NTRK1 Antibody
-
中文名稱:NTRK1兔多克隆抗體
-
貨號:CSB-PA979780
-
規格:¥1100
-
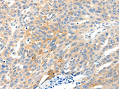
圖片:
-
The image on the left is immunohistochemistry of paraffin-embedded Human colon cancer tissue using CSB-PA979780(NTRK1 Antibody) at dilution 1/90, on the right is treated with synthetic peptide. (Original magnification: ×200)
-
The image on the left is immunohistochemistry of paraffin-embedded Human ovarian cancer tissue using CSB-PA979780(NTRK1 Antibody) at dilution 1/90, on the right is treated with synthetic peptide. (Original magnification: ×200)
-
-
其他:
產品詳情
-
Uniprot No.:
-
基因名:
-
別名:NTRK1; MTC; TRK; TRKA; High affinity nerve growth factor receptor; Neurotrophic tyrosine kinase receptor type 1; TRK1-transforming tyrosine kinase protein; Tropomyosin-related kinase A; Tyrosine kinase receptor; Tyrosine kinase receptor A; Trk-A; gp140trk; p140-TrkA
-
宿主:Rabbit
-
反應種屬:Human,Mouse,Rat
-
免疫原:Synthetic peptide of Human NTRK1
-
免疫原種屬:Homo sapiens (Human)
-
標記方式:Non-conjugated
-
抗體亞型:IgG
-
純化方式:Antigen affinity purification
-
濃度:It differs from different batches. Please contact us to confirm it.
-
保存緩沖液:-20°C, pH7.4 PBS, 0.05% NaN3, 40% Glycerol
-
產品提供形式:Liquid
-
應用范圍:ELISA,IHC
-
推薦稀釋比:
Application Recommended Dilution ELISA 1:2000-1:10000 IHC 1:100-1:300 -
Protocols:
-
儲存條件:Upon receipt, store at -20°C or -80°C. Avoid repeated freeze.
-
貨期:Basically, we can dispatch the products out in 1-3 working days after receiving your orders. Delivery time maybe differs from different purchasing way or location, please kindly consult your local distributors for specific delivery time.
-
用途:For Research Use Only. Not for use in diagnostic or therapeutic procedures.
相關產品
靶點詳情
-
功能:Receptor tyrosine kinase involved in the development and the maturation of the central and peripheral nervous systems through regulation of proliferation, differentiation and survival of sympathetic and nervous neurons. High affinity receptor for NGF which is its primary ligand. Can also bind and be activated by NTF3/neurotrophin-3. However, NTF3 only supports axonal extension through NTRK1 but has no effect on neuron survival. Upon dimeric NGF ligand-binding, undergoes homodimerization, autophosphorylation and activation. Recruits, phosphorylates and/or activates several downstream effectors including SHC1, FRS2, SH2B1, SH2B2 and PLCG1 that regulate distinct overlapping signaling cascades driving cell survival and differentiation. Through SHC1 and FRS2 activates a GRB2-Ras-MAPK cascade that regulates cell differentiation and survival. Through PLCG1 controls NF-Kappa-B activation and the transcription of genes involved in cell survival. Through SHC1 and SH2B1 controls a Ras-PI3 kinase-AKT1 signaling cascade that is also regulating survival. In absence of ligand and activation, may promote cell death, making the survival of neurons dependent on trophic factors.; Resistant to NGF, it constitutively activates AKT1 and NF-kappa-B and is unable to activate the Ras-MAPK signaling cascade. Antagonizes the anti-proliferative NGF-NTRK1 signaling that promotes neuronal precursors differentiation. Isoform TrkA-III promotes angiogenesis and has oncogenic activity when overexpressed.
