NRP1 Antibody
-
中文名稱:NRP1兔多克隆抗體
-
貨號:CSB-PA904747
-
規格:¥1100
-
圖片:
-
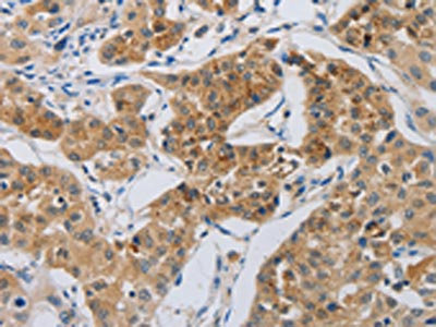
The image on the left is immunohistochemistry of paraffin-embedded Human esophagus cancer tissue using CSB-PA904747(NRP1 Antibody) at dilution 1/25, on the right is treated with fusion protein. (Original magnification: ×200)
-
The image on the left is immunohistochemistry of paraffin-embedded Human lung cancer tissue using CSB-PA904747(NRP1 Antibody) at dilution 1/25, on the right is treated with fusion protein. (Original magnification: ×200)
-
-
其他:
產品詳情
-
Uniprot No.:
-
基因名:
-
別名:A5 protein antibody; BDCA4 antibody; BLOOD DENDRITIC CELL ANTIGEN 4 antibody; CD304 antibody; Neuropilin-1 antibody; Neuropilin1 antibody; NP1 antibody; NPN1 antibody; NRP 1 antibody; NRP antibody; NRP1 antibody; NRP1_HUMAN antibody; transmembrane receptor antibody; Vascular endothelial cell growth factor 165 receptor antibody; VEGF165R antibody
-
宿主:Rabbit
-
反應種屬:Human,Mouse,Rat
-
免疫原:Fusion protein of Human NRP1
-
免疫原種屬:Homo sapiens (Human)
-
標記方式:Non-conjugated
-
抗體亞型:IgG
-
純化方式:Antigen affinity purification
-
濃度:It differs from different batches. Please contact us to confirm it.
-
保存緩沖液:-20°C, pH7.4 PBS, 0.05% NaN3, 40% Glycerol
-
產品提供形式:Liquid
-
應用范圍:ELISA,IHC
-
推薦稀釋比:
Application Recommended Dilution ELISA 1:2000-1:5000 IHC 1:25-1:100 -
Protocols:
-
儲存條件:Upon receipt, store at -20°C or -80°C. Avoid repeated freeze.
-
貨期:Basically, we can dispatch the products out in 1-3 working days after receiving your orders. Delivery time maybe differs from different purchasing way or location, please kindly consult your local distributors for specific delivery time.
-
用途:For Research Use Only. Not for use in diagnostic or therapeutic procedures.
相關產品
靶點詳情
-
功能:Cell-surface receptor involved in the development of the cardiovascular system, in angiogenesis, in the formation of certain neuronal circuits and in organogenesis outside the nervous system. Mediates the chemorepulsant activity of semaphorins. Recognizes a C-end rule (CendR) motif R/KXXR/K on its ligands which causes cellular internalization and vascular leakage. It binds to semaphorin 3A, the PLGF-2 isoform of PGF, the VEGF165 isoform of VEGFA and VEGFB. Coexpression with KDR results in increased VEGF165 binding to KDR as well as increased chemotaxis. Regulates VEGF-induced angiogenesis. Binding to VEGFA initiates a signaling pathway needed for motor neuron axon guidance and cell body migration, including for the caudal migration of facial motor neurons from rhombomere 4 to rhombomere 6 during embryonic development. Regulates mitochondrial iron transport via interaction with ABCB8/MITOSUR.; Binds VEGF-165 and may inhibit its binding to cells. May induce apoptosis by sequestering VEGF-165. May bind as well various members of the semaphorin family. Its expression has an averse effect on blood vessel number and integrity.; (Microbial infection) Acts as a host factor for human coronavirus SARS-CoV-2 infection. Recognizes and binds to CendR motif RRAR on SARS-CoV-2 spike protein S1 which enhances SARS-CoV-2 infection.
