB-PA896918LA01HU),的標記方式是Non-conjugated。對于NUBP2 Antibody,我們還提供其他標記。見下表:
-
克隆類型:Polyclonal
-
抗體亞型:IgG
-
純化方式:>95%, Protein G purified
-
濃度:It differs from different batches. Please contact us to confirm it.
-
保存緩沖液:Preservative: 0.03% Proclin 300
Constituents: 50% Glycerol, 0.01M PBS, pH 7.4 -
產品提供形式:Liquid
-
應用范圍:ELISA, IHC, IF
-
推薦稀釋比:
Application Recommended Dilution IHC 1:20-1:200 IF 1:20-1:200 -
Protocols:
-
儲存條件:Upon receipt, store at -20°C or -80°C. Avoid repeated freeze.
-
貨期:Basically, we can dispatch the products out in 1-3 working days after receiving your orders. Delivery time maybe differs from different purchasing way or location, please kindly consult your local distributors for specific delivery time.
-
用途:For Research Use Only. Not for use in diagnostic or therapeutic procedures.
相關產品
靶點詳情
-
功能:Component of the cytosolic iron-sulfur (Fe/S) protein assembly (CIA) machinery. Required for maturation of extramitochondrial Fe-S proteins. The NUBP1-NUBP2 heterotetramer forms a Fe-S scaffold complex, mediating the de novo assembly of an Fe-S cluster and its transfer to target apoproteins. Negatively regulates cilium formation and structure.
-
亞細胞定位:Nucleus. Cytoplasm, cytoskeleton, microtubule organizing center, centrosome. Cytoplasm. Cytoplasm, cytoskeleton, cilium axoneme. Cytoplasm, cytoskeleton, microtubule organizing center, centrosome, centriole. Cytoplasm, cytoskeleton, microtubule organizing center.
-
蛋白家族:Mrp/NBP35 ATP-binding proteins family, NUBP2/CFD1 subfamily
-
組織特異性:Widely expressed with highest expression in skeletal muscle.
-
數據庫鏈接:
Most popular with customers
-
-
YWHAB Recombinant Monoclonal Antibody
Applications: ELISA, WB, IHC, IF, FC
Species Reactivity: Human, Mouse, Rat
-
Phospho-YAP1 (S127) Recombinant Monoclonal Antibody
Applications: ELISA, WB, IHC
Species Reactivity: Human
-
-
-
-
-