-
基因功能參考文獻:
- Two novel compound heterozygous variants of NTRK1 (c.632T > A and c.1253_1254delTC) were identified in a pair of Chinese identical twins with Congenital Insensitivity to Pain and Anhidrosis. PMID: 30461622
- The above results suggest that rutin preconditioning ameliorates cerebral I/R injury in OVX rats through ER-mediated BDNF-TrkB and NGF-TrkA signaling. PMID: 29420916
- The TrkA peptide is competitive for metal binding with analogous peptides due to the N-terminal domain of NGF. These data provide cues for future exploration of the effect of metal ions on the activity of the NGF and its specific cellular receptor. PMID: 30103559
- The LMNA-NTRK1 fusion was likely the molecular driver of tumorigenesis and metastasis in this patient, and the observed effectiveness of crizotinib treatment provides clinical validation of this molecular target. PMID: 30134855
- that lipofibromatosis-like tumour represents a novel entity of NTRK1-associated neoplasms PMID: 29958731
- System xC(-)-mediated TrkA activation therefore presents a promising target for therapeutic intervention in cancer pain treatment. PMID: 29761734
- Results identified two known splice-site mutations, one known nonsense mutation and one novel missense mutation in three congenital insensitivity to pain with anhidrosis (CIPA) pedigrees. These findings expanded the spectrum of the NTRK1 mutations associated with CIPA patients, provided additional clues for the phenotype-genotype relationship beneath CIPA. PMID: 30201336
- 27 mutations in NTRK1 from Congenital insensitivity to pain with anhidrosis cohort, including 15 novel mutations, are reported. PMID: 29770739
- NTRK1 was upregulated in 80% of head and neck squamous carcinoma tissue. PMID: 29904026
- TRKA expression can be found in 1.6% of solid tumours and can be paralleled by NTRK1 gene rearrangements or mostly copy number gain PMID: 29802225
- These results suggest that polymorphisms in NTRK1 play an important role in pain sensitivity in young Han Chinese women PMID: 29054434
- We developed a comprehensive model of acquired resistance to NTRK inhibitors in cancer with NTRK1 rearrangement and identified cabozantinib as a therapeutic strategy to overcome the resistance PMID: 28751539
- TrkA plays an important role in the pathogenesis of NPM-ALK(+) T-cell lymphoma. PMID: 28557340
- Results show frequent BRCA2, EGFR, and NTRK1/2/3 mutations in mismatch repair-deficient colorectal cancers , sugggesting personalized medicine strategies to treat the patients with advanced disease who may have no remaining treatment options PMID: 28591715
- novel deletional mutation has enriched the spectrum of NTRK1 mutations PMID: 28981924
- This study identify four novel NTRK1 mutations (IVS14+3A>T, p.Ser235*, p.Asp596Asn, and p.Leu784Serfs*79) and demonstrate that they are pathologic mutations using an mRNA splicing assay and an NTRK autophosphorylation assay. PMID: 28177573
- Report a novel mechanism for the TRAIL-induced apoptosis of TrkAIII expressing NB cells that depends upon SHP/Src-mediated crosstalk between the TRAIL-receptor signaling pathway and TrkAIII. PMID: 27821809
- This show evidence of variation in plasmatic monocytic TrkA expression during the progression of dementia. PMID: 27802234
- TrkA was detected in 20% of thyroid cancers, compared with none of the benign samples. TrkA expression was independent of histologic subtypes but associated with lymph node metastasis, suggesting the involvement of TrkA in tumor invasiveness. Nerves in the tumor microenvironment were positive for TrkA. PMID: 29037860
- phenotypes, as well as both recurrent and novel mutations in NTRK1 in 2 Chinese patients with CIPA PMID: 28192073
- we conclude that complete abolition of TRKA kinase activity is not the only pathogenic mechanism underlying HSAN IV. PMID: 27676246
- Nine patients have been reported from nine unrelated families with hereditary sensory and autonomic neuropathy IV due to various mutations in NTRK1, five of which are novel. PMID: 28328124
- Data suggest that kinase domains of neurotrophin receptor isoforms, TRKA, TRKB, and TRKC, exhibit a bulky phenylalanine gatekeeper, leading to a small and unattractive back pocket/binding site for antineoplastic kinase inhibitors. [REVIEW] PMID: 28215291
- Pan-Trk immunohistochemistry is a time-efficient and tissue-efficient screen for NTRK fusions, particularly in driver-negative advanced malignancies and potential cases of secretory carcinoma and congenital fibrosarcoma. PMID: 28719467
- analysis of NTRK1 transcripts in peripheral blood cells of the patient revealed an influence of the variant on mRNA splicing. The C>A transversion generated a novel splice-site, which led to the incorporation of 10 intronic bases into the NTRK1 mRNA and consequently to a non-functional gene product. PMID: 27184211
- NTRK fusions occur in a subset of young patients with mesenchymal or sarcoma-like tumors at a low frequency PMID: 28097808