-
基因功能參考文獻:
- HLA-G, NRP1, and PD-1, may be involved in the immune response in psoriatic patients PMID: 29790686
- miR-320/NRP-1 axis contributes to the growth and metastasis of cholangiocarcinoma cells. PMID: 28618167
- we demonstrated that HS3ST3B enhances the proliferation and survival of breast cancer MDA-MB-231 cells, via a mechanism that is dependent on Nrp1. PMID: 30360368
- The serum NRP1 was significantly associated with AFP, gamma-GT, Alb, bile acid, ALT, AST, ALP and pre-Alb. NRP1 is a novel tumor marker in HCC. PMID: 29966621
- lnc00152 was aberrantly overexpressed in colorectal tumors and cancer cells and that lnc00152 was modulated by miRNA206. lnc00152 overexpression promoted epithelial-mesenchymal transition and increased neuropilin1 expression in the colorectal cancer cells. PMID: 29956750
- the results presented herein indicate that NRP1 exerts tumor suppressive effects in NB, at least in part by regulating the expression of beta1 integrin PMID: 29750423
- NRP1 may be important in the etiology of menstrual migraine. PMID: 29671086
- clinical samples from apical periodontitis patients were obtained to analyse the expression of Sema3A/Nrp1. These results indicated that the bone destruction level expanded from days 7 to 35 PMID: 29457037
- Study demonstrated that NRP1+ cells possess tumor-initiating cells (TIC) properties, including the preferential expression of stemness markers, higher clonogenic and self-renewal potential, and increased cell migration capacity. These findings support an important role for NRP1 in the biology of lung cancer TICs. PMID: 29138851
- Authors demonstrated that when VEGFR2 was inhibited, NRP-1 appeared to regulate RAD51 expression through the VEGFR2-independent ABL-1 pathway, consequently regulating radiation sensitivity. In addition, the combined inhibition of VEGFR2 and NRP-1 appears to sensitize cancer cells to radiation. PMID: 29777301
- NRP1, as a promoter of odontoblast differentiation, regulates dental pulp stem cells via the classical Wnt/beta-catenin pathway. PMID: 28910136
- The new observation that shows strong NP-1 immunoreactivity of these particles, and decreased NP1 expression in syncytiotrophoblast of preeclampsia (PET) placentas in comparison to the control group, may imply a role of NP-1 in PET. PMID: 26937865
- rs2228638 of NRP1 may have a role in tetralogy of Fallot risk in European and Chinese Han populations PMID: 29432830
- Data show that neuropilin 1 (NRP1) binds extracellular AGO2 (carrying miRNA or not), and internalizes AGO2/miRNA complexes. PMID: 27486976
- Data suggest neuropilin-1 (NRP-1) as a therapeutic target to reduce tumor fibrosis and pancreatic ductal adenocarcinoma (PDAC) progression. PMID: 27542226
- Results suggest that targeting the transmembrane domains (TMD) of neuropilin-1 (NRP1) in breast cancer is a potent new strategy to fight against breast cancer and related metastasis. PMID: 27351129
- By blocking neuropilin-1 receptor (NRP-1) in tumor-bearing mice, luciferase activity in tumors delivered by HK polyplexes was reduced by 96%, whereas activity in normal tissues was minimally reduced. PMID: 27257039
- High NRP1 expression is associated with metastasis in triple-negative breast cancer. PMID: 26967387
- Overexpression of Neuropilin 1 incresed in breast cancer stem cells formation and breast cancer stem cells-induced tube formation and knockdown of Neuropilin 1 reduced CSCs-related traits. PMID: 29179185
- Nrp1 mediates the migratory behavior of mesangial cells. PMID: 28835419
- this study identified the NRP1 cytoplasmic domain as essential for acute vascular hyperpermeability induced by different NRP1 ligands: a ligand- blocking antibody against NRP1 and a CendR peptide. PMID: 27117252
- Data indicate that miR-206 inhibits neuropilin-1 (NRP1) and SMAD2 gene expression by directly binding to their 3'-UTRs. PMID: 27014911
- Results show that Nrp1 plays a critical role in balancing responsiveness to VEGF-A versus TGFbeta to regulate glioblastoma growth, progression, and recurrence after anti-vascular therapy. PMID: 28938007
- Data provide evidence that NRP1 functions to enhance the metastatic potential of prostate tumors. PMID: 28092670
- NRP1 is an important niche component PMID: 27676403
- our data suggest a novel molecular mechanism by which tMUC1 may modulate NRP1-dependent VEGFR signaling in PDA cells. PMID: 26804176
- Our findings identify aberrant active integrin b1-driven Src-Akt hyperactivation as a primary resistance mechanism to cetuximab in PDAC cells and offer an effective therapeutic strategy to overcome this resistance using an EGFR and NRP1 dual targeting antibody PMID: 27797376
