NUAK2 Antibody
-
中文名稱:NUAK2兔多克隆抗體
-
貨號:CSB-PA880931ESR2HU
-
規格:¥440
-
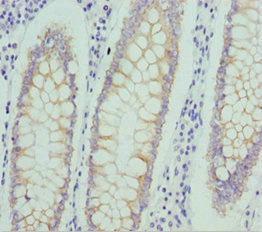
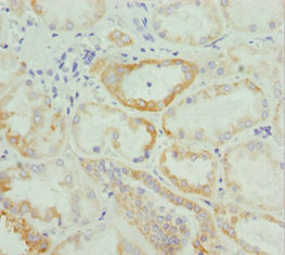
圖片:
-
其他:
產品詳情
-
產品名稱:Rabbit anti-Homo sapiens (Human) NUAK2 Polyclonal antibody
-
Uniprot No.:
-
基因名:NUAK2
-
別名:DKFZp434J037 antibody; DKFZp686F01113 antibody; FLJ90349 antibody; NUAK family SNF1 like kinase 2 antibody; NUAK family SNF1-like kinase 2 antibody; Nuak2 antibody; NUAK2_HUMAN antibody; Omphalocele kinase 2 antibody; SNARK antibody; SNF1/AMP activated protein kinase antibody; SNF1/AMP kinase related kinase antibody; SNF1/AMP kinase-related kinase antibody
-
宿主:Rabbit
-
反應種屬:Human
-
免疫原:Recombinant Human NUAK family SNF1-like kinase 2 protein (479-628AA)
-
免疫原種屬:Homo sapiens (Human)
-
標記方式:Non-conjugated
-
克隆類型:Polyclonal
-
抗體亞型:IgG
-
純化方式:Antigen Affinity Purified
-
濃度:It differs from different batches. Please contact us to confirm it.
-
保存緩沖液:PBS with 0.02% sodium azide, 50% glycerol, pH7.3.
-
產品提供形式:Liquid
-
應用范圍:ELISA, IHC
-
推薦稀釋比:
Application Recommended Dilution IHC 1:20-1:200 -
Protocols:
-
儲存條件:Upon receipt, store at -20°C or -80°C. Avoid repeated freeze.
-
貨期:Basically, we can dispatch the products out in 1-3 working days after receiving your orders. Delivery time maybe differs from different purchasing way or location, please kindly consult your local distributors for specific delivery time.
-
用途:For Research Use Only. Not for use in diagnostic or therapeutic procedures.
相關產品
靶點詳情
-
功能:Stress-activated kinase involved in tolerance to glucose starvation. Induces cell-cell detachment by increasing F-actin conversion to G-actin. Expression is induced by CD95 or TNF-alpha, via NF-kappa-B. Protects cells from CD95-mediated apoptosis and is required for the increased motility and invasiveness of CD95-activated tumor cells. Able to phosphorylate 'Ser-464' of LATS1.
-
基因功能參考文獻:
- Data (including data from studies in knockout and transgenic mice) suggest that NUAK2/SNARK is involved in both adipose inflammation and energy metabolism in adipocytes; additionally, genome-wide association studies suggest that 2 SNPs in NUAK2/SNARK (rs4682880, rs4682676) are associated with obesity in women. PMID: 29298809
- miR143 inhibited the proliferation, migration and invasion of the glioblastoma cells by degrading NUAK2 in glioblastoma. PMID: 27081712
- Sucrose non-fermenting AMPK related kinase/Pentraxin 3 combined role in immunometabolic signaling and DNA damage response is proposed to accelerate cardiovascular complications in systemic lupus erythematosus patients PMID: 25732129
- NUAK2 silencing and inactivation of the PI3K pathway efficiently controlled CDK2 expression, whereas CDK2 inactivation specifically abrogated the growth of NUAK2-amplified and PTEN-deficient melanoma cells. PMID: 25832654
- The AMPK-related kinase SNARK regulates hepatitis C virus replication and pathogenesis through enhancement of TGF-beta signaling. PMID: 23831117
- Activation of AMP-activated protein kinase protects the integrity of the blood-brain barrier by suppressing the induction of NADPH oxidase-derived superoxide anions. PMID: 22796592
- Considers possible roles of NUAK2 in tumorigenesis in general and suggest that NUAK2 has pivotal roles in acral melanomagenesis. PMID: 21911917
- MLCP (myosin light chain phosphatase) activation is counteracted by a previously unrecognized association between MRIP (myosin phosphatase Rho-interacting protein) and the inducible kinase NUAK2 PMID: 21242312
- This study further supports the importance of NUAK2 in cancer development and tumor progression, while AMPK has antioncogenic properties. PMID: 21460252
- Data show that SNARK is activated by muscle contraction and is a unique mediator of contraction-stimulated glucose transport in skeletal muscle. PMID: 20713714
- SNARK is an NF-kappaB-regulated anti-apoptotic gene that contributes to the tumor-promoting activity of CD95 in apoptosis-resistant tumor cells PMID: 15345718
- These data suggests different phosphorylation and regulation of MYPT1 activity by NUAK2. PMID: 18023418
- EBV LMP1 upregulated the expression of SNARK; SNARK expression increased drug resistance in response to doxorubicin increased of cancer cell survival PMID: 18452098
- The nuclear localizing SNARK altered transcriptome profiles and a considerable part of these alterations were canceled by the mutation of NLS, suggesting the ability of SNARK to modulate gene expression dependent on its nuclear localization. PMID: 18992219
- Skeletal muscle SNARK expression is increased in human obesity, and in response to metabolic stressors, but not type 2 diabetes. Partial SNARK depletion failed to modify either glucose or lipid metabolism. PMID: 19652946
- This study describes the cloning and characterization of the rat SNARK homolog, mapping of the human SNARK gene to 1q32, and a potential functional role as mediator of the cellular response to metabolic stress. PMID: 11284715
顯示更多
收起更多
-
蛋白家族:Protein kinase superfamily, CAMK Ser/Thr protein kinase family, SNF1 subfamily
-
數據庫鏈接:
Most popular with customers
-
-
YWHAB Recombinant Monoclonal Antibody
Applications: ELISA, WB, IHC, IF, FC
Species Reactivity: Human, Mouse, Rat
-
Phospho-YAP1 (S127) Recombinant Monoclonal Antibody
Applications: ELISA, WB, IHC
Species Reactivity: Human
-
-
-
-
-