- A novel nonsense mutation and a known splice-site mutation were detected in NTRK1 in two siblings and were shown to be associated with congenital insensitivity to pain with anhidrosis. PMID: 28345382
- NTRK1 gene fusion in spitzoid neoplasms results in tumors with Kamino bodies and were typically arranged in smaller nests with smaller predominantly spindle-shaped cells, occasionally forming rosettes. PMID: 27776007
- Results suggest that NTRK1 oncogenic activation through gene fusion defines a novel and distinct subset of soft tissue tumors resembling lipofibromatosis (LPF), but displaying cytologic atypia and a neural immunophenotype, provisionally named LPF-like neural tumors. PMID: 27259011
- This review highlights treatment options, including clinical trials for ROS1 rearrangement, RET fusions, NTRK1 fusions, MET exon skipping, BRAF mutations, and KRAS mutations. PMID: 27912827
- ShcD binds to active Ret, TrkA, and TrkB neurotrophic factor receptors predominantly via its phosphotyrosine-binding (PTB) domain. PMID: 28213521
- TrkA misfolding and aggregation induced by some Insensitivity to Pain with Anhidrosis mutations disrupt the autophagy homeostasis causing neurodegeneration. PMID: 27551041
- USP36 actions extend beyond TrkA because the presence of USP36 interferes with Nedd4-2-dependent Kv7.2/3 channel regulation. PMID: 27445338
- Our results demonstrated that TrkA expression was associated with tumor progression and poor survival, and was an independent predictor of poor outcomes in gastric cancer patients PMID: 26459250
- High NTRK1 expression is associated with colon cancer. PMID: 26716414
- TrkA immunohistochemistry is an effective, initial screening method for NTRK1 rearrangement detection in the clinic. PMID: 26472021
- This work identifies GGA3 as a key player in a novel DXXLL-mediated endosomal sorting machinery that targets TrkA to the plasma membrane, where it prolongs the activation of Akt signaling and survival responses. PMID: 26446845
- Data show that p.G595R and p.G667C TRKA mutations drive acquired resistance to entrectinib in colorectal cancers carrying NTRK1 rearrangements. PMID: 26546295
- Two key biological processes for progressive hearing loss, TrkA signaling pathway and EGF receptor signaling pathway were significantly and differentially enriched by the two sets of allele-specific target genes of miR-96. PMID: 26564979
- Report novel variant of myo/haemangiopericytic sarcoma with recurrent NTRK1 gene fusions. PMID: 26863915
- TrkA as a candidate oncogene in malignant melanoma and support a model in which the NGF-TrkA-MAPK pathway may mediate a trade-off between neoplastic transformation and adaptive anti-proliferative response. PMID: 26496938
- IL-13 confers epithelial cell responsiveness to NGF by regulating NTRK1 levels by a transcriptional and epigenetic mechanism and that this process likely contributes to allergic inflammation. PMID: 25389033
- findings suggest that Cbl-b limits NGF-TrkA signaling to control the length of neurites. PMID: 25921289
- mRNA expression of NTRK1 genes was higher in low-grade gliomas vs. high-grade and control samples. Poor survival was associated with NTRK1 mRNA. Promoter methylation does not regulate NTRK1 genes in glioma. PMID: 24840578
- Translocations in the NTRK1 gene are recurring events in colorectal cancer, although occurring at a low frequency (around 0.5%). PMID: 26001971
- Findings have implications for understanding the mature and less malignant neuroblastoma phenotype associated with NTRK1 expression, and could assist the development of new therapeutic strategies for neuroblastoma differentiation PMID: 25361003
- TrkA expression in neurons was found to be regulated at the gene promoter level by Bex3 protein. PMID: 25948268
- Causative role for M379I and R577G NTRK1 mutations in melanoma development is highly unlikely. PMID: 24965840
- Increased NTRK1 expression is associated with spontaneous abortions. PMID: 24825909
- Data indicate how the neurotrophins function through tyrosine kinase receptors TrkC and TrkA. PMID: 24603864
顯示更多
收起更多
-
相關疾病:Congenital insensitivity to pain with anhidrosis (CIPA)
-
亞細胞定位:Cell membrane; Single-pass type I membrane protein. Early endosome membrane; Single-pass type I membrane protein. Late endosome membrane; Single-pass type I membrane protein. Recycling endosome membrane; Single-pass type I membrane protein.
-
蛋白家族:Protein kinase superfamily, Tyr protein kinase family, Insulin receptor subfamily
-
組織特異性:Isoform TrkA-I is found in most non-neuronal tissues. Isoform TrkA-II is primarily expressed in neuronal cells. TrkA-III is specifically expressed by pluripotent neural stem and neural crest progenitors.
-
數據庫鏈接:
Most popular with customers
-
-
YWHAB Recombinant Monoclonal Antibody
Applications: ELISA, WB, IHC, IF, FC
Species Reactivity: Human, Mouse, Rat
-
-
-
-
-
-