- VEGF-A acts via interaction with NRP-1 to trigger intracellular events leading to ECS cell survival and formation of aggressive, invasive and highly vascularized tumors. PMID: 26804163
- These data identify a new molecular mechanism of brain microvascular endothelial inflammatory response through NRP1-IFNgamma crosstalk. PMID: 27591257
- This study indicates that capsaicin application results in significant loss of epidermal NRP-1 receptor expression, whereas diabetic subjects presenting small fiber neuropathy show full epidermal NRP-1 expression in contrast to the basal expression pattern seen in healthy controls PMID: 27598321
- Study show that a high percentage of intratumoral NRP1(+) Tregs correlates with poor prognosis in melanoma and head and neck squamous cell carcinoma. PMID: 28552348
- Study revels the structural description of the neuropilin-1 ectopic region by reporting the crystal structure of its MAM domain. The domain adopts a jellyroll fold that is stabilized by a Ca2+ ion while forming a molecular surface that is distinct from its structural homologs. PMID: 27720589
- Data suggest that neuropilin-1 (NRP1) functions as a receptor for neutrophil elastase (NE), mediates uptake/absorption of NE, and facilitates cross-presentation of PR1 (a peptide fragment of NE) in breast cancer cells. PMID: 28468826
- This report is the first study characterizing the specific functions of NRP1-Delta7, a glycosaminoglycan-defective neuropilin-1 splice variant that displays anti-tumorigenic properties in vitro and in vivo. PMID: 27798666
- this study shows that NRP1 can act as a co-receptor for PDGF-D-PDGFRbeta signaling and is possibly implicated in intercellular communication in the vascular wall PMID: 28254885
- This review provides a general overview of current knowledge of the signalling pathways that are modulated by NRP1, with particular focus on neuronal and vascular roles in the brain and retina. PMID: 26923176
- Curcumin-loaded nanoliposomes linked to homing peptides for integrin targeting and neuropilin-1-mediated internalization reduced viability of breast cancer cells. PMID: 27937055
- Upregulated expression of NRP1 is associated with glioma. PMID: 27481513
- Studies suggest that the activation of NRP-1 by PlGF directly contributes to tumour aggressiveness and to melanoma escape from anti-VEGF-A therapies. PMID: 26846845
- REVIEW: Nrp1 functions in the vasculature is critical for the development of targeted therapeutics for cancer and vascular diseases such as atherosclerosis and retinopathies. PMID: 26849476
- High Expression of Neuropilin-1 Associates with Hepatocellular Carcinoma. PMID: 26563279
- Increased NRP-1 expression is associated with metastatic endometrial and lung cancers. PMID: 26701889
- miR-152 suppression in NSCLC cells might promote neuropilin-1 mediated cancer metastasis. PMID: 26823738
- NRP-1 was found to be overexpressed in gastric cancer (GC) tissues, and its expression correlates with the clinical staging, tumor differentiation and pathological types of gastric cancer. PMID: 26795388
- NRP1 was targeted by miR130a and miR130b at the binding site of chromosome 10: 334668643466870, which was involved in the axon guidance signaling pathway. PMID: 26573160
- Semaphorin-3a, neuropilin-1 and plexin-A1 are axonal guidance molecules that have been recently implicated in regulating bone metabolism. PMID: 26602825
- neuropilin-1 is regulated in the oral epithelium and is selectively up-regulated during epithelial dysplasia PMID: 26877262
- NRP1 over-expression in miR-365 expressing cells could rescue invasion and growth defects of miR-365. In addition, miR-365 expression inversely correlated with NRP1 protein levels in malignant melanoma PMID: 26406949
- Data show that binding of pleiotrophin (PTN) to neuropilin-1 (NRP-1) stimulated the internalization and recycling of NRP-1 at the cell surface. PMID: 26408254
- Study found significant down-regulation of placental NRP-1 expression in fetal growth restriction pregnancies complicated with absent end-diastolic flow in the umbilical artery. PMID: 26409917
顯示更多
收起更多
-
亞細胞定位:[Isoform 2]: Secreted.; Mitochondrion membrane; Single-pass type I membrane protein. Cell membrane; Single-pass type I membrane protein. Cytoplasm.
-
蛋白家族:Neuropilin family
-
組織特異性:[Isoform 1]: The expression of isoforms 1 and 2 does not seem to overlap. Expressed by the blood vessels of different tissues. In the developing embryo it is found predominantly in the nervous system. In adult tissues, it is highly expressed in heart and
-
數據庫鏈接:
Most popular with customers
-
-
YWHAB Recombinant Monoclonal Antibody
Applications: ELISA, WB, IHC, IF, FC
Species Reactivity: Human, Mouse, Rat
-
Phospho-YAP1 (S127) Recombinant Monoclonal Antibody
Applications: ELISA, WB, IHC
Species Reactivity: Human
-
-
-
-
-















