NRTN Antibody
-
中文名稱:NRTN兔多克隆抗體
-
貨號:CSB-PA219834
-
規格:¥1100
-
圖片:
-
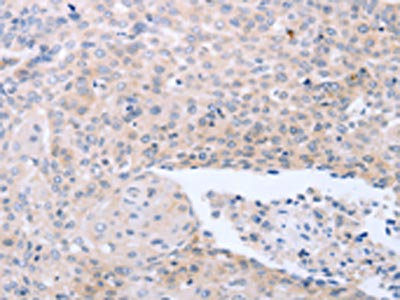
The image on the left is immunohistochemistry of paraffin-embedded Human ovarian cancer tissue using CSB-PA219834(NRTN Antibody) at dilution 1/40, on the right is treated with synthetic peptide. (Original magnification: ×200)
-
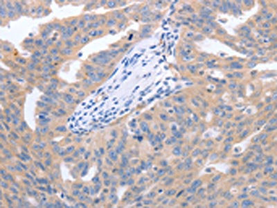
The image on the left is immunohistochemistry of paraffin-embedded Human cervical cancer tissue using CSB-PA219834(NRTN Antibody) at dilution 1/40, on the right is treated with synthetic peptide. (Original magnification: ×200)
-
-
其他:
產品詳情
-
Uniprot No.:
-
基因名:NRTN
-
別名:Neurturin antibody; Neurturin precursor antibody; NRTN antibody; NRTN_HUMAN antibody; NTN antibody; prepro-neurturin antibody
-
宿主:Rabbit
-
反應種屬:Human,Mouse
-
免疫原:Synthetic peptide of Human NRTN
-
免疫原種屬:Homo sapiens (Human)
-
標記方式:Non-conjugated
-
抗體亞型:IgG
-
純化方式:Antigen affinity purification
-
濃度:It differs from different batches. Please contact us to confirm it.
-
保存緩沖液:-20°C, pH7.4 PBS, 0.05% NaN3, 40% Glycerol
-
產品提供形式:Liquid
-
應用范圍:ELISA,IHC
-
推薦稀釋比:
Application Recommended Dilution ELISA 1:1000-1:5000 IHC 1:25-1:100 -
Protocols:
-
儲存條件:Upon receipt, store at -20°C or -80°C. Avoid repeated freeze.
-
貨期:Basically, we can dispatch the products out in 1-3 working days after receiving your orders. Delivery time maybe differs from different purchasing way or location, please kindly consult your local distributors for specific delivery time.
-
用途:For Research Use Only. Not for use in diagnostic or therapeutic procedures.
相關產品
靶點詳情
-
功能:Supports the survival of sympathetic neurons in culture. May regulate the development and maintenance of the CNS. Might control the size of non-neuronal cell population such as haemopoietic cells.
-
基因功能參考文獻:
- biophysical results show that the relative concentration of GFRa2 on cell surfaces can affect the functional affinity of NRTN through avidity effects. PMID: 29414779
- In the cochlea, NTN immunostaining was found in the supporting cells of organ of Corti, including Deiters' cells, Hensen cells as well as Claudius' cells. In the spiral ganglia, NTN was seen in both the cell bodies and the nerve fibers of neurons. PMID: 24139947
- Neurturin contributes toward an aggressive cancer cell phenotype, neuropathic pain and neuronal plasticity in pancreatic cancer. PMID: 24067900
- Human neurturin protected crayfish neurons and glia from photodynamic injury. PMID: 22847529
- Cyclic AMP signalling through PKA but not Epac is essential for neurturin-induced biphasic ERK1/2 activation and neurite outgrowths through GFRalpha2 isoforms. PMID: 21723942
- GDNF and NRTN are new neuromodulators that regulate the development of the neuromuscular synapse PMID: 11790765
- The gene expression of protein was studied in the developing human tooth. PMID: 12397373
- The results obtained suggest the involvement of NTN, PSP, and ART in processes subserving both the organization of this cortical region during development and the functional activity and maintenance of the mature human hippocampal neurons. PMID: 15829225
- Addition of neurturin to activated peripheral blood mononuclear leukocytes reduces the amount of detectable tumor necrosis factor protein without altering its transcription. PMID: 16081799
- GDNF and NTN differentially regulate the expression of distinct miRNA precursors through the activation of mitogen-activated protein kinase PMID: 16895582
- Depending on the brain's expressions of specific GDNF family GFRalpha2 receptor spliced isoforms, neurturin may promote or inhibit neurite outgrowth through the multicomponent receptor complex. PMID: 17522305
- GDNF, NTN, GFRalpha-1, GFRalpha-2, and c-Ret proteins are differentially expressed in the different stages of hair follicle cycle. GFRalpha-mediated signaling involves c-Ret and may play a role in human HF biology. PMID: 18222320
- No differences were found in the allelic frequencies of the variants or in the haplotype distribution between Hirschsprung's disease patients & controls, nor to any demographic/clinical parameters within the group of patients. PMID: 18970938
顯示更多
收起更多
-
相關疾病:Genetic variations in NRTN may contribute to Hirschsprung disease, in association with mutations of RET gene, and possibly mutations in other loci. Hirschsprung disease is a disorder of neural crest development is characterized by the absence of intramural ganglion cells in the hindgut, often resulting in intestinal obstruction.
-
亞細胞定位:Secreted.
-
蛋白家族:TGF-beta family, GDNF subfamily
-
數據庫鏈接:
Most popular with customers
-
-
YWHAB Recombinant Monoclonal Antibody
Applications: ELISA, WB, IHC, IF, FC
Species Reactivity: Human, Mouse, Rat
-
Phospho-YAP1 (S127) Recombinant Monoclonal Antibody
Applications: ELISA, WB, IHC
Species Reactivity: Human
-
-
-
-
-















